こんにちは。ひらざわ矯正歯科クリニックです☺
今回はマウスピース治療についてです。
少し前から、低価格でマウスピースの治療ができるクリニックが増えています。
当院でも、以前矯正治療をしていたけど、思ったように治らない、これで終わりと言われたけど、噛むことが出来ない、などなど、他院で治療をされ、再治療をご希望の患者様は多くいます。
インビザライン治療での失敗例は
噛み合わせを治すことが出来ない→噛めない
歯を削れられた→歯の形の違和感、しみる
抜歯や出っ歯を治療することが出来ない→無理やり並べた
枚数制限がある→治療が完成しなかった
郵送されたマウスピースを着ける→途中からはまらなくなってしまった
通院ごとにマウスピースを作成し料金が発生する→途中で行かなくなってしまい中途半端なまま
などです。
しっかりと自分がどのような歯並び、噛み合わせになりたいのかを伝える必要があり、
ゴールがどこなのかを明確に聞くといいと思います。
出っ歯を治したい、横顔をキレイにしたい、噛み合わせを治したい、、、などなど。
このような患者様はどこでも治療が可能ではないと思います。
矯正治療というのは
噛み合わせを治すと歯並びもキレイになる、横顔も美しく整う。

↓

治療前、治療後の横顔の変化の写真になります。
矯正治療をしてお口元を治しただけでココまで横顔が変化します。
ガタガタ歯並びを治すために歯を削られてしまっていたり、
無理に引っ張ってしまい根っこがねじれたままや
前歯で噛めない
であったりと、、、。
どこでも同じマウスピース治療では全くありませんので注意が必要です!!
矯正治療費を抑えたいがために気軽に治療を始めてしまい、後悔してしまわないようにしっかりとカウンセリング時に聞くといいと思います。
キレイな歯並び、噛み合わせ、横顔のラインの治療をするにはしっかりとした精密検査、診断を行い、奥歯から動かすマウスピースを使用し、リファイメントという動きの改善をさせるために再スキャンを行い、数回マウスピースの発注を行いながら噛み合わせ、歯並びの確立を何十枚、何百枚をマウスピースを使用していきます。
しっかりと歯並びを治すということは根っこから移動させていく必要があるので、枚数を減らすために無理に動かしてしまうとねじれが治らないことも多くあります。
アタッチメントをしっかりと着けて動かすには結構枚数が必要になり、治療期間も年単位でかかります。
治療後のリテーナーと呼ばれるマウスピースをしっかりと使用しないとすぐに後戻りをする結果になることもありますので、しっかりとカウンセリングを聞き、ご自身の求めている治療なのかどうかを判断し始めるといいと思います。

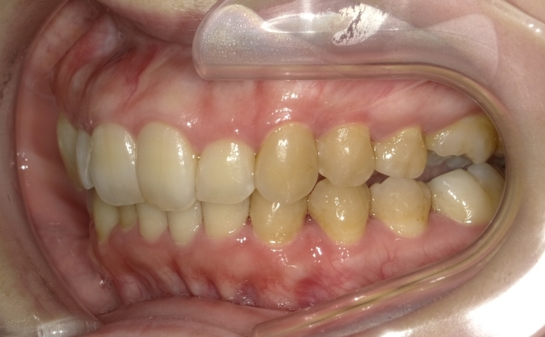
こちらがカウンセリング時のお写真です。
患者様のどこが気になっている部分か分かりますか?
抜歯は極力したくないという患者様で、スペースを取るために歯を多く削られてしまっています。
前歯を見るとよくわかりますよね?

↑左側で噛むことが出来ないという状態で、噛み合わせのズレが気になります。
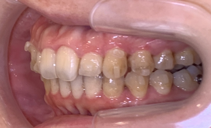
そこで、再度、当院でマウスピースの治療をされています。

お口元を少しでも引っ込ませるために遠心移動(奥に歯をおくる)を行いながら噛み合わせの確立を行っています。
かな~り地道な作業で患者さまもとっても根気がいる治療です。
とっても大変な作業ですが、やっぱり患者様の望むゴールにしたい!と思います。
(もちろん内容によっては出来ないこともあります。例えば、治療した歯の高さや、削ってある歯は高さを合わせることが出来なかったり、抜歯済みの場合はそれ以上歯を抜くことが出来ないので、思ったように引っ込まないケースもあります。一度検査を受けて頂くと、どんな歯並びになるか詳しくお伝えすることができます)
マウスピースの治療は今では多くの歯科医院で取り入れていますし、価格もとても安いところも多くあります。
マウスピース治療も先生によってさまざまな方法があります。
一番ご自身に近い歯並びの治療前、治療後のお写真を見せて頂くといいと思います。
カウンセリングの際、ご自身の望むゴールはどこか、それが可能かどうかをしっかりと聞くことが大切です。
再度治療するには金額面もそうですし、一度治療された歯並び(抜歯を含め)を一からまた作り上げてい行くのが一番お時間もかかり患者様も大変なんです😿
カウンセリングはいつでも行っておりますので、お待ちしております☺