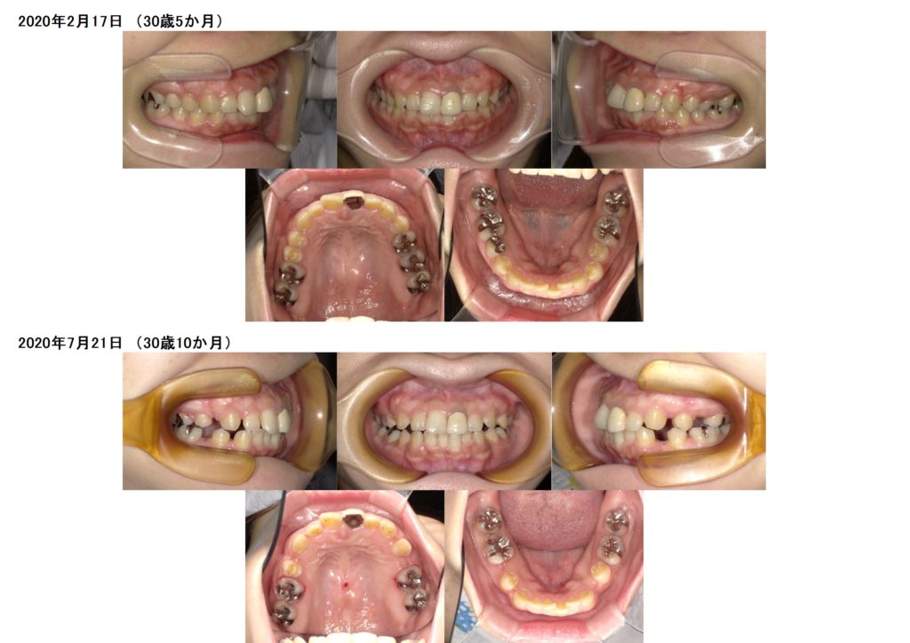
こんにちは。ひらざわ矯正歯科クリニックです☺
今回は、マウスピースでの治療例です。
上の歯に乳歯が残っているので、その乳歯の抜歯と、その他永久歯を3本抜歯しての治療になります。
(★もちろん患者様の噛み合わせの状態を考え、抜歯、非抜歯、抜く本数も異なります!)
大人の方で乳歯が残っている方いますよね。
その場合、永久歯が元々ない場合が多く(先天性欠如)、乳歯が抜けずにそのままになるケースがあります。
矯正治療をする場合、基本的に乳歯を残す選択をする事はないです。
なぜかというと、、、、
・乳歯を残したまま矯正治療したらその後乳歯が抜ける可能性がある
→抜けた場合どうするか?→その後の治療が再度必要になります。
・乳歯と永久歯の歯の大きさが異なるため噛み合わせの確立が難しい
などなど考慮をして乳歯を抜歯する、噛み合わせを考え永久歯の抜歯も必要になる場合もある。

土台を維持しつつ、抜歯したスペースを4か月間動かしました。
随分と歯が動いたのが分かりますよね☆
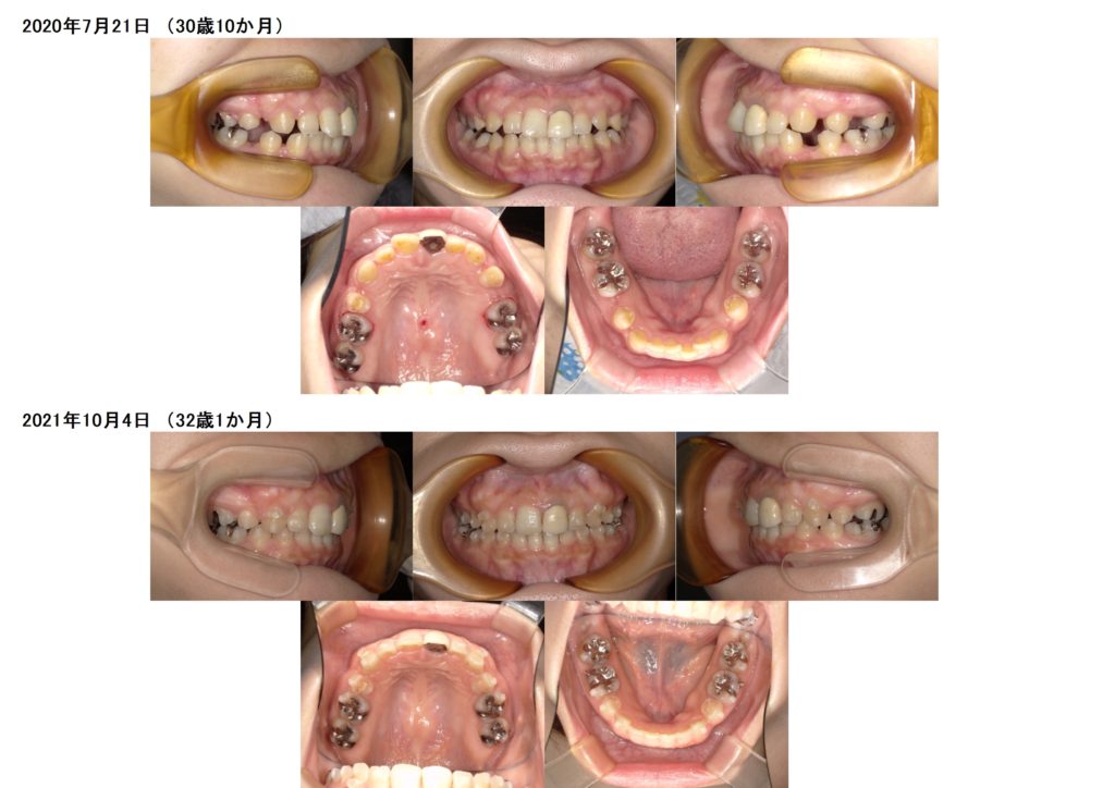
その後、マウスピースの治療に移ります。

抜歯した隙間も、前歯の位置も変化したのが分かると思います。
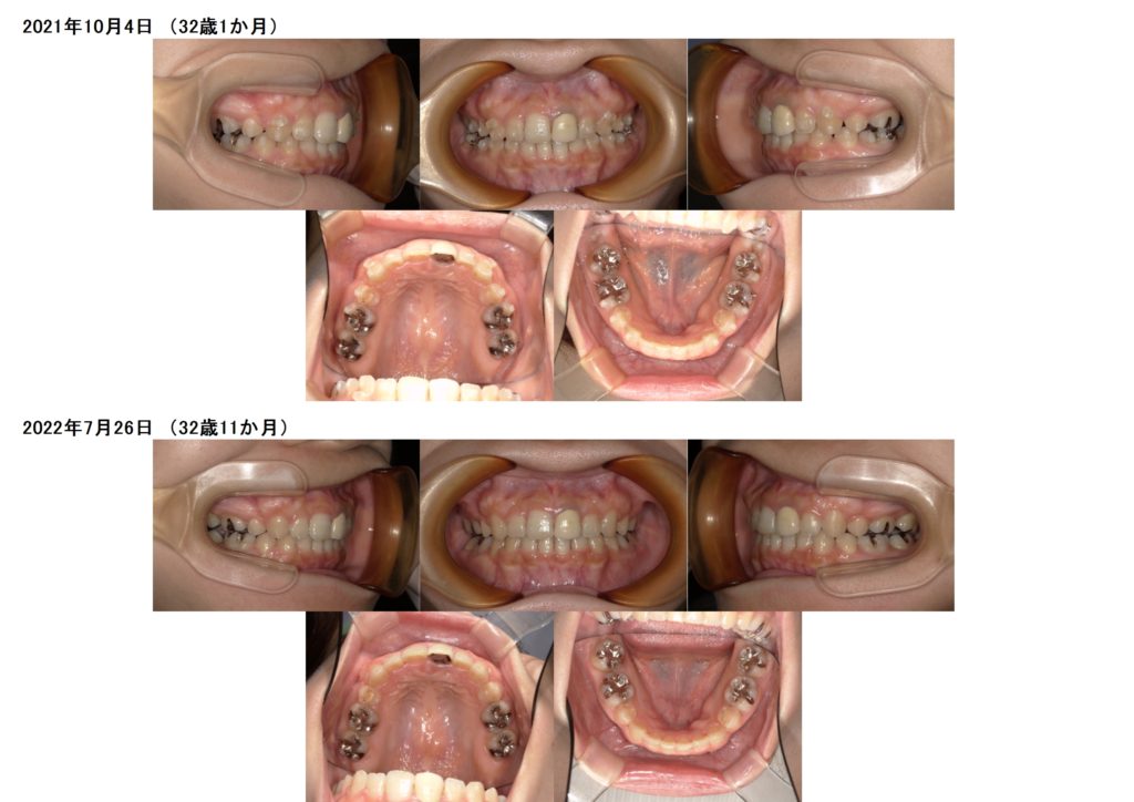
ここから微調整に入ります☺

微調整に入ると、少しずつの変化になりますが、見比べてみると全く違いますよね。
患者様にはとっても長く感じる期間かと思いますが、重要な期間でもあるのでしっかりと使用時間を守って
マウスピースを使っていただきたいです!!

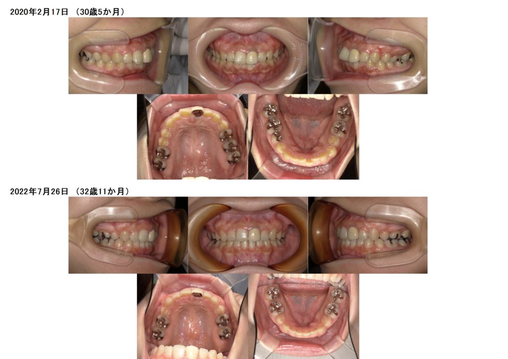
治療前、治療後の口腔内の写真になります。
お口元も随分と変わりましたよっ☆
生まれつき永久歯がない方(先天性欠如)や、乳歯が残っている方、永久歯が埋まっている方(埋伏歯)でも、ブラケットの治療、マウスピースの治療ももちろん可能です!!
一度ご相談ください☆