インビザラインの抜歯治療例

〒497-0034 愛知県海部郡蟹江町本町9-45

ブログ BLOG

土日診療
キャッシュレス
対応
〒497-0034 愛知県海部郡蟹江町本町9-45
近鉄名古屋線「蟹江駅」
徒歩5
JR関西本線「蟹江駅」
徒歩15
駐車場を
ご用意しています

インビザラインの抜歯治療例

大人の矯正治療 抜歯or非抜歯

大人の矯正治療は、永久歯列が全て生えそろっているかどうか、で当院では大人の治療と子供の治療を分けています。

まだ乳歯と永久歯の混合歯列期だと、成長期なので、永久歯の生えるスペースが足りないお子様や、噛み合わせなど、成長を見ながら治療を行うことが出来るので、将来、歯を抜く可能性がかなり低くなります。

大人の方はどうしても成長をさせることが出来ないので、スペースを取るために顎を整える事を当院はしていきます。

その顎のアーチを整えるというのは、顎が狭かったり、アーチの形がキレイでなかったりすると、ガタガタ歯並びになります。

精密検査をすると、その患者様の骨格に適した上あご、下あごの数値がしっかりと出ますので、その数値に整えてから、歯並びを治していく方法を行っていますので、大人=抜歯ということもありません。

ここでかなり注意が必要なのは、大人=抜歯の医院があるという事です。

しっかりと精密検査をし、骨格を分析すれば、実は抜歯をせずに済んだということは多くあります。先生の診断次第で大きく異なります。

アーチを整えることなく歯並びを治す治療をするので大人=抜歯になってしまうのです。

抜歯=ダメ。非抜歯=イイ。ことでは決してありません。

非抜歯を推奨するところも多くありますが、非抜歯だからイイということもありません。

抜かないからといって、前に出せるだけ出してしまったり、歯を削ったり、口が閉じない、横顔のラインも無視、などは「美しい」とは言えません。

全国統計をみても、当院の抜歯率は20%ほど低いと思います。

骨格の分析を細かく行う診断結果や、骨格に基づいた上顎、下顎の数値にする当院の治療の結果です。

当院でももちろん抜歯ケースは多くあります。

お口元を引っ込めたい、ガミースマイル、横顔のラインを美しくしたい、という方はやはり抜く可能性が高いです。

もちろん、他にも噛み合わせの問題や、保存不可能な歯があれば、その歯を優先して抜歯ということもあります。

無理やり非抜歯にする必要もないですし、抜歯をしないといけないという方は抜かないと横顔のラインや、噛み合わせが確立できないために抜く、という理由があります。

大人=抜歯ではありません。

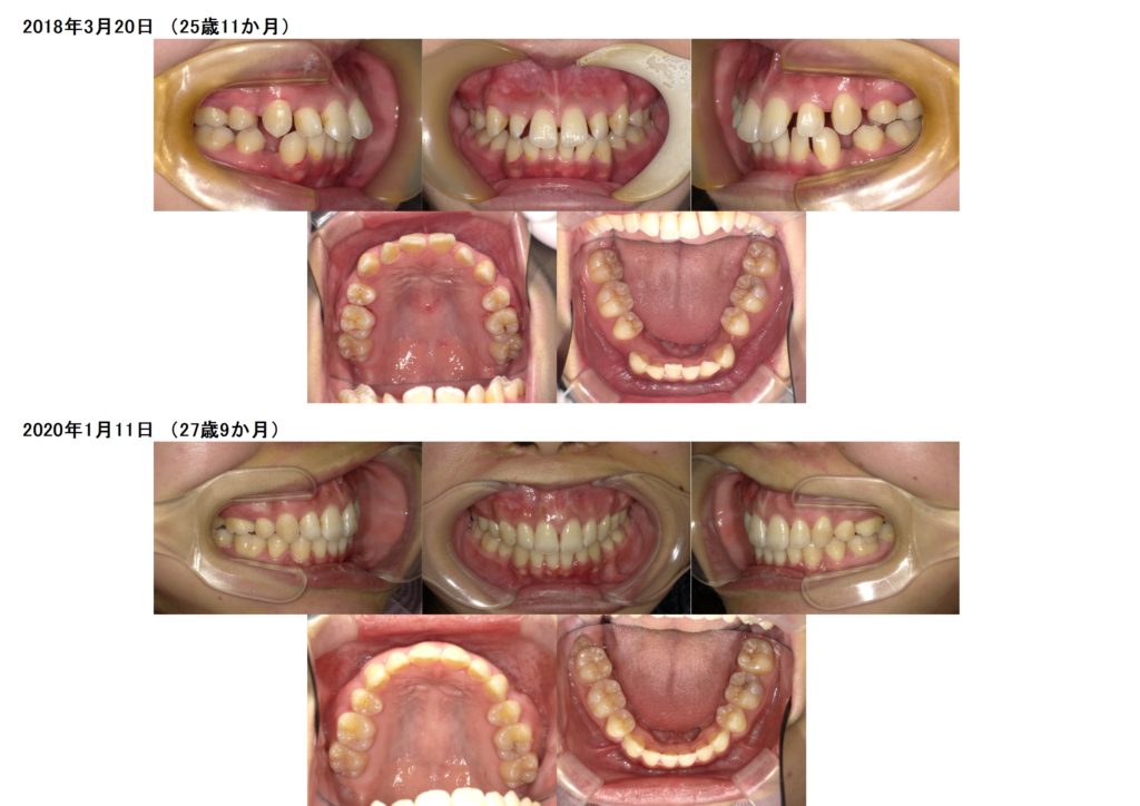
インビザラインでの抜歯治療の写真

↑インビザライン治療の上下抜歯のケースです。

このようにすこしずつ抜歯した隙間が埋まりつつあります。

↑このように隙間がインビザラインのマウスピースをしてキッチリと埋まります。

↑治療前、治療後の口腔内写真の比較です。

お口元の突出や、ガミースマイルを気にされての来院でしたが、とてもきれいに引っ込み、歯並び、噛み合わせ、横顔のラインも美しく完了しました。

インビザラインの使用方法

インビザラインの使用についてですが、とにかく一番重要なのは使用時間です。

とにかくコレに限ります。

加速装置も患者様には使っていただきますので、使用時間が短いのに加速装置を使用し、短い日数で交換してしまうと大変なことになってしまいますので、早く治療を終わらせるには、とにかく「使用時間」です。

治療がスムーズに進む患者様はしっかりとマウスピースを使用していますので、計画通りに進みますし、交換日数も短く進めることが出来ます。

中々20時間以上使用できない、となると、どうしてもマウスピースに「浮き」が出てしまい、動いていない部分が出来てしまいます。

もちろん、リファイメントと言って、新たに治療計画を提出し直し、仕切り直しをします。リファイメントが悪いことでもガッカリすることでもなく、噛み合わせを微調整するためにも行いますし、この動きをさせたほうがキレイに仕上がる、など色々なメリットもあるので、一番最初の計画だけのマウスピースで終了することは少ないと思っていただければいいです。

しっかりと時間を守り、加速装置も必ず毎日使用している方はリファイメントを何度もする必要はありません。

使い方が適当だと、マウスピースが合わなくなってしまいます。その為にそれ以降のマウスピースが全くはまらないので、新たに仕切り直しをする必要があるということです。

それを無視して、適当に使って!というのは簡単ですが、しっかりと治療をしようとすると、そういうわけにもいきません。

当院は「結果」を求めますので、適当な治療を提供するわけにはいきませんので、しっかりと最後まで治療をしていきます。

今までの生活に「マウスピース」を使用して頂くだけですが、20時間以上となると、食事もササっと食べる必要もありますし、間食も一日1回から2回ぐらいになります。

面倒だな。。。。と確かに思いますが、治療はあっという間に終わりますので、適当に使用するぐらいなら、しっかりと時間を守って真面目に取り組み、さっさと治療を終わらせた方が、数倍ラクになると思います。

マウスピースをしっかりと使用しているかどうかは、口腔内を見ればすぐ分かります。

舌癖があるのであれば、毎日舌のトレーニングをしっかりする必要があります。

だいたい使っている、ではなく、しっかりと使っている!であれば、シュミレーション通りに歯は動きますし、治療は成功します。

インビザライン治療を成功させるための医院選び

いまやどこの歯科医院でも「インビザライン」治療推しです。

その理由は、とにかくインビザラインの患者数を増やす会社の営業努力と、ブラケットより治療が簡単にできそう!がうまく合致したんだと思います。

前からお話ししているように、治るか治らないかはインビザライン社は関係ありません。

治療をする歯科医師の技術次第です。

インビザラインを使用して治療をしたからといって、どこの歯科医院でやっても同じでは全くありませんし、治りません。

しっかりとした診断、技術があって患者様の協力があって治療は成功します。

では、どのようなところで治療を受けたらいいの?

ってなりますよね。

見極めるポイントは

「安い」「早く治る」「今なら〇〇円引き」

というところには私はまず選びません。

治療をしっかりとしようと思うと、とても大変ですし、頭を使いますし、悩みます。

こんなに安くできるはずがない、と思います。

人によって治療費が変わるのもありえません。

早く治るのも当院でもアンカースクリューや、加速装置を使用しますので治療期間は短く終わる方が多いですが、全員このケースに当てはまりません。

まず、インビザラインやブラケット治療の治療例を見ることが重要です。

特に、インビザラインの上下抜歯ケースの治療例がどれだけあるか、どの歯並び、噛み合わせでも治療が出来ているか、この2つのポイントが分かりやすいと思います。

非抜歯でインビザラインの治療は当たり前です。

噛み合わせや歯並びによって、ブラケットだと抜歯、インビザラインだと非抜歯でいけるという例も少なからずはありますし、先天性欠如や矮小歯など、色々な患者様がいますが、誰でもインビザラインの治療が可能かどうか、です。

本当、目を疑うような治療例とかありますから、恐ろしいです。

これがインビザライン治療を成功させる医院の選び方のポイントです。