「前歯だけ気になる」「なるべく安い矯正がいい」
このようなご相談は非常に増えています。
結論から言うと、前歯だけの部分矯正は可能なケースがあります。
ただし、すべての方が適応になるわけではありません。
この記事では、部分矯正の適応条件・費用・治療期間・メリットと注意点を、わかりやすく解説します。
部分矯正とは?

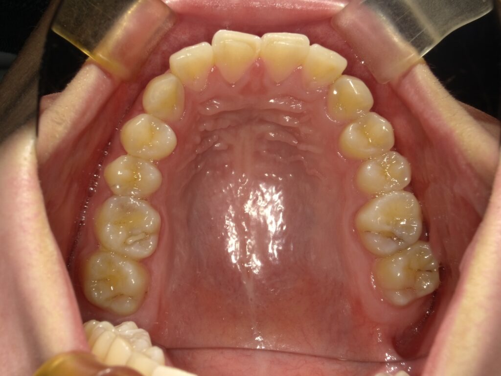
Before

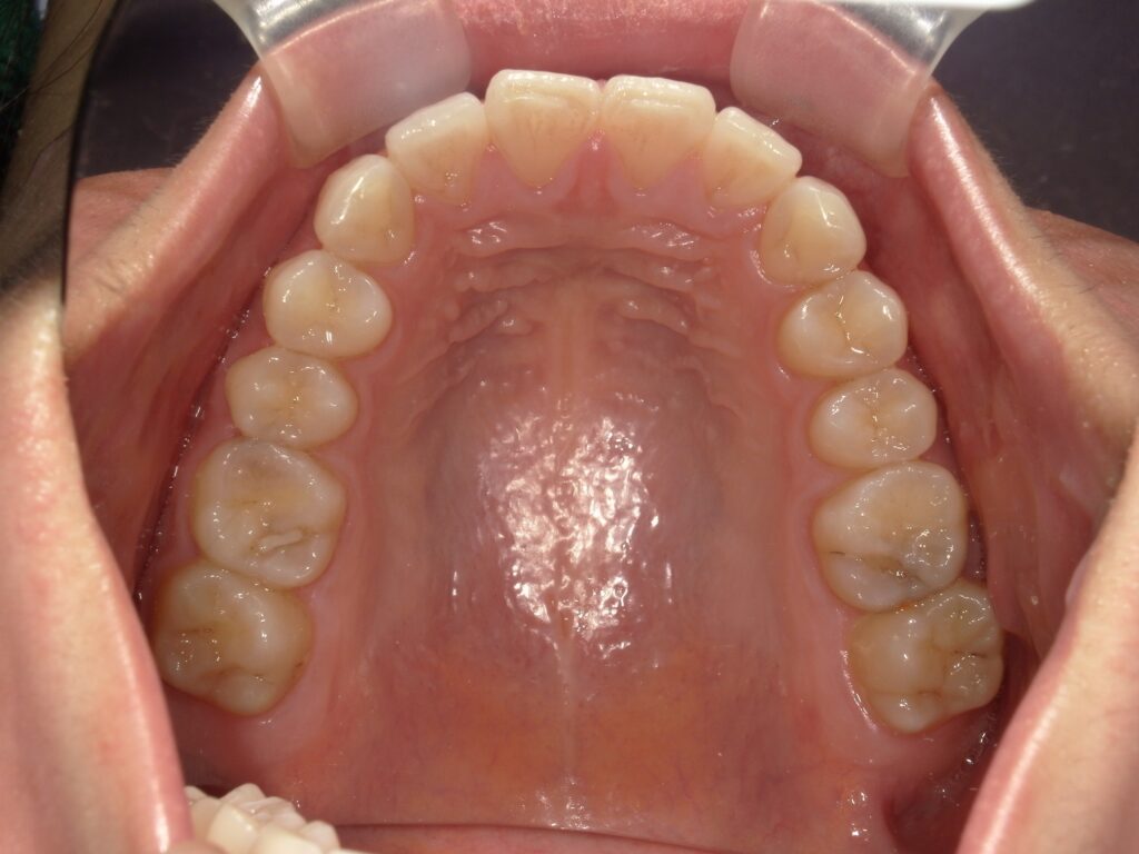
After
部分矯正とは、気になる一部分だけを動かす矯正治療です。
特に多いのが「上の前歯だけ」「下の前歯だけ」というケースです。
全体矯正と違い、
-
治療範囲が限定的
-
費用が比較的安い
-
治療期間が短い
という特徴があります。
代表的な方法は以下の2つです。
-
ワイヤー矯正
-
マウスピース矯正
前歯だけの部分矯正ができるケース
✅ 軽度のガタガタ(叢生)
✅ すきっ歯(空隙歯列)
✅ 以前矯正した後の後戻り
✅ 被せ物前の歯並び調整
歯の移動量が少なく、かみ合わせに大きな問題がない場合に適応になります。
部分矯正ができないケース
❌ 受け口や出っ歯が強い
❌ 奥歯のかみ合わせがズレている
❌ 骨格性の問題がある
❌ 抜歯が必要なスペース不足
このような場合は、部分矯正では根本的な改善ができず、全体矯正が必要になります。
部分矯正の費用はいくら?
「安い矯正」として検索されることが多いですが、相場は以下の通りです。
| 治療内容 | 費用目安 |
|---|---|
| ワイヤー部分矯正 | 20万〜50万円 |
| マウスピース部分矯正 | 30万〜60万円 |
※症例や医院によって異なります。
全体矯正(80万〜120万円程度)と比べると、確かに費用は抑えられます。
治療期間はどれくらい?

約3か月〜1年程度が目安です。
-
軽度の後戻り → 3〜6か月
-
ガタつき改善 → 6〜12か月
全体矯正より短期間で終わる点は大きなメリットです。
部分矯正のメリット
✔ 費用が比較的安い
✔ 治療期間が短い
✔ 負担が少ない
✔ 結婚式や就活前に間に合う可能性がある
部分矯正のデメリット・注意点
⚠ 根本的なかみ合わせは改善できない
⚠ 将来的に再治療が必要になる可能性
⚠ 適応診断が重要
「安いから」という理由だけで選ぶと、後悔するケースもあります。
部分矯正が向いている人
-
とにかく前歯の見た目だけ整えたい
-
短期間で終わらせたい
-
費用を抑えたい
-
過去に矯正経験がある
一方で、長期的な安定性を重視する方には全体矯正が向いている場合もあります。
正確な診断が重要
部分矯正が可能かどうかは、レントゲンやかみ合わせ診断が必須です。
学術的にも、矯正治療の適応判断は専門的分析が重要とされており、日本矯正歯科学会 も精密検査に基づく治療計画の重要性を示しています。
まとめ|前歯だけの部分矯正は「症例次第」
前歯だけの部分矯正は可能ですが、誰でもできるわけではありません。
✔ 軽度の歯並びの乱れなら可能
✔ 費用は20万〜60万円程度
✔ 期間は3か月〜1年
✔ 正確な診断が最重要
「安い矯正」で探している方こそ、一度専門医の診断を受けることをおすすめします。
自分の歯並びが部分矯正は可能かどうか、気になるかたは一度ご相談ください( ^ω^ )
参考文献
-
日本矯正歯科学会「矯正歯科治療ガイドライン」
-
Proffit WR, Fields HW, Sarver DM. Contemporary Orthodontics. Elsevier.