こんにちは。ひらざわ矯正歯科クリニックです。
東京オリンピック2020で女子400メートル個人メドレーで金メダルを取った 大橋悠依選手もフルブラケットで矯正治療していますね☆
今回は、前回に続きエンパワー社のセルフライゲーションシステムのブラケットを利用した上下抜歯例のご紹介です。
当院はマウスピース矯正の患者様が年々増えており、年代によってはほぼマウスピースの治療を希望されます。
が、全ての方にマウスピース治療が「良い!!」というわけではないです。
噛み合わせや、歯並び、抜歯をする治療でマウスピースが出来ないということはありません!!
カウンセリングをしていて、一番お伝えすることはマウスピースがしっかりとるルール通りに使うことができるかどうかをお伝えします。
適当な使用方法では治療を終えることが出来ませんし、歯は思ったようには動きません。しっかりとマウスピースを使用して頂くことが条件になります。
しっかりとルール通りに使うことが出来れば、本当に早く、キレイに治ることができます☆
まず、10代前半の方は私はブラケット治療の方が楽かなっと思います。
あとは、ブラケット装置が見えることに特にこだわりがない方にもマウスピースはおススメしません☆
・絶対に装置は見えたくない!
・マウスピースで矯正治療をしたい!
方は毎日のマウスピースの使用はできると思うのでおススメします☆
あとは、今のコロナ禍でマスクをしているので、以前よりブラケットでもいいかな~という方は実は多いです
今がチャンス☆ですよね。
マスク生活の間、お口元が隠せる間に矯正治療を済ませたい!という方多いです☆

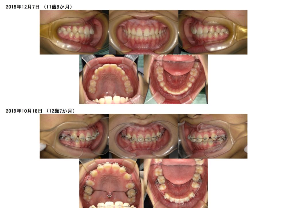
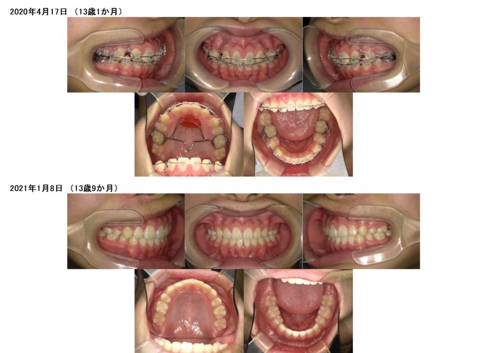
↑この患者様は上下の歯を2本ずつ抜歯しています。
上の顎にアンカースクリューを使用し、抜歯した際に6番目の歯が寄ってこないためにしています。
このように土台を整えつつ、ブラケットを使用し調整をしていきます。

奥歯の噛み合わせを確立したら、あとは前歯部の噛み合わせを合わせ引っ込めていきますよ

隙間が埋まったら治療が終わりです☆

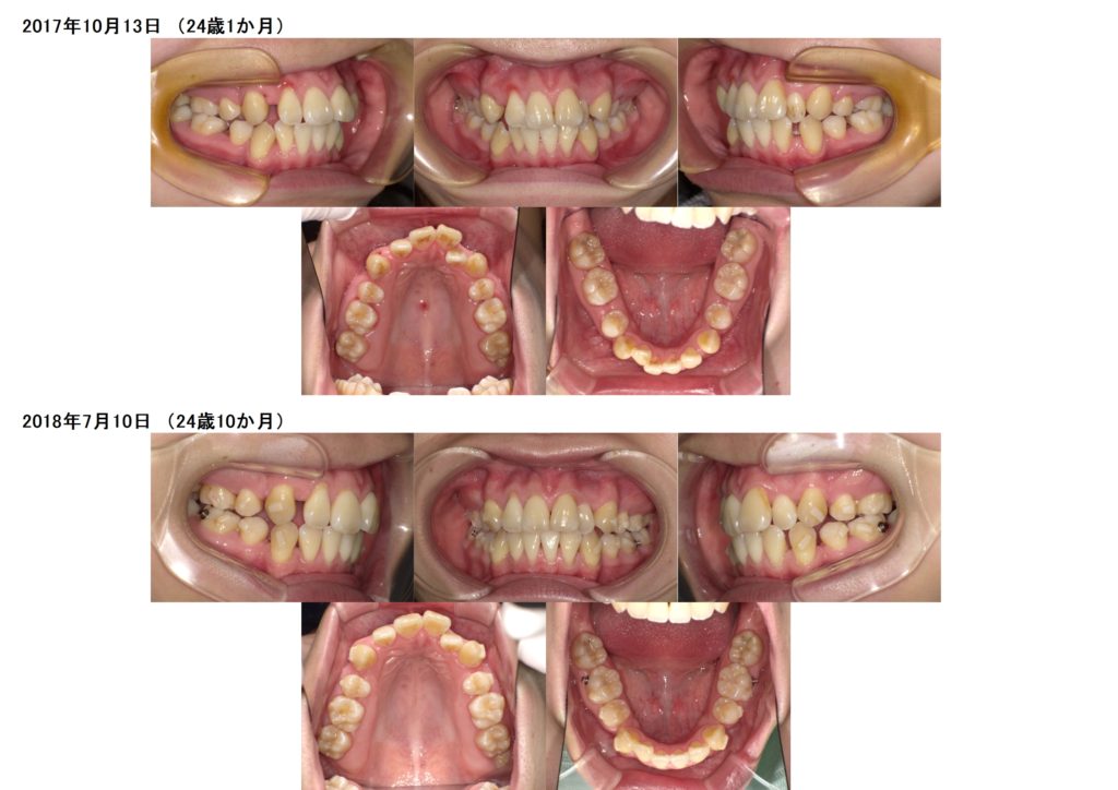
↑治療前、治療後の口腔内写真の比較です。
上下の顎のアーチを整えながら、抜歯した隙間を利用し噛み合わせの深さや突出している部分も改善しているのが分かると思います。
約2年間のブラケット治療になりますが、お口の中もとても変化します。突出している方だと横顔のラインも変わりますので、
「歯を抜かない」のがいい治療ではなく、しっかりと分析をし噛み合わせ、歯並びはもちろんのこと、横顔のラインなどもしっかりと考慮していく必要があります。
歯を並べただけ、の治療をしても、
「口が閉じづらい」
「横顔が出てる」
では、トータル的に美しいとは言えません。
患者様の骨格に合わせて歯の位置を決めます。
ただ、中には分析結果では抜く必要がなくても、抜きたい!という方もいらっしゃいます。
その部分はあくまでも矯正治療なので、数値的にバランスが崩れてしまう理由もあり、やみくもにどなたでも抜くという治療を提供していません。
矯正治療は「噛み合わせ」を治す治療であり、噛み合わせを治すことによって、歯並びもキレイに並びますし、横顔もしっかりと分析をして治療をすれば美しいE ラインが出来ます。
「歯並び」だけ治してもすべてが整う訳でもありませんので、その部分をしっかりと見極めていく必要があります。
ブラケット、2年間か、、、、と思うかもしれませんが、キレイな歯並びになるには少しだけ時間がかかります。。。。。☆
でも、長~い人生の中のたった2年間です。
今、始めれば2年3年後にはきれいな歯並びが手に入ります☆
歯並びや横顔のラインが気になる方は一度カウンセリングに来てみてくださいね。お待ちしております。