こんにちは。ひらざわ矯正歯科クリニックです☺
今回の治療例は
「癒合歯」の患者様です。
「癒合歯」とは1本ずつの歯がくっついて生えてきた歯の事をいいます☆
乳歯で癒合歯の場合、永久歯が1本しかないケースがあったり、癒合歯の下にしっかり2本永久歯があった場合、スペース不足になるケースもあります。
レントゲンで確認すると歯があるかどうかがすぐ分かりますので、乳歯が癒合歯の場合は調べてもらうといいですね。
永久歯が癒合歯はもっともっとレアなケースに当てはまりますが、もちろんあります。
その場合だと、上下左右の本数の差があったり、噛み合わせが確立できなくて、ガタガタ歯並びになってる可能性が高いので、矯正治療をおススメします☺

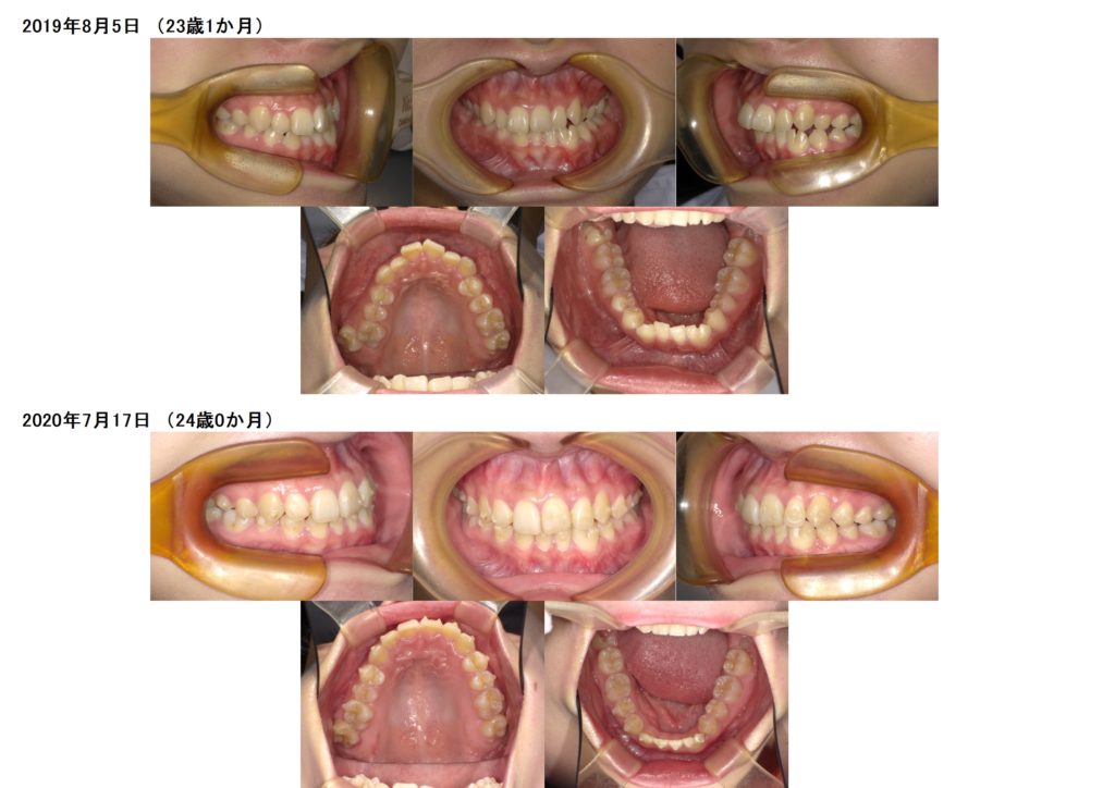
↑上が初診時のお口の中になります。
左下の部分が癒合歯になります。
少しだけ歯が大きいのです。
マウスピースを使用し、治療を開始しました。
上下の顎のアーチを整え、歯が並ぶスペースを確保します。
随分と形が変わったのがわかりますよね☆

↑上の写真にアタッチメントが着いているのが分かりますよね。
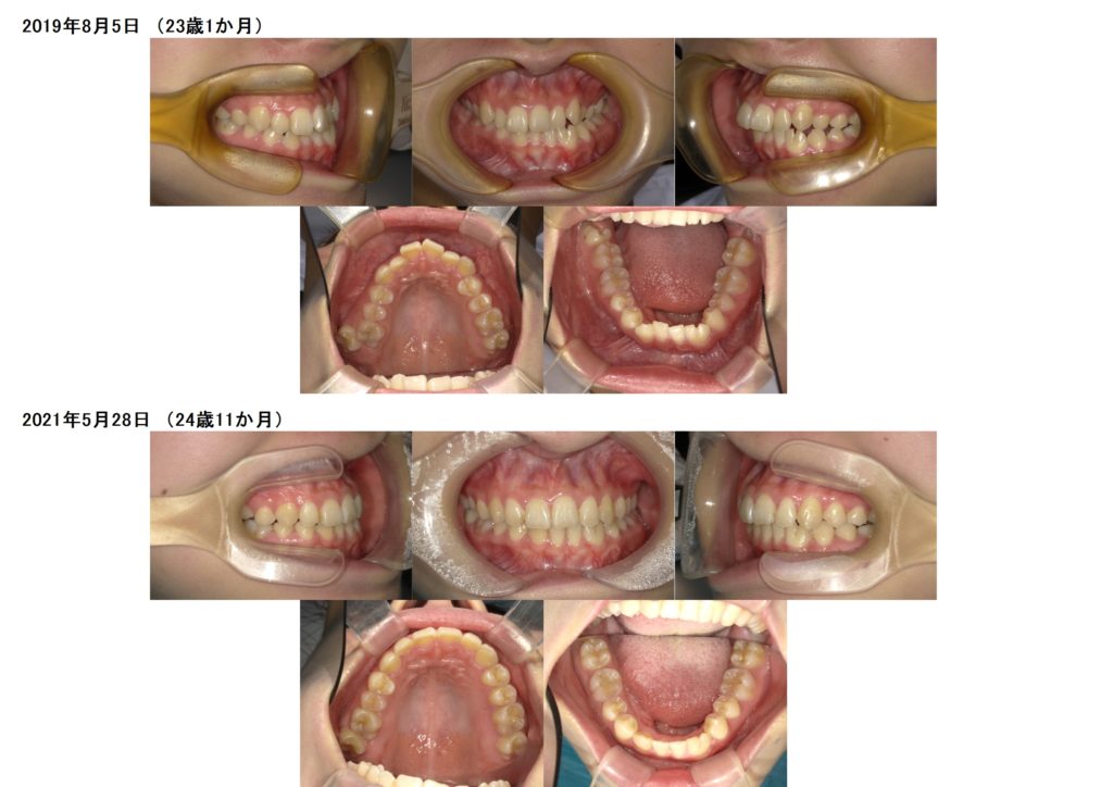
マウスピースを使用して治療が完了しました。

今はしっかりと歯並び、噛み合わせを定着させるために保定期間中になります。
患者様によっては抜歯が必要なケースもありますので、精密検査をした後の診断で骨格分析やお口元、噛み合わせの状態を考慮して治療方針をお伝えします。
もともと生まれつき「癒合歯」「先天性欠如」の場合は多くあります。
このように、矯正治療をすると、目立ちにくくなりますし、噛み合わせも確立することができます。
無料カウンセリングは随時行っておりますので、お越しください。
お待ちしております☆