マウスピース治療 上下抜歯例

〒497-0034 愛知県海部郡蟹江町本町9-45

ブログ BLOG

土日診療
キャッシュレス
対応
〒497-0034 愛知県海部郡蟹江町本町9-45
近鉄名古屋線「蟹江駅」
徒歩5
JR関西本線「蟹江駅」
徒歩15
駐車場を
ご用意しています

マウスピース治療 上下抜歯例

こんにちは。ひらざわ矯正歯科です☺

カウンセリングの際、他院のカウンセリングで

・マウスピースはあなたの歯並びに向かない

・ブラケットじゃないとできない

・歯を削って並べましょう

など、言われることが多いと思います。

まず、当院では

☆歯並びによって装置の向き、不向きはない

☆その装置しか出来ないことはない

☆削ってならべない

どんな歯並びの方でもマウスピースの矯正治療は可能です!!

が結論です。

患者様がマウスピースは希望なのに、ブラケットしか出来ないっていうのは治す技術がないからです。

マウスピースの治療は技術がかなり必要です。

抜歯例、口元を引っ込める、かなりのガタガタ歯並びをマウスピースで治療が出来るのはたぶんそんなに治療する歯科医院多くはありません。

なので、抜歯例や、お口元を引っ込める例でもマウスピースの対応が出来る所を探すといいと思います。

あと、抜歯例(患者様の希望がEラインや、口元を引っ込めたい)なのに、抜歯をせずに無理やり歯を削って隙間をとってマウスピースで治す、本当に悲しい状況になってしまいます。

歯の形もかなり不自然になりますし、並びだけ良くしても噛めない状況なら矯正治療ではないです。

必ず自分と同じような噛み合わせや歯並びの治療例を見せてもらうことが大切です。

本当にこれで悩んで来院される方がとっても多いです。

安いから、といってマウスピースの治療に飛びつくのも危険で、しっかりと話を聞かずに契約すると、マウスピースを渡されるときに枚数×何千円をとる所もあります。

発注するごとに何万、何十万の所もあります。

安いからと言って始めてしまうと、お口元が引っ込まない治療だったり、削られてしまい歯が凍みてきたりとあります。

どこでも同じなら安い方がイイ!!は間違いで、治療方法、治療のゴール、矯正治療の技術、今までの治療例の数も全く違います。

マウスピースの治療、ブラケットの治療、矯正治療は専門の医院で治療するのがおススメです。

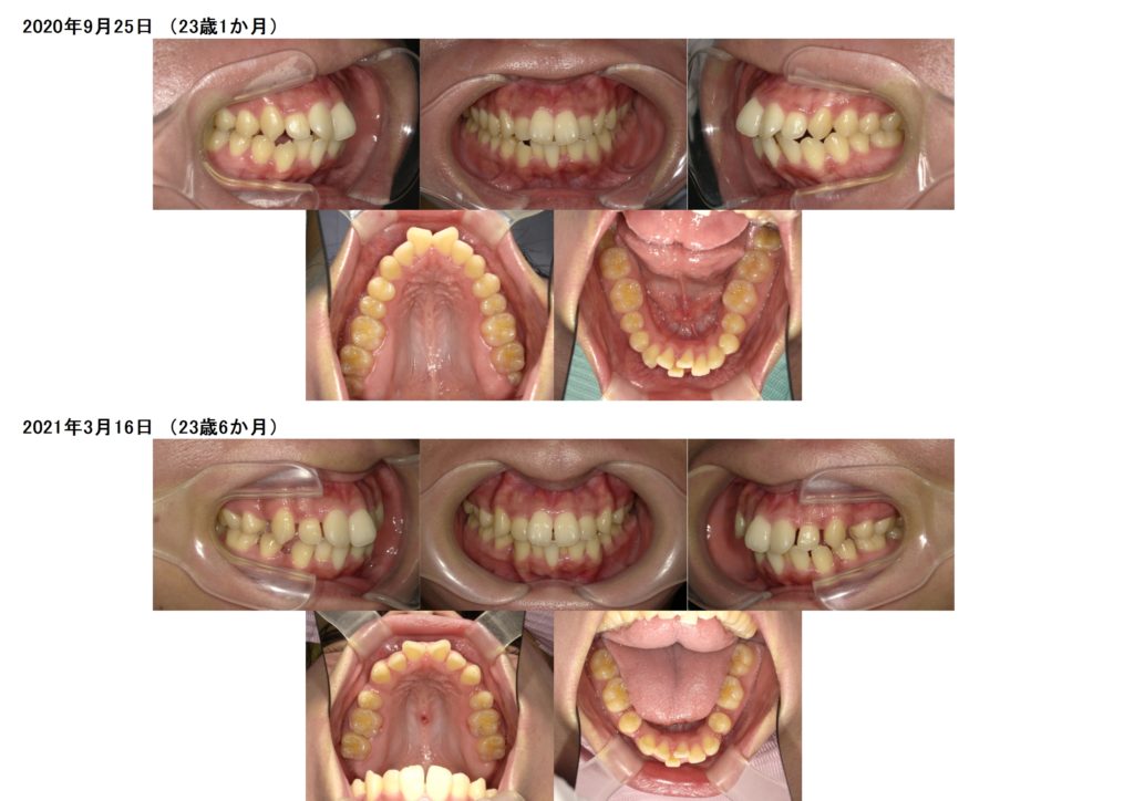
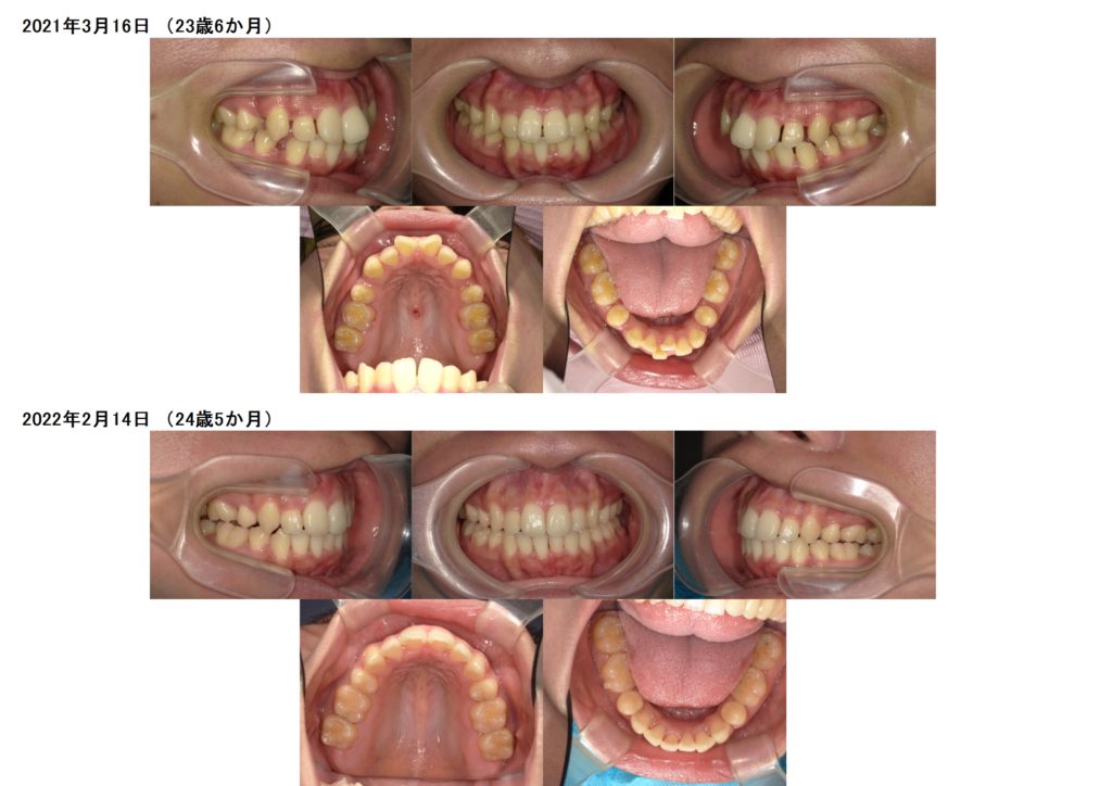
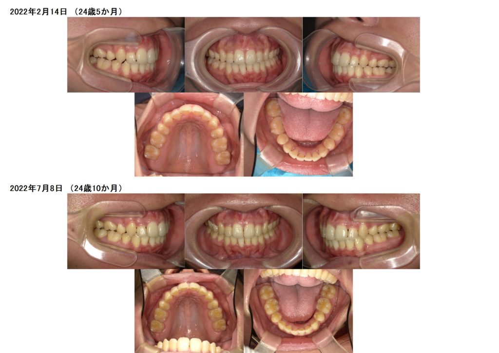
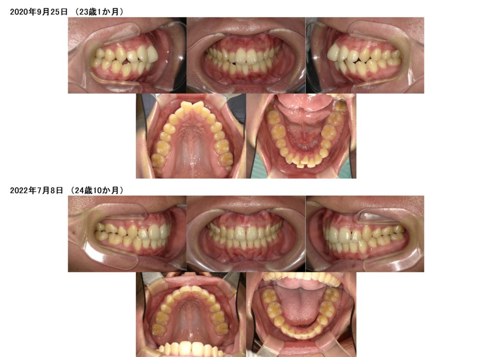
今回はマウスピースでの矯正治療をされた患者さまの治療例です。

上下4番目の歯を抜歯して治療をしました。

少しずつですが確実に前歯も引っ込み、ガタガタ歯並びも治っていますよね。

5カ月ぐらいで噛み合わせも安定しキッチリと並びました。

マウスピースの矯正治療の場合、患者様の協力がとっても必要になります。

当院の場合、1日22時間のマウスピースの使用をお願いしています。

朝昼晩の食事、歯磨き、間食等も含め2時間以内で今よりも急いで食べてマウスピースを忘れずに装着するというのがお約束です。

加速装置も使用し、マウスピースの交換日数を早めているため、装着時間がとっても大切なんです☆

時間を守り、ルール通りに使用している患者さまはは本当に早くキッチリと治ります。

しかし、時間通り使用できていない、ルール通り交換していない、自己流で適当に使用している、あと、

舌のトレーニングを行ってない方などはマウスピースがキッチリはまらなくなるため、何度も作り直しが必要になる場合があります。

必ずその通りにやれば治療は完了します。

当院のスタッフもマウスピースの矯正治療経験者です。

マウスピースのフィットが良くない患者様には使用時間を確認させていただいておりますが、その際は

使えていなかった、使用時間を守れていなかった、チューイーを使用せずにマウスピースを装着していた、、、、

など、本当のことをお伝えいただかないと、的確なアドバイスをする事ができません。

使えない時ももちろん誰でもあります!!その際、どのようにリカバーしていくかが大切です☆

使用していないのにマウスピースを進めてしますと、絶対にはまらなくなりますし、歯が倒れてきてしまうこともあります。

結局は治療期間が延びることにつながります。

治療経験者ですので一度相談してみてくださいね☆

治療前、治療後の口腔内写真です。

お口元も引っ込み、ガタガタ歯並びも治りました。

横顔もとっても変わりましたよ☆

今は、リテーナーを使用し保定期間中です。

その保定期間もとっても大切な期間になります。

リテーナーをしっかり使用しないと歯の乱れの原因となりますので、しっかり引き続き使用していきましょう☺