インビザラインでの治療をする際、カウンセリング時に
「他院で、スペースを取るために歯を削って隙間を開けるって言われたのですが、、、、」
「前に出すって言われたのですが、、、、、」
当院では隙間を取るために、歯を削ることはありません。
前に出すこともありません。
ガタガタ歯並びを治すのに、スペースが必要だからそれを削って取ることは当院ではしません。
スペースを取るために歯を削るって、相当削らないといけないと思います。
将来の歯のことを考え、私の治療では歯を削ってスペースを取ることはしません。
あと、抜歯をしたくないから、歯を全体的に前に出してスペースを取る、という医院がほとんどですが、当院では前に出す方法はしていません。

↑このような取り外し式の急速拡大装置を数か月間使用し、奥歯から隙間をとります。
固定式の装置の場合もあります。
これを使用する理由は、インビザラインで拡大するより、歯への負担がとても少なく、確実に広げることができるのと、治療期間が短くなるメリットがあります。
患者様の口腔内、治療方針によって使用する装置は様々ですが、インビザラインで最初から行うケースもありますし、お口の中の基礎工事から行うケースもあります。
この基礎工事というのが、当院が確立している治療法で、出っ歯、抜歯ケース、叢生、受け口など、どのような歯並びにでも対応できるのです。
これは患者様の骨格や噛み合わせを精密検査し、診断を行い、装置を説明させていただきます。
インビザライン治療がご希望の患者様は
「見える装置がイヤ」「絶対に見える装置はイヤ」
という方が選ばれる治療なので、見えない装置で最初から最後まで行います。
基礎工事を行うことによって患者様の骨格に適した土台が出来上がり、歯が並ぶスペースが取れます。
しっかりとした骨格の分析を行い、上あご、下あごの患者様にあった適切な土台を確立すれば、ガタガタ歯並びはキレイに並びます。

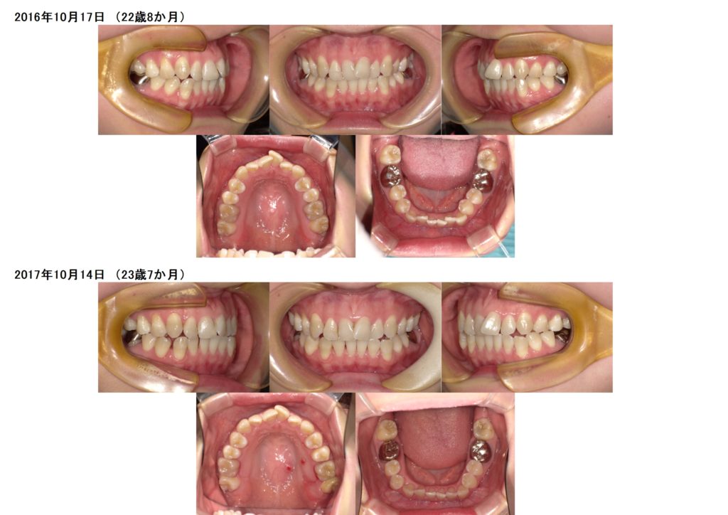
↑上下の写真を見比べると、歯と歯の間にすき間が取れているのが分かります。
奥歯の位置も変わっていたりします。簡単に言うと、顎を広げます。これはお顔が大きくなるわけではないのでご心配なく!!
広げるといっても、その方の骨格に対して理想的な数値にするので、整っている状態になります。
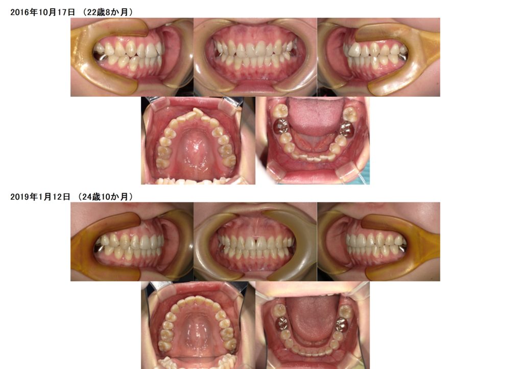
アンカースクリューを使用し、この患者様は遠心移動を行いました。
奥に歯を移動させる治療方法です。
このように、しっかりとスペースが取れたら、インビザラインに移行します。

このように、歯を削らなくても、抜かなくてもとてもキレイな歯並び、かみ合わせを作り上げることが出来ます。
ここまでしっかりと骨格の分析、診断を行って矯正治療を行います。インビザラインでの治療も同じ分析、診断を当院は行っています。
インビザライン社の診断のみで治療は行いません。
*インビザラインの治療中にIPRといってインビザライン社からの診断で歯と歯の間に0.3mmほど、隙間をとってもほしいと要望があります。
これは歯を削るとは全く行うことが違い、通常エナメル質は2から3ミリほどで、その0.3mmをディスキングする。通常2本ぐらいが多いです。
他院の治療法で歯を削って隙間を取る治療は、本当に神経に関係してくることなので、削りすぎるのはとても危険です。毎回血だらけ、痛くてたまらない、そうです、、、、、。
当院ではこのように、歯を削らなくても、前に出さなくてもしっかりと美しい歯並び、噛み合わせ、横顔のラインの治療を確立しています。
ただし、歯並び、骨格によっては歯を抜くケースはもちろんあります。
全国平均をみても抜歯率は低いと思いますが、横顔のラインの確立や、突出している方、ガミースマイルの改善などは抜歯をするケースになることがあります。
インビザラインの治療で、他院がやらないのは「抜歯ケース」です。
なるべく抜かないように、「削る」や、「前に出す」方法を用いますが、それでも無理そうな患者様はお断りされている方がほとんどです。
抜歯をインビザラインで治療をしようとすると、難易度が上がります。
だからやらない、やれないのです。
当院では、「抜歯ケース」や「叢生」の患者様には独自の治療方法を確立しています。
どのような歯並びの方でも治療は可能ですので、
インビザラインで治療をしたい!!
と思う方は当院のカウンセリングにお越しください。