インビザラインの治療を他院でお断りされた方、当院のカウンセリングにお越し下さい
当院でもここ数年前から大人の矯正治療の患者さまは8割から9割の方がインビザラインの治療を希望されます。
カウンセリングをしていて、「他のクリニックのカウンセリングを受けて、あなたの歯並びはインビザラインでは治療は向いていないから、ブラケット治療の方がいい」とか、「インビザラインで治療をするととても時間がかかるから、ブラケット治療のほうがいい」や、「だいたいの治療ならインビザラインでできる」
とカウンセリング時に言われ、インビザラインの治療をあきらめたりしている方が多くいるという事です。
当院では抜歯ケース、突出してる方、受け口の方、全ての患者様にインビザラインの治療は可能なので、患者様の歯並び、口腔内によって「出来る」「出来ない」を振り分けることはしません。
どの患者様でもご希望の治療方法で治療が可能です。
一度カウンセリングに来ていただければ違いが分かると思います。
断られる歯並びの例
なぜ他院は患者様によってインビザラインの治療が出来るか、出来ないと振り分けるのでしょうか?
向いていない、出来ないと断られる患者様はだいたい
・歯を抜かなければいけない
・デコボコがキツい方
・受け口
・上顎前突(突出)
の方が多いと感じます。
矯正治療を希望される方はほぼコレに当てはまりますよね。
でも、インビザラインではできません!と他院は断るのです。
なぜ断るのか?
インビザラインの治療はマウスピースを使用します。
マウスピースで上の歯、下の歯を覆うので、力のかかり方を考えると、抜歯した隙間に前歯を引っ込めたいけれど、奥歯が誘導され、出っ歯のケースは前歯が引っ込まない状態になってしまうからです。
こういうケースはブラケットでも起こりうることなので、矯正の技術にも関わってきます。
矯正治療はとても奥が深いです。簡単に歯が動かせそうで、しっかりと診断が出来なかったら、結果は伴ってきません。
日々進化する技術習得はもちろんのこと、矯正治療の基本がわかっていないと、新しい装置があっても治療結果は伴いませんし、治療をすることが出来ません。
特に今ではインビザラインというマウスピースの治療はとても一般の歯科への間口が広いので、どの歯科医院でも破格な金額でインビザラインを提供し、自費治療の獲得が出来るようになっています。
冷静に考えてもインビザライン〇万円、30万円とかその提供は矯正歯科であれば出来ません。
治療を開始するための精密検査、診断、インビザライン社からの診断結果の擦り合わせ、マウスピースの使用時間が短かったり、うまくフィットしていない患者様への再スキャンなど、、、。
他院との治療の違い
しかし、以前も書いたように、インビザラインはインビザラインの会社が診断を下すので、その診断を見極める力がなければ、治療は失敗します。
誰でも出来ると勘違いしそうですが、とても簡単にはいかない治療です。
ブラケット治療が出来ない先生は簡単にインビザラインで治療が出来ると思っているのが大きな落とし穴です。
安いから、なぜ安いからか一度立ち止まって考える必要があると思います。
しっかりとした分析、診断を行い、矯正の技術があり、患者様の協力があり結果が伴います。
断るという事は治療が出来ない、治す自信がないと言っているのと同じです。
では、どのような歯並びなら受け入れるのか?
前歯が少しガタガタしている、とかその程度です。
5万円からとかインビザライン40万円とか、その金額では到底インビザラインの治療は出来ないです。
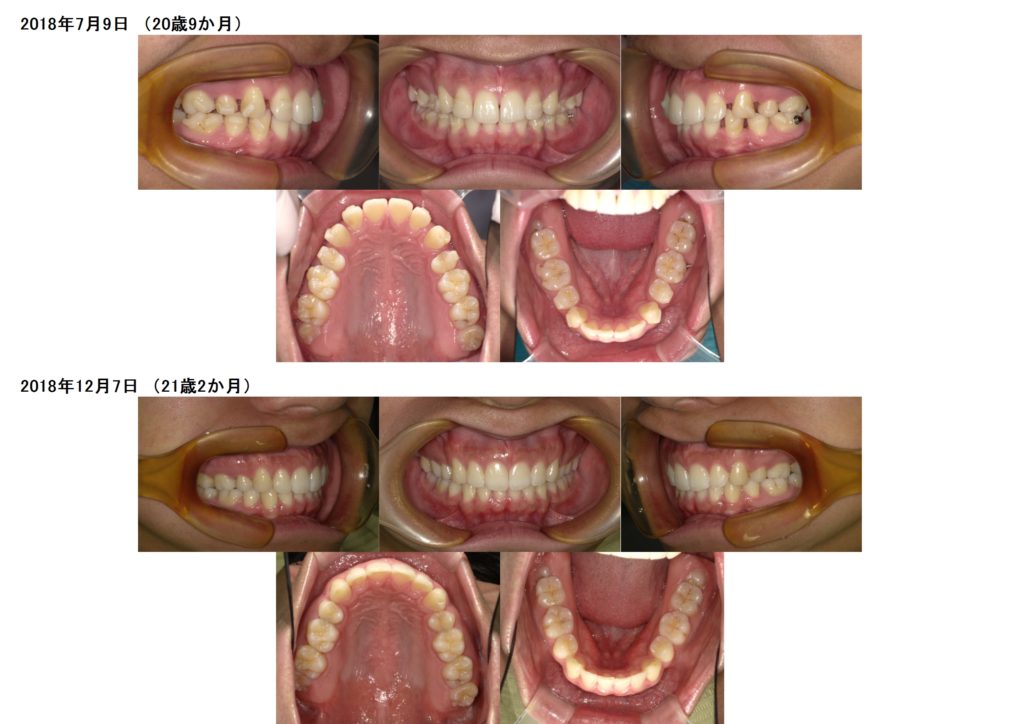
インビザライン抜歯の症例

↑抜歯を行った治療例です。
抜歯した隙間を少しずつこのように埋めていきます。
この治療が他院ではできません。
矯正の技術です。

このように、抜歯が必要な患者様でも、しっかりとお口元も引っ込み、歯並び、噛み合わせも治っています。(加速装置導入前なので、今よりも治療期間が長くかかっていますが、今はインビザラインの治療をご希望の患者様には必ず加速装置を使用して頂きますので、治療期間はとても短くなる傾向にあります)
もちろん、フルブラケット治療でも、インビザラインの治療でも当院ではこの結果を求めます。
初めから最後までインビザラインで治療が出来る方ももちろんいますが、ガタガタ歯並びの方や、抜歯を必要とする方、受け口の方など、様々な噛み合わせ、歯並びの方がいます。
その方にあった治療を提案しますので、インビザラインで治療を希望されている方、他院でインビザラインの治療が出来ないと断られた方、一度ご相談ください。