こんにちは。ひらざわ矯正歯科クリニックです☆
今日は、お子様の矯正治療(Ⅰ期)から永久歯のブラケット治療(Ⅱ期)治療を終えられた患者様の治療例の紹介をします。
6歳ごろから乳歯が抜け初め、永久歯が生えてきます。
身体の成長とともに顎の発達もしていきます。
4歳5歳ごろにかけ乳歯と乳歯の間に隙間が開き始めると、顎の成長もしている目安となりますが、骨格的に顎が狭い方や、隙間が開かないまま永久歯が生えてくると、前歯がガタガタに生えてきてしまいます。。。。
7歳から8歳ぐらいで前歯がガタガタしていると、一度かかりつけの歯医者さんで診て頂くといいと思います。
レントゲンを一枚撮影すると、永久歯がどのような状態でスタンバイしているかが分かります。
永久歯の生えるスペースがあるかどうか、永久歯がそろっているかどうか、、、など、早めに分かるとどのような治療法があるかもお伝え出来ます。

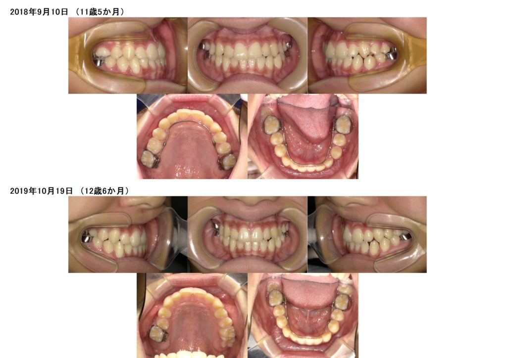
↑初診時の写真と、装置を入れ、永久歯の生えるスペースを確保した写真の比較になります☆
上の写真で分かる所は、上の2番目の歯が中に入っているのと、下の歯も1本完全に中に入っていますね。
このまま永久歯が全部生えるのを待っていると、将来キレイな歯並びにするのに歯を抜く可能性が出てきます。
まだお子様の成長期の間にその子の永久歯の生えるスペースを確保します。
精密検査で骨格を分析すると、永久歯の生える必要な数値や、どのようにアプローチをするべきかが分かります。
お子様の治療で重要なのは、数値がどのくらい必要かをしっかりと検査した状態で治療をしなければいけません。
一つの装置ですべてが治ることはありません。
しっかりと使用時間を守り装置を成長や数値によって定期的に変えて、コントロールする必要がります。

↑しっかりと装置を使用すると、永久歯の生えるスペースが上下とも確保できました。スペースが確保できれば、あとは永久歯を待つ期間になります☆
奥歯が生えてくるときに歯を押しながら生えてくるので、アーチが崩れないように簡単な固定式の装置を入れておく必要があります。

7番目の歯(12歳臼歯)が生え始めたらⅡ期のフルブラケット装置に移行します。
※中には受け口の方など成長がぐんぐんまだしている方は少し成長を見ながら開始する場合があります。

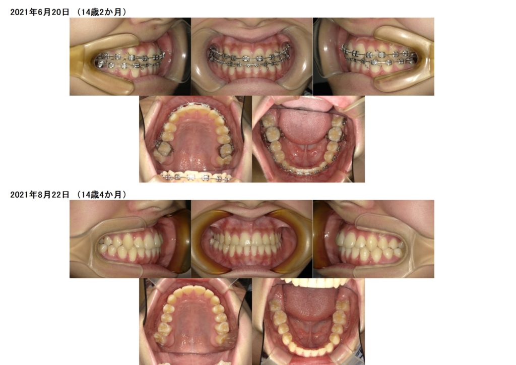
↑上下ブラケット装置をつけました☺
噛み合わせや、歯並びを少しずつ調整していきます。
☆お子様から開始するメリットは
・抜歯する可能性が低くくなり
・ブラケットをする期間が短くてすむ
など、がありますよ☆

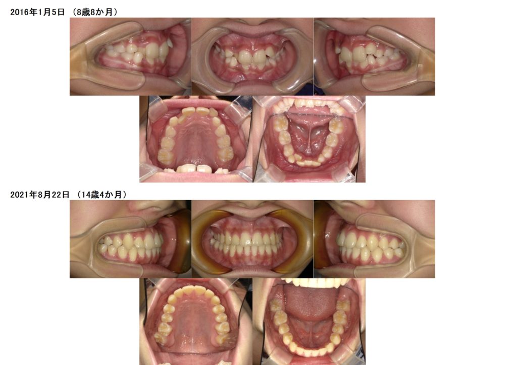
こんな感じでキレイな歯並び、噛み合わせになりました。
お子様の矯正治療の場合、
取り外し式の装置や、歯の裏側に入る装置などを使用し成長をコントロールしながら永久歯の生えるスペースの確保や噛み合わせの改善を行っていきます。
ガタガタ歯並び場合は6歳~7歳ぐらいで一枚レントゲンを撮影し永久歯がどのような状態でスタンバイしているのかを確認するのが大切です☆
受け口の場合、3歳から使うことのできる取り外し式の装置があります。
通常、様子見、、、、で、検診で過ぎていくことが多いので注意ですが、遺伝的要素がある方や、検診で受け口と言われた子は早めに矯正歯科でカウンセリングを受けることをおススメします🙋

このように早めに治療を開始すると、将来抜歯せずにキレイな歯並びになります☺