こんにちは。ひらざわ矯正歯科クリニックです☺
カウンセリングをしていると、
「矯正治療をする方って男の人もいますか?」
と聞かれることがあります。
「もちろんいますよ☆」
当院でも男性の患者様もたくさんいらっしゃいます。
しかし、割合としてはやはり女性の方が多いです、、。
でもでも、年々男性の方増えているんです!!
職業上、
・人と接する仕事が多い。
やはり、コミュニケーションを取るのに大切ですよね☆
見た目はとっても重要なのでキレイな歯並びになって自信を持って相手に接することが出来れば、
ビジネスにも有利ですよね。
・海外に転勤のある方
海外では美しい歯は当たり前!?なんです。
アメリカでは美しい歯は大事!!なんです。
以前、留学をされていた方で、帰国してすぐ当院に来てくださいました。
「もう、みんな歯並びがキレイで本当に辛かった~。絶対に次に行く時までにキレイにしよって心に決めてた」と。
約9割の方が子供のころから矯正治療をしたり、大人になってからも特に恥ずかしいという気持ちもなくブラケット治療をしていたりします。
まだまだ日本だと、見えるのが恥ずかしい、、、、。
できれば、気づかれずに治療したい、、とありますが、
いまではマウスピースの治療もありますので、見えない装置での治療も可能です☺

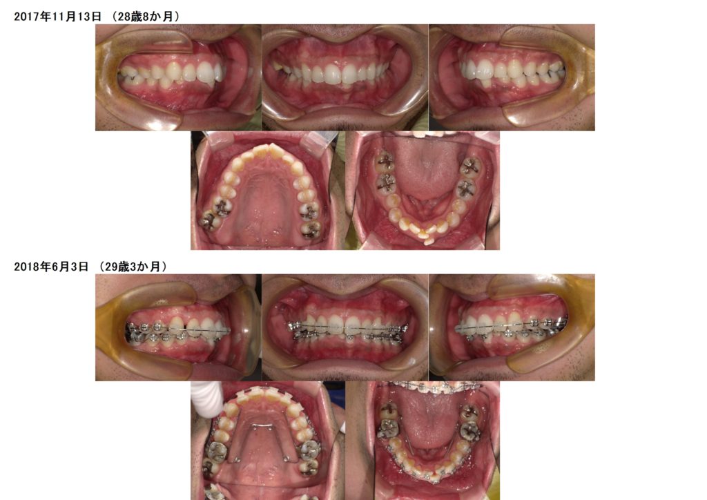
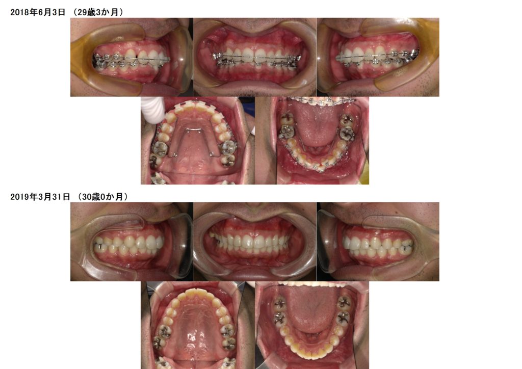
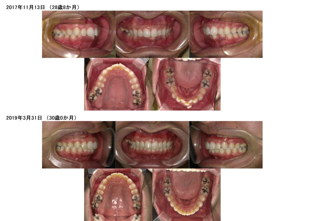
男性の方でもこのようにブラケット治療をされますよ☆
思っていたより、気づかれなかった。そんなに目立たないですね。と言われる方も多いですよ。

とってもキレイになりましたよね!!
男性の方は女性の方に比べて痛みに弱いかも。。。。っと思ったりもありますが^^
装置に慣れてしまえば、違和感なく過ごすことが出来ると思います。
(もちろん、我慢も必要ですよっ☺)

矯正治療をすると
・歯周病や虫歯のリスクを減らすことが出来る
ガタガタしていると、しっかり磨いていてもいつも歯医者さんで注意されたりしますよね。
・噛み合わせがよくなる
噛み合わせが良くなると、歯ぎしり、食いしばりが緩和される方もいますし、頭痛や肩こりも噛み合わせが原因の 方だと改善傾向にあります。
・とびっきりの笑顔ができる
歯並びが悪いと、ついつい写真を撮るときなど、口元を隠したり、なるべく歯が見えないようにしたりしていませんか。。。。?
・清潔感を与えられる
笑った時に見えるキレイな歯並びはとっても好印象!!です
・若々しく見える
キレイな歯並びになってホワイトニングをするととっても若く見られますよ
などなど、男性の方も歯並び、とっても大切ですよ☺
矯正治療をしていて、マイナスになることはないと思います。
ブラケットをしていても、「治療しているんだな。。。」「いいな。。。。」っと思われると思います。
今では、マウスピースの治療もありますし、裏側のブラケットで気づかれずに治療を終えることも可能です!!
ぜひぜひ、矯正治療は男性女性、全く関係ありません!!年齢も関係ありません!!
キレイな歯並びにしたい方、一度無料カウンセリングに来てくださいね☆
お待ちしております。