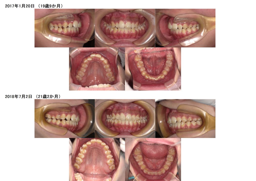
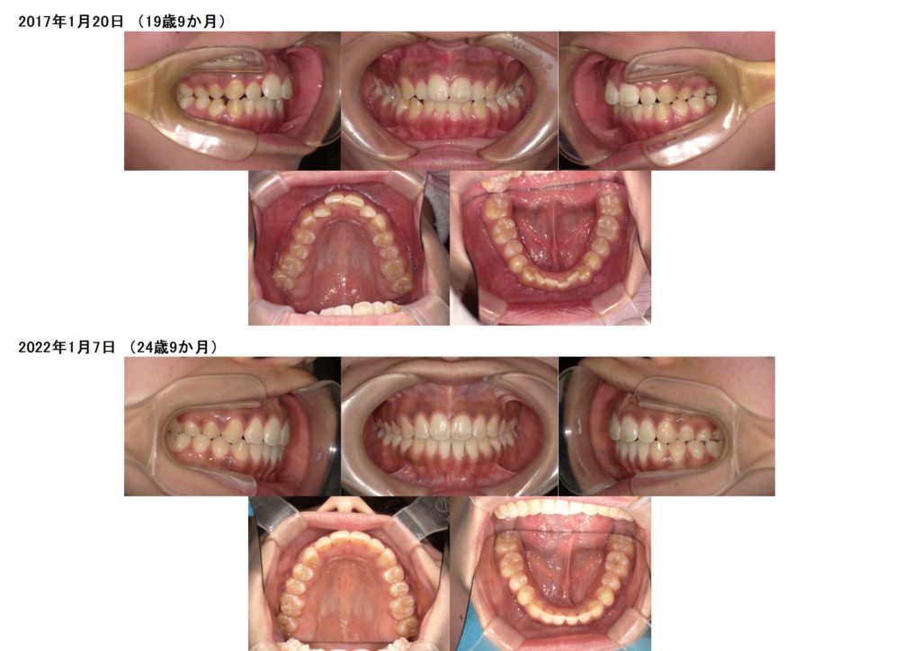
こんにちは。ひらざわ矯正歯科クリニックです☺
今回は、叢生(ガタガタ歯並び)、噛み合わせの治療をマウスピース、アライナーを使用した治療例になります。

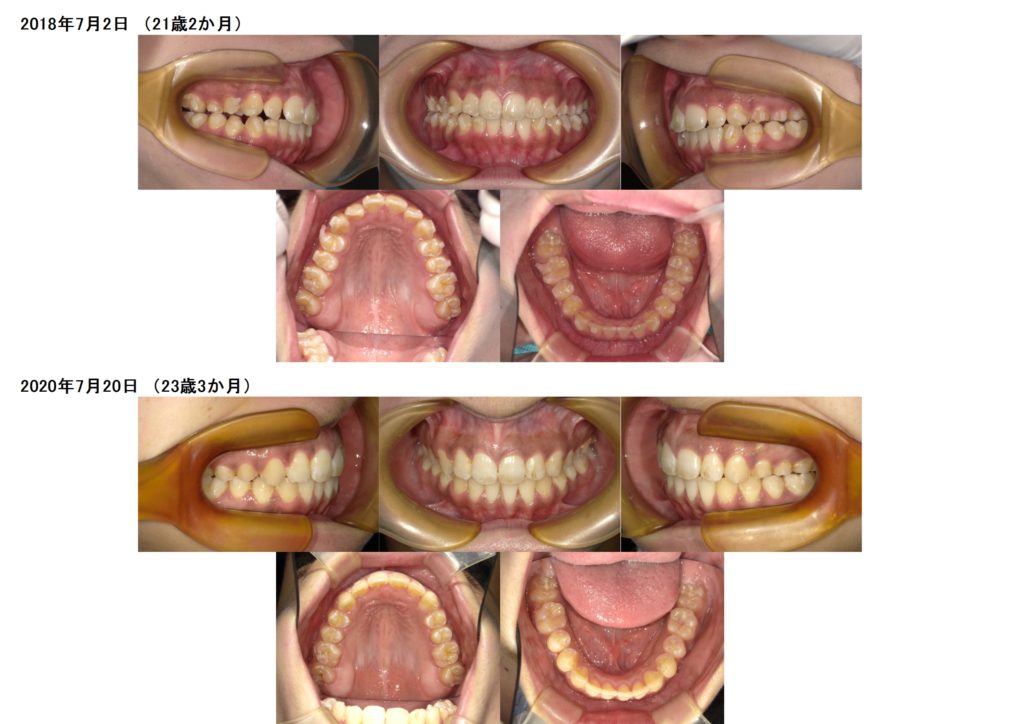
上下の写真を見比べてみると上下の顎の土台をしっかりと整ったのが分かると思います。
特に、上のアーチの形が変わったのが分かりますよね☆
アタッチメントを着けて、しっかりと動かしています。

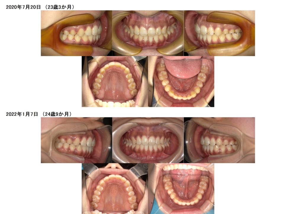
しっかりとマウスピース、アライナーをルール通り装着時間を守って使用していただくと、とてもきれいに早く治療を終えることが出来ます。
ここから、リテーナーと呼ばれる保定装置を使用して頂くのですが、リテーナーでも、少しの動きをする事が可能なので、微調整をしながら、しっかりと保定をしていきます☆

しっかりとリテーナーを使用して、保定もキレイにできています☺
このように、少しずつの変化ですが、マウスピースでもどんな歯並びの方でも可能です。
しっかりと噛み合わせを重視し、奥歯から全体の歯をしっかり動かし、歯並びを並べていくと、後戻りのリスクも減らせますし、土台の変化をする事が出来るのでお口の中もとてもきれいに整います。

全体を歯を動かす治療は、土台の形を骨格に一番適した数値にしたり、噛み合わせの治療をする事により、歯並びもキレイに並びます。
歯並びだけをキレイにする治療ではありませんので、その分治療期間もかかってきますが、噛み合わせを治さないと後々、噛むことが出来ない、といった不具合も出てくる可能性がありますので、しっかりとカウンセリングを受けてから治療を開始することをおススメします。