梅雨入りしましたね☔毎日じめじめどんよりとした天気に憂鬱になりがちですが、美味しい物をいつもよりたくさん食べたり楽しい事を見つけたりして乗り越えましょうね!!🐸
さて、皆さんは急に歯がグラグラし始めたらどう感じますか?歯がグラグラしても子どもの頃は新しい歯が生えてくるんだ!と怖い気持ちはそれほどなかったですが、大人になってからの歯のグラグラは恐怖しか感じませんよね。歯が抜けてしまったらどうしよう、なにかの病気になってしまった?と不安が大きくなるばかりかと思います。
『矯正治療を始めたら歯がグラグラしてきた』『歯が抜けてしまうのではないかと心配』とご相談頂くことがあります。ですが、このグラグラは矯正治療を始められたすべての患者様に起こることで問題はありません^^どういった仕組みでこの動揺が起こるのか、今日は歯の動揺についてご紹介していきます👩🏼⚕️
動揺の仕組み
歯は歯茎に直接くっついているわけではなく、歯根膜という薄い膜があり歯茎に繋がっています。その膜に歯が歯茎からぶら下がっている状態になっているため、正常でも0.2mmは動くようになっているのです。【生理的動揺】といいます。
歯を動かそうと矯正の力が加わると、この歯根膜が一時的に拡張し新しい歯茎を作る準備を始め、骨や歯茎が形を変え動いていきます。その新しい場所に歯の根っこが移動することで、歯を動かすことができるのです。
動揺を感じやすいのは…
特にインビザライン治療において、歯の動揺は多くみられます。その理由はとても簡単です。ワイヤー治療と違いマウスピースを外せば歯を支えるものは何もない状態になるから。
患者様の中には「マウスピースを外すと歯のぐらぐらが怖いので、装着している方が安心します」と仰られる方もみえます、😌
ワイヤー治療だと大丈夫かと言われるとそうではなく、ワイヤーで歯が支えられているだけなので装置を外した後、安定するまでは動揺がみられることがあります。装置を外してから安定するまでは、だいたい半年から1年ほどかかるといわれています😮ずっとグラグラではなく、必ず安定はしていくのでご安心ください🐣
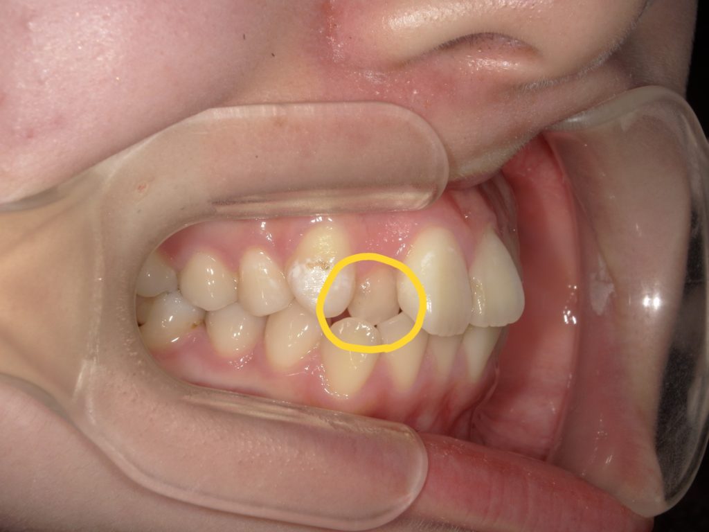
この歯並びは注意
クロスバイトは要注意!

クロスバイトとは上下の歯の場所が逆になっている噛み合わせの事をいいます。写真のような歯は前に出してくる際に一時的に強く力が加わる為、他の歯よりもかなり強く揺れます。もちろん正常な噛み合わせになれば揺れも収まりますが、歯が前に出てくるまでの間は少し怖いかもしれません🥲
ただ、歯は膜と繋がっているので抜けることはありません。
また、長期にわたり同じ歯に力がかかり続けると歯茎や歯根、周りの骨にもダメージが出始め歯茎が下がってしまったり歯根吸収が起こったりする可能性が高まります。
動揺が強いのは治療開始の半年ほどがピークです。その後は歯根膜の拡張が収まっていくと生理的動揺へと落ちついていきます。☝🏼🦷