こんにちは。ひらざわ矯正歯科クリニックでです☺
引き続き、舌の位置、使い方についてです。
食事を食べる時に「クチャクチャ」音を立てて食べる人を「クチャラー」さんと言うらしいです。
それは癖だから、、、、
治したくても治せない、、、、
本人に自覚がないから難しそう、、、、
など、治したくてもどうしていいのか分からない!
そうですよね。
今まで特に自分では気にしてなかったけど、周りの人に言われて初めて気が付いた方もいると思います。
☆習慣化してる
赤ちゃんの時からの習癖もあります。
通常ではお口を閉じたままも食べ物を嚙み砕き飲み込むので音はあまりお口の外には漏れません。
でも、口が開いたまま物を噛んだりすると唾液を混ぜる時に「クチャクチャ」と音が周りに聞こえてしまいます。
☆歯並びや噛み合わせが影響
舌の位置が不安定な方や、口を閉じたくても閉じ辛い方などどうしても口を開いて食べることになりますよね。
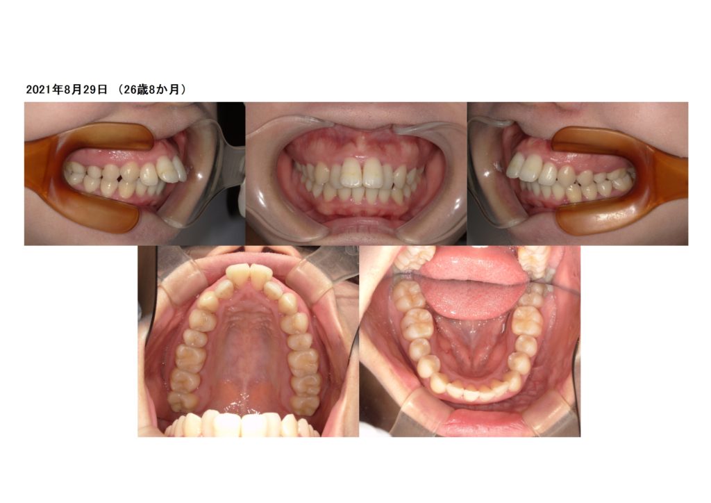
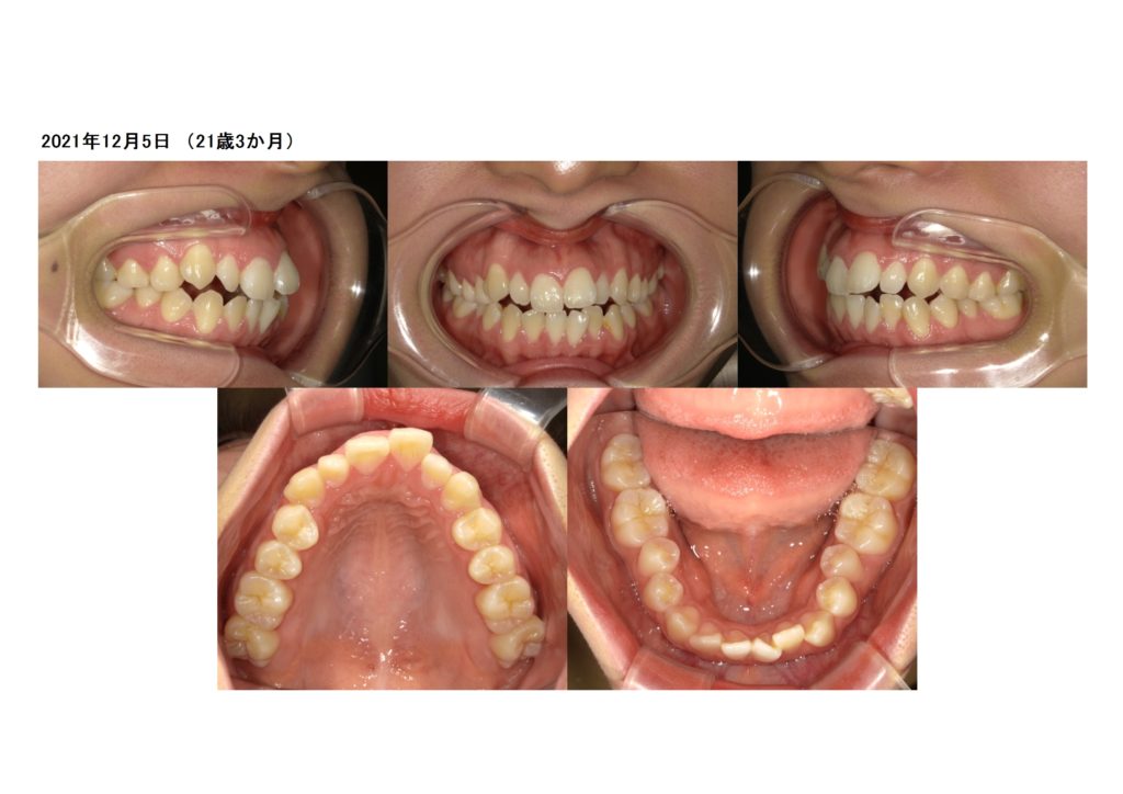
・上顎前突(出っ歯さん)

・反対咬合(受け口さん)
・開咬

のかたはその傾向があると思います。
舌を上下の歯の間を押す方、唇を吸う方、指しゃぶり、指を噛む方、お話しする時に歯を押す方、お話しする時に上下の歯を押す方は強い舌の癖があると思います。
舌の癖が歯並び、噛み合わせに影響することも多くあります。
また、噛み合わせの影響によって鼻呼吸がしづらく、口で呼吸をするようになってしまい、より出っ歯さん傾向になるケースもあります。
舌の癖も今まで自分では自覚していなかったけど、「舌の位置」の指摘により、
「え~!!初めて言われました」
舌の使い方をお伝えすると、「飲み込むときも辛い」「全然できない」とみなさん言われますが、毎日しっかりとトレーニングすることにより改善していきます。
急に治すことは難しいですが、本当に日々の積み重ねで良くなります。
「やらない人は変わりません。。。。。」
「舌の位置」「舌の使い方」を正常値に戻すことで発音障害が改善したり、クチャラーさんが良くなったり、噛み合わせや歯並びも改善したりと「舌の癖」はとっても力が大きいんです。
しっかりと意識していただくと必ず良くなります☆