こんにちは!ひらざわ矯正歯科クリニックです☺
今回は「口腔内写真」撮影する時のポイント☆のお話です。
衛生士さんやスタッフさん向けの動画になるかもしれないですが、
患者様の口腔内写真を撮影する時に気を付けている点をがあるので、紹介します。
まず、当院に入社したら。。。。。
口腔内写真をしっかりと完璧に撮れるように時間があるとき、日々練習します☆
・どこに気を付けたらいいか
・どの部分にピントを合わせるか
・画像の中心になる部分
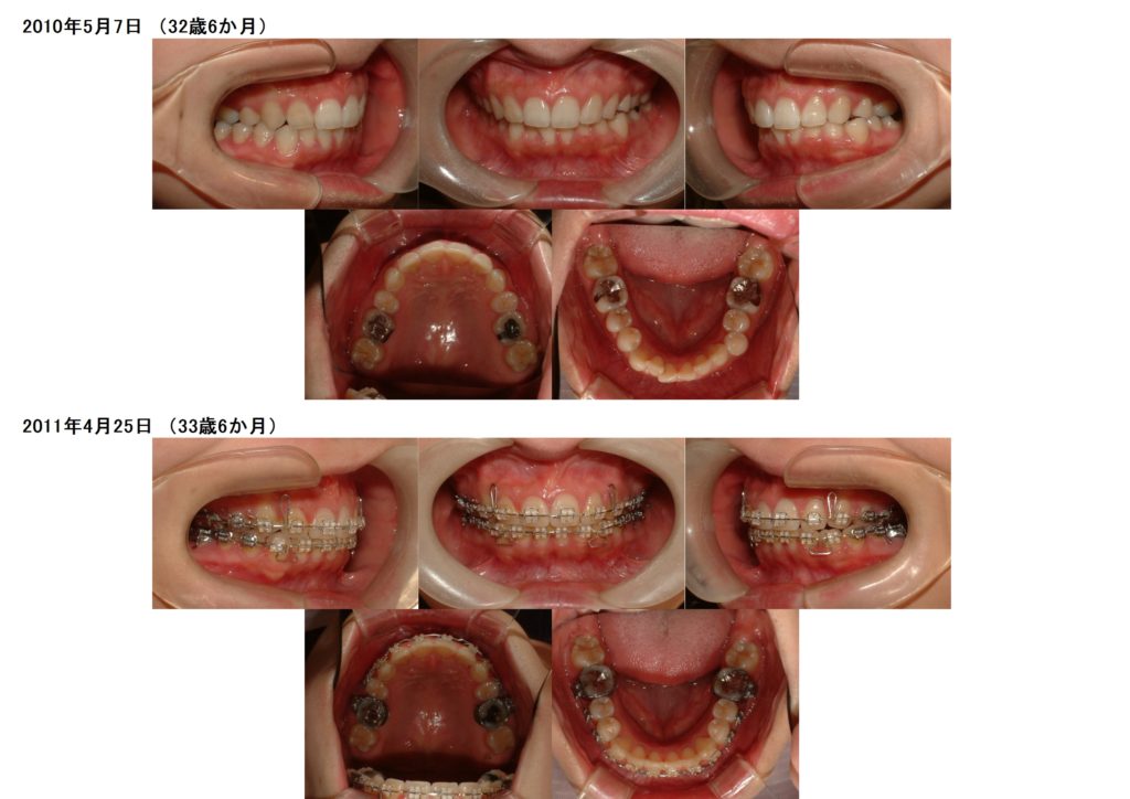
・正面、左右、上顎、下顎すべて写真を並べたときに大きさが揃っているか
口腔内写真がしっかり撮れていると、治療の進行具合も分かり易いですし、撮り方によっては全然分からないこともあります。
お口を大きく開けたりする患者様になるべく負担のないように、時間をかけずにスムーズに撮影できるように意識しています!!

上下の口腔内写真を見比べても同じ角度や口腔内の大きさが統一されていると、パッと見ればすぐ分かりますよね☆
今では、口腔内カメラで撮影する場合と、マウスピースの患者さまはiPhoneで撮影することも多いです。
矯正歯科では一般の歯科に比べて口腔内写真を撮影する機会がとっても多いと思います。
私たちスタッフが気を付けている点をまとめてみました。
参考にしていただけると嬉しいです☆