こんにちは。ひらざわ矯正歯科クリニックです☺
今回はフルブラケットで治療をされた患者様の例です。
欠損とは、、、、、、。
生まれつき永久歯がない先天性欠如。
むし歯等で歯の存続が不可能で抜歯をした。
・・・
・・・
あとは、矯正治療を考えていない時に、裏側に歯が生えてしまったり、外側に飛び出てしまったりして
違和感を感じ、抜歯してしまった、、、、などなど。
↑これに当てはまる場合は抜く前に一度矯正歯科に相談に来てほしいです☺
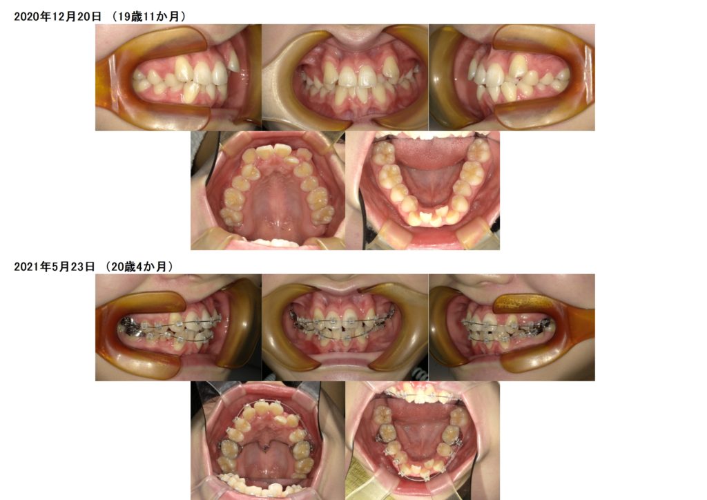
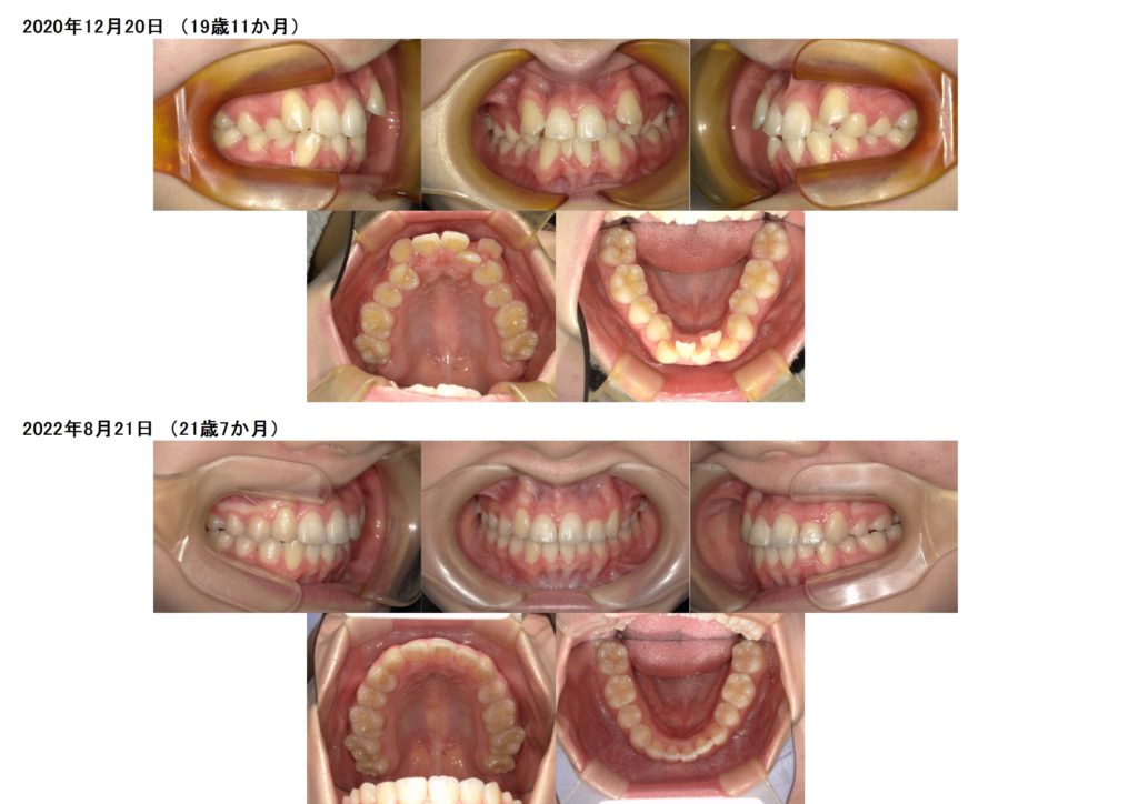
欠損歯がある方の治療例です☆

左側の前歯2番目の上下の歯が欠損です。
裏側にパラタルバーをセットし矯正用のアンカースクリューを上顎に1本埋め込んであります。
上下セルフライゲーションシステムのブラケットを使用しています。
右側の上下4番目の歯を抜歯しました。

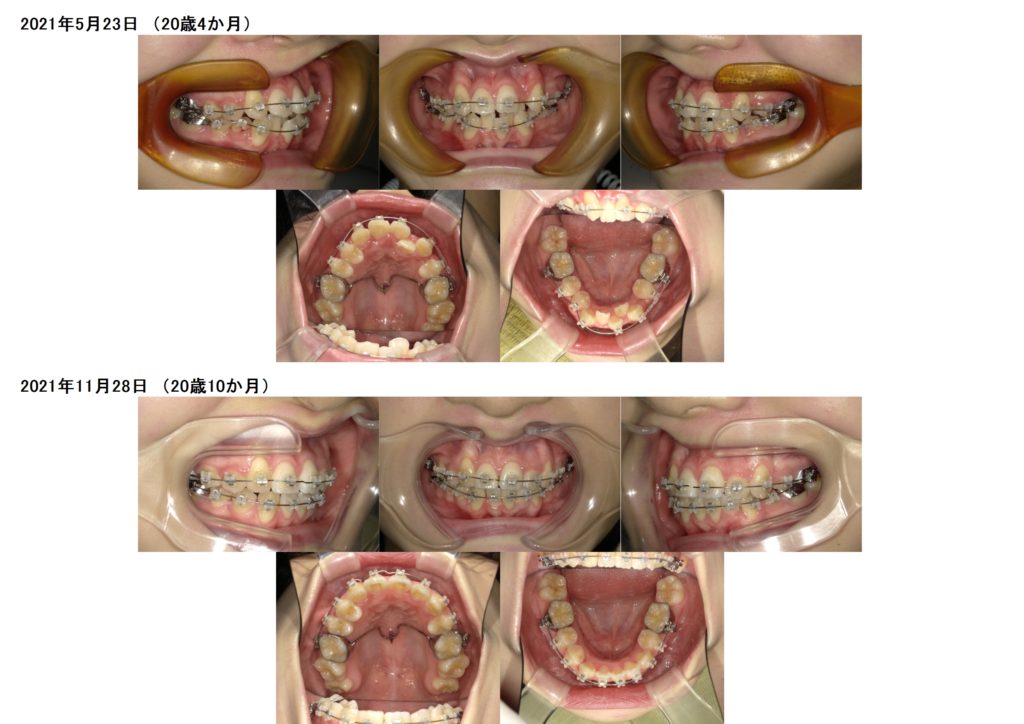
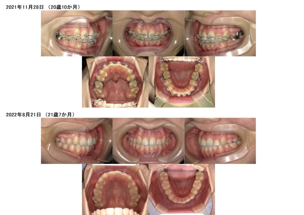
どんどん歯は動いていきます☆
とっても早いスピードですよね☺
最後に3カ月ほど、噛み合わせを整えるために顎間ゴムを使用しました。

とってもキレイに歯並び、噛み合わせが整いました。
患者様の協力があってこそ、治療も早く終了します。

ずっと鏡を見てしまう~☆と喜んでいただき、
患者様の美しいとびきりの笑顔を見ると、心の底からウレシイです!!
ブラケット治療はお口の中に口内炎が出来たり、噛み合わせの状況によってはブラケットが外れてしまったり、食べるのがつらい時期があったりと、、、、、
我慢の時期もありますが、装置が外れたときの喜びは本当に感動ものです☆
このまま、保定期間に入りリテーナーを使用していただきますが、キレイな歯並びをキープするためにとっても大事な期間でもあります。
今まで磨きづらかった歯ブラシも、装置が外れ歯並びも整ったので磨きやすくなったと思います。
もし、この歯じゃまだな~。歯が舌に当たって痛いな~。
抜いてもらった方が楽だな~。この歯さえなければ・・・・・。
など、思うこともあると思います。
その時は一度、矯正専門医院に相談してみてください☆