こんにちは。ひらざわ矯正歯科クリニックです☆
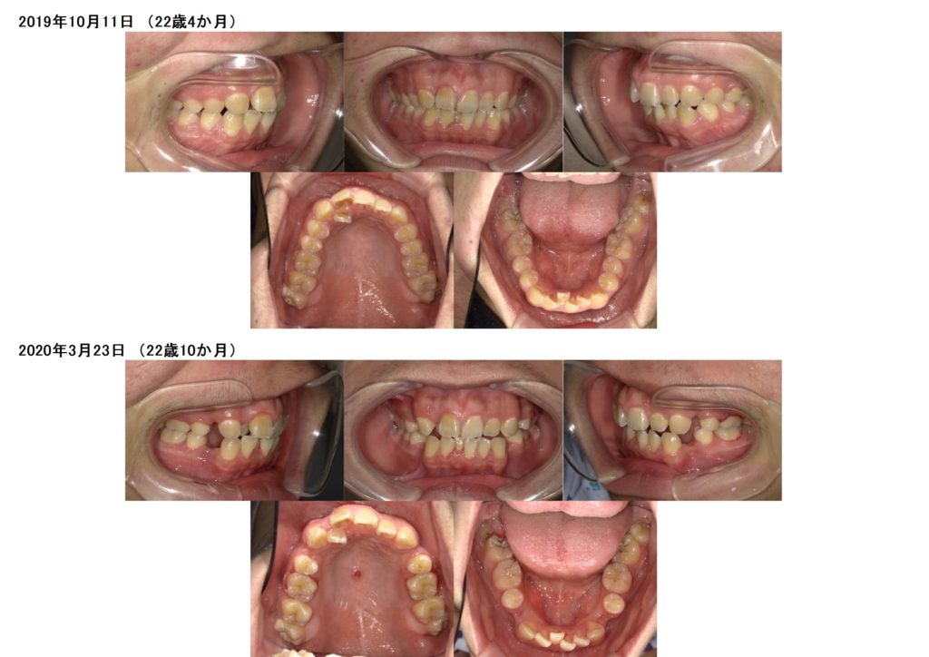
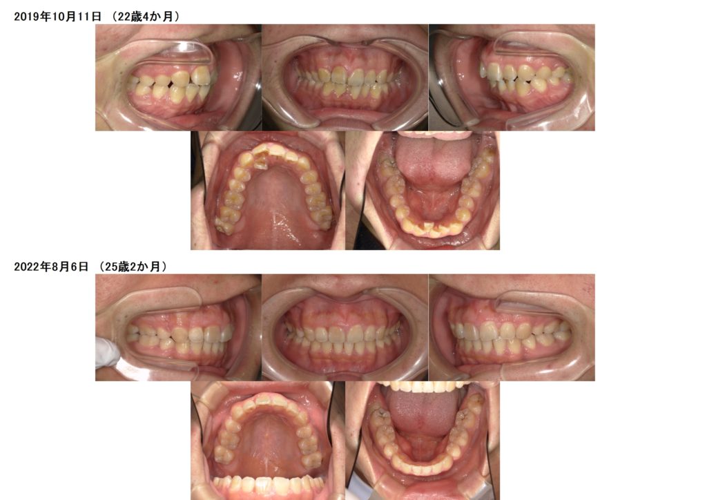
今回は マウスピースを使用し上下抜歯の治療例です。

上の口腔内写真を見ていただくと分かるように、歯が1本ずつ中に入っていますよね。
話す時に舌に歯が当たって痛い。。。。。
滑舌が悪くなってきた。。。。。
歯磨きがとてもしづらい。。。。
磨いていても歯茎が腫れる、汚れが溜まりやすい。。。。
などなど、悩みが出てきます。
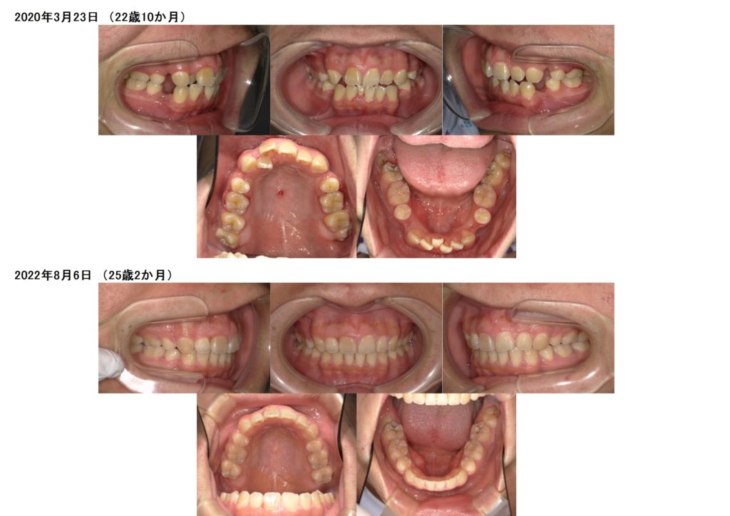
この患者様は上下4番目の歯を抜歯してマウスピースにて治療をしました。

とってもキレイになりましたよね☺
途中、マウスピースをの作り直しをしながら、しっかりと真面目に使って頂けて、治療が終われました!!
患者様も「やった~!!がんばった~!!」と喜んでいただけて、私たちスタッフも本当にうれしい限りです。
また、ここからリテーナーと呼ばれる保定装置を使用し乱れてこないように保定をさせていただきます。
もうしばらくマウスピースの使用をしていただきますが、アタッチメントが無くなるだけで、とってもスッキリしますよね!!

マウスピース矯正の治療を成功するには。。。。。
・使用時間を必ず守ること
・マウスピースの交換をルール通りにすること
・チューイーを必ず使用しマウスピースをフィットさせること
です。
わたしたちスタッフもマウスピースでの矯正治療経験者、治療中です。
どのようにマウスピースを使用すればいいか。
こんな使い方をするとこんな風になってしまう。。。。
などなど、自身の歯で経験し、体験しマウスピースの治療を患者様に提供しています。
お伝えすることを必ず守ってマウスピースを使用していただければ大丈夫です。
ただ、もちろん、使用時間がなかなか守れない時、旅行や飲み会、外食など、色々な予定が毎月ありますよね☆
その場合もお伝えした通りマウスピースを交換していただければ、全く問題はありません。
ただ、自己流で進めてしまうのが一番「時間のムダ」になってしまいます。
思った通りに歯が動かないので、治療期間が延びてしまいます。
「使用時間」については患者様にお聞きする時はあります。
その場合は、使用できなかった。。。。。っとお伝えしていただければ問題ないです!!
では、どういう風に使用しよう!!とか、アドバイスもさせていただけます。
ただ、使用時間を守っていない、ルール通りに進めていないのに、
「使っています!!」
と言われてしまうと、今後の治療計画に影響することも出てきますので、正確にお伝えいただきたいな、、、、というところです☆
マウスピース矯正を成功させるコツは「ルールをしっかりと守る」です!!