こんにちは。ひらざわ矯正歯科クリニックです☺
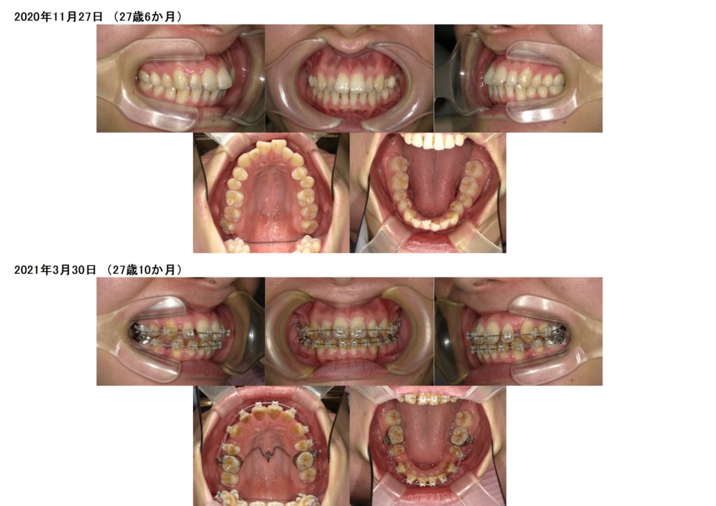
今回はフルブラケット装置(セルフライゲーションシステム)での上下抜歯の治療例のご紹介です。
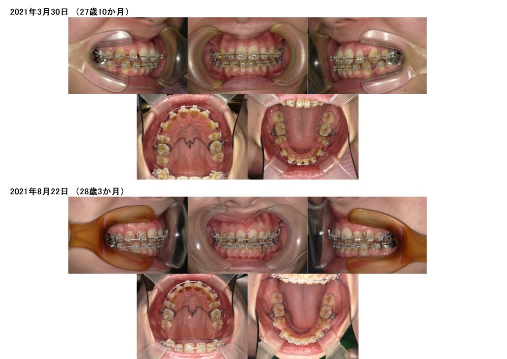
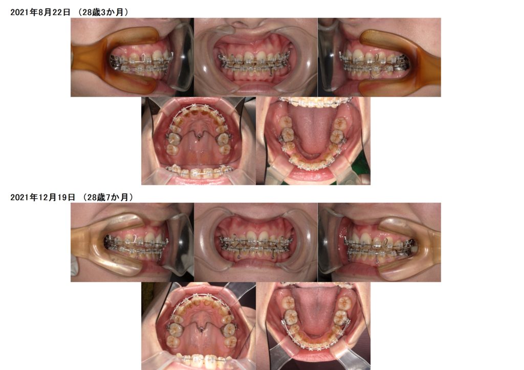
上顎にアンカースクリューを1本、パラタルバーが入っています。

初診時の検査から約4カ月。装置を着けてからそんなに期間は経過していませんがしっかりと歯が動いているのが分かります。
使用する必要がある方にはアンカースクリューのお話を診断時にさせていただいておりますが、1本の方、2本の方口腔内の状況によって異なります。
この患者様は奥歯を動かないように固定するためにアンカースクリューとパラタルバーを入れています。
中には途中から左右に埋め込む方もいらっしゃるので治療例、治療経過によっても異なるので、その時はご説明させていただきますね。

徐々に抜歯した隙間、特に上顎の隙間がぐんぐんと閉じていっているのが分かりますよね

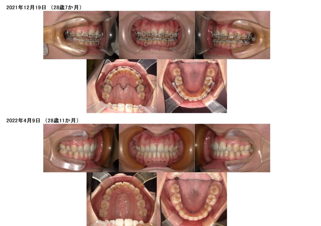
これからは噛み合わせの微調整に入ります。
ガッツリ動いた感じはないんですが、ジワジワと調整しまいます。

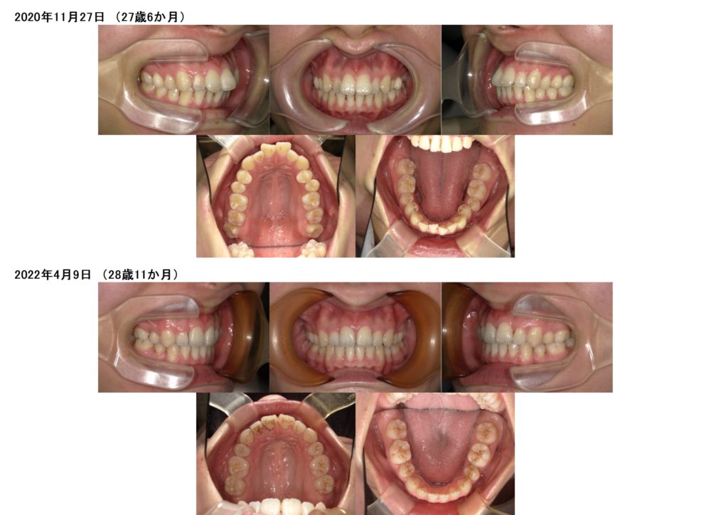
じゃ~ん☆ブラケット外すことが出来ました!!!

治療前、治療後の比較写真です。
治療の期間も患者さまの協力もあって本当に早く装置を外すことが出来ました。
お口元もグ~んと引っ込みとっても美しくなりました☆
今、コロナ禍でマスクをしているからブラケットの治療でもいいかな~って思う方も多いですよ。
マウスピースはしっかりと使用時間やルールを守って使っていただく装置になりますので、患者さまのライフスタイルで難しい方、時間がしっかりと取れなさそうな方、はブラケット装置の方が楽に感じるかもしれません。
カウンセリングでブラケットやマウスピースのご説明は詳しくさせていただきますので、なんでも聞いてくださいね!!