・ずっと口元にコンプレックスがあって、、、、、
・治したい治したいと思いながら何年も、、、、
・この歳でも治療はできますか、、、、
などなど、大人の方はなかなか治療を開始しよう!と思うまで悩みに悩んで、という方は少なくありません。
でも、矯正治療というのは前向きな治療でマイナスになることはないと私は思っています。
お口元を引っ込めるとほうれい線が目立たなくなったり、歯並びが良くなると歯ブラシもしやすくなり、歯周病や虫歯予防になったり、、、、、
お口元、歯並びは年齢が現れるとも言われています。
同窓会などで、歯並びがキレイだととても若々しく見えたり、奥歯でしっかりと物を噛むことができると健康にも結びつきます。
被せ物や入れ歯、インプラントの治療を行う前に、矯正治療をするとしないとでは本当に違ってきます。
もちろん、料金はかかりますが、それ以上に美しく仕上がりますし、結果が違ってきます。
「整形を考える前に矯正治療を!」
「まずは矯正治療!歯並びをキレイにしよう!」
と言いたいぐらい口元の矯正治療をすると、歯並びはもちろん横顔のエステティックラインも美しく整います。
カウンセリング時に Before→After のお写真をお見せすることがあるのですが、
「本当に矯正だけですか?」というぐらい変化します。

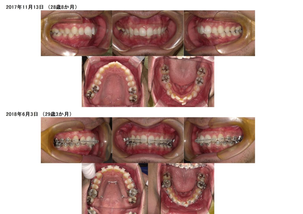
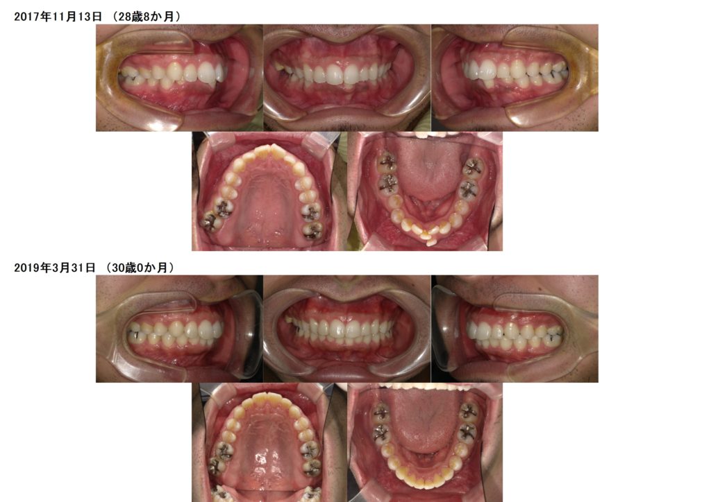
お口元が出ているのと、下の歯並びが気になるという事で、治療を開始しました。
裏側に土台を整えるために装置を入れ、患者様からお電話が。
「先生、痛くて痛くて、これ、大丈夫ですか?歯がおかしくなるそう。いつまで続きますか?耐えられないです」
「大丈夫、必ず慣れるから、1週間とりあえず我慢してみよう!」
「違和感ありすぎで本当に無理そう。違う装置にして欲しい!」
そんな電話のやり取りが数日続きました。
来院時、とても心配で
「装置、慣れました?大丈夫でした?スタッフみんなで心配してたんですよ」
って伝えたら、
「とりあえず、1週間と思って我慢したら、徐々に慣れてきました。お騒がせしてましたよね」
なんて治療が終われば笑い話にもなりますよね。
上下の口腔内写真を見比べていただくと、約半年ほどで下のガタガタしていた歯並びが徐々に治っているのが分かると思います。
初めは本当にお口の中も大変だったと思いますが、キレイに歯ブラシもしてバッチリ☆

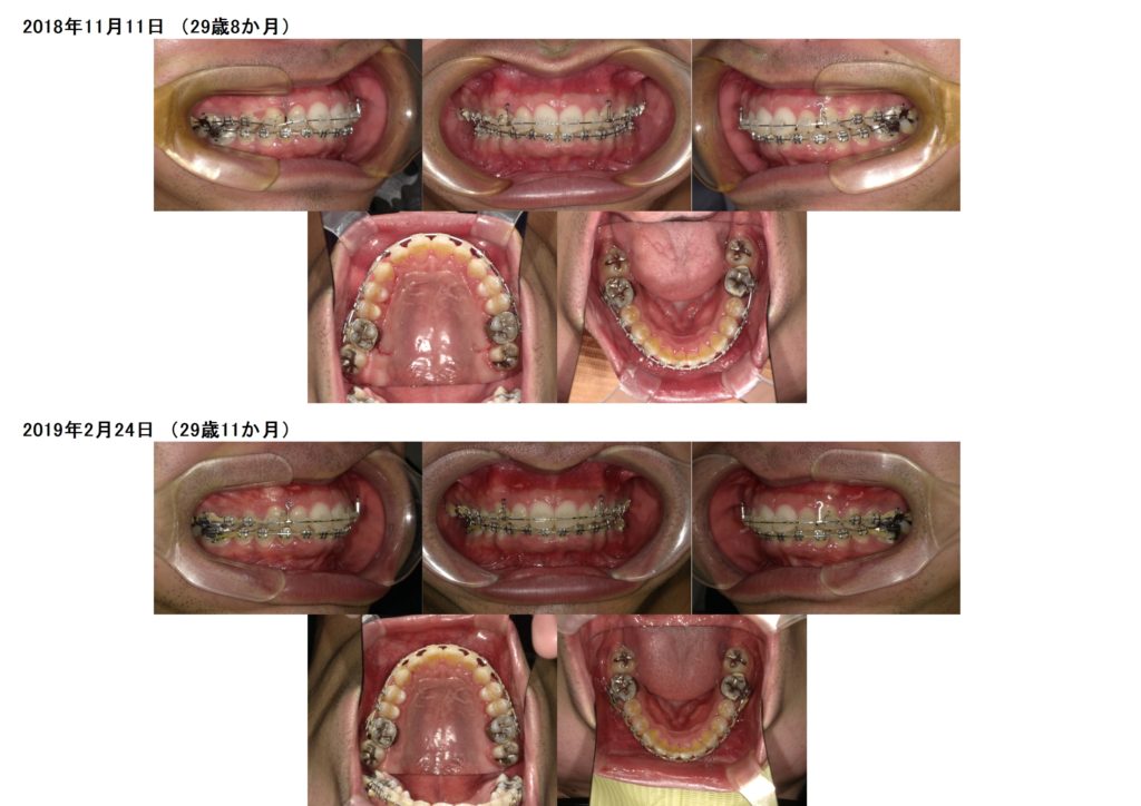
そこからさらに5か月ぐらいでガタガタは改善され、噛み合わせの調整に入りました。
噛み合わせの調整期間はとてもじれったい期間かもしれません。見た目はキレイに並んだのにな~、まだ先生外せない?なんてお声もありますが、ここからが一番重要なんです。
コツコツととっても地味な作業なんで、患者様からはあまり変わってないように見えるかもしれませんが、しっかりと噛み合わせをあわせるためなんです。

一年と少しで、下の歯のガタガタ、お口元、そして噛み合わせの深いところもしっかりと治りました。
ブラケットを外した時の患者様の笑顔は私たちスタッフも本当に自分のことのようにうれしくなります。
装置は慣れるまで大変なことが多いです。スタッフも矯正治療経験者なので、装置の辛さや痛みは理解しています。何か不安に思う事や、小さなことでも構いませんので、スタッフに伝えてくださいね!
今回の口腔内写真はフルブラケットシステムを使用した治療例になりますが、もちろんどのような歯並びの方でもインビザラインの治療は当院では可能です。
他院で歯を抜く場合、出っ歯の方、ガタガタ歯並びの方、八重歯の方でインビザラインの治療をお断りされた方は多くいると思います。
当院はどのような歯並びの方にでもインビザラインの治療を提供していますので、一度ご相談くださいね。