〜自然に歯並びを整えたいあなたに〜
「矯正したいけど、装置が目立つのがどうしても気になる…」
そんな理由で一歩踏み出せない方はとても多いです。
実際、従来のワイヤー矯正は、歯の表面に金属やセラミックの装置を装着するため、どうしても見た目の違和感が出てしまいます。
そこで近年、多くの方に選ばれているのが
インビザラインによるマウスピース矯正です。
目立たないから、日常が変わらない

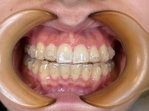
インビザラインの最大の特徴は、透明でほとんど気づかれないことです。
- 装着していても周囲に気づかれにくい
- 仕事や学校でも自然に過ごせる
- 人前で話す機会が多い方でも安心
特に営業職・接客業・学生の方など、
「見た目の印象を大切にしたい方」にとって大きなメリットです。
ブラケット治療との見た目の違い
ワイヤー矯正の場合:
- 金属や装置が見える
- 笑ったときに目立つ
- 写真に写ると気になることも
一方、インビザラインは
- 透明で自然な見た目
- 近くで見ても分かりにくい
- 写真やオンライン会議でも安心
「矯正していることを知られたくない」方には特におすすめです
取り外しができるという安心感
インビザラインは取り外し式のため、
- 食事のときは外せる
- 歯磨きがしやすい
- 大事なイベント時だけ外すことも可能
という柔軟さもあります。
「結婚式」「面接」「写真撮影」など、
どうしても外したいタイミングがある方にも向いています。
見た目重視なら、選択はシンプルです
もちろん、症例によってはワイヤー矯正の方が適している場合もあります。
ただし、見た目の自然さを最優先に考えるなら、
インビザラインは非常に有力な選択肢です。
こんな方におすすめ
- 矯正していることを周囲に知られたくない
- 仕事柄、見た目の印象が重要
- 写真や人前に出る機会が多い
- ワイヤーの見た目に抵抗がある
まずは相談から

「自分の歯並びでもできるの?」
「本当に目立たないの?」
そんな疑問がある方は、まずはカウンセリングでご相談ください。
あなたのライフスタイルに合わせて、
最適な矯正方法をご提案いたします。
下記LINEから、無料カウンセリングのお問い合わせが可能です!
ぜひご登録ください( ◠‿◠ )
![]()
参考文献
- Align Technology. Invisalign System Clinical Overview. 2023. https://www.invisalign.com
- Kuncio D, et al. Effectiveness of Invisalign and traditional braces in adult patients. Angle Orthod. 2008;78(3): 1–6.
- Rossini G, et al. Efficacy of clear aligners in controlling orthodontic tooth movement: A systematic review. Prog Orthod. 2015;16:35.
- Thiruvenkatachari B, et al. Orthodontic treatment for adult patients: A review. Br Dent J. 2020;228: 297–305.
- 日本矯正歯科学会. 大人の矯正治療ガイドライン 2022.