こんにちは。ひらざわ矯正歯科クリニックです☺
今回も同じく、マウスピース矯正、アライナー矯正の上下抜歯の治療例のご紹介です。
出っ歯の方や、横顔のラインを整えた方、ガタガタ歯並びの叢生の方、八重歯の方、受け口の方、開咬の噛み合わせの方など、
矯正治療をご希望される方はだいたい当てはまると思います。
もちろん歯を抜かずに歯並びがキレイになればイイ✨ですよね。
ただ、永久歯がすべて生え変わっている方はスペースが足りなかったり、移動距離の関係でどうしても抜歯をしなくてはならない方もいます。
しっかりとした精密検査をして抜歯が必要か、その場合、どのような変化があるかもお伝えしますので、より想像しやすく分かりやすいと思います☆
抜歯治療をマウスピースやアライナーで出来ないってことはありません!!
抜歯治療をアライナー、マウスピースで治療できる歯科医院は少ない、限られていると思います。
前歯の部分的に簡単に治す程度しかマウスピースやアライナーでしか出来ない、ってことはありません。
治療費を比べると、安い、マウスピースやアライナーの枚数がとても少ない場合は部分的にしか治療が出来ないマウスピースの治療設定になりますので、噛み合わせを治療したり、引っ込めたりする治療は出来ないので、しっかりとお話を聞く必要があると思います。
当院でも部分的にアライナーやマウスピースで治療を終了された方がカウンセリングに来院されることもあります。
歯並びはまあまあキレイになったけれど、全く前歯で噛めないです、、、、。
とか、
めちゃくちゃ歯を削ってしまい歯の形が変わってしまっている方、、、、。
などなど。
安くて手軽に、と始めたアライナーやマウスピースの治療がかえって噛み合わせを悪くしてしまうケースもありますので、しっかりとカウンセリング時に確認する必要があります☆
スペースを取ろうとして歯を削ることはありますが、しっかりと精密検査をして土台をしっかりと整えれば歯を削ることはありません。
矯正治療は噛み合わせを治す治療です。
見た目だけ、の治療ではありません。
しっかりとカウンセリングで確認することが大切です☆

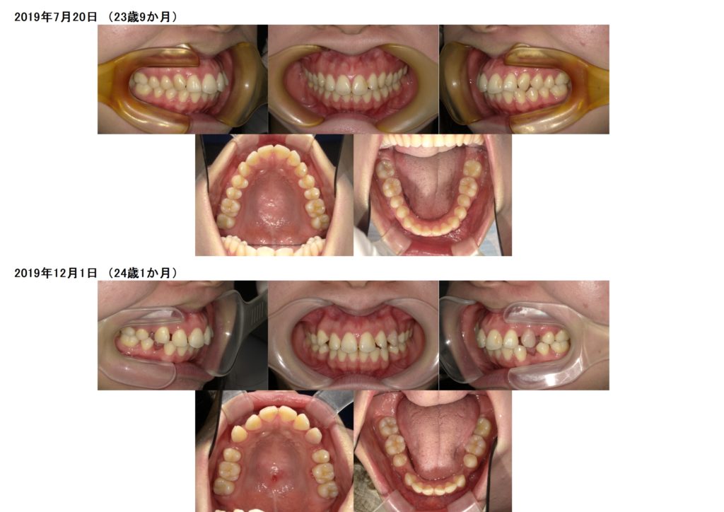
お口元が気になると来院された患者様です。
歯並び、噛み合わせは大きなズレはありませんが、上下の突出が気になる所です☺
↑上下の歯を抜きました。

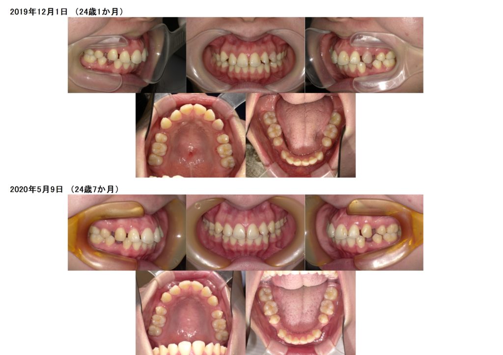
奥歯の噛み合わせを治しつつ、少しずつですが歯が移動しているのが分かると思います。
上下の土台の変化もわかりますね☆

残っていた隙間もすべて閉じ、お口元が出ていたのも引っ込んでいるのが分かると思います。
あとは少し微調整します。

全体的にキュッと引き締まった感じがしますね☺
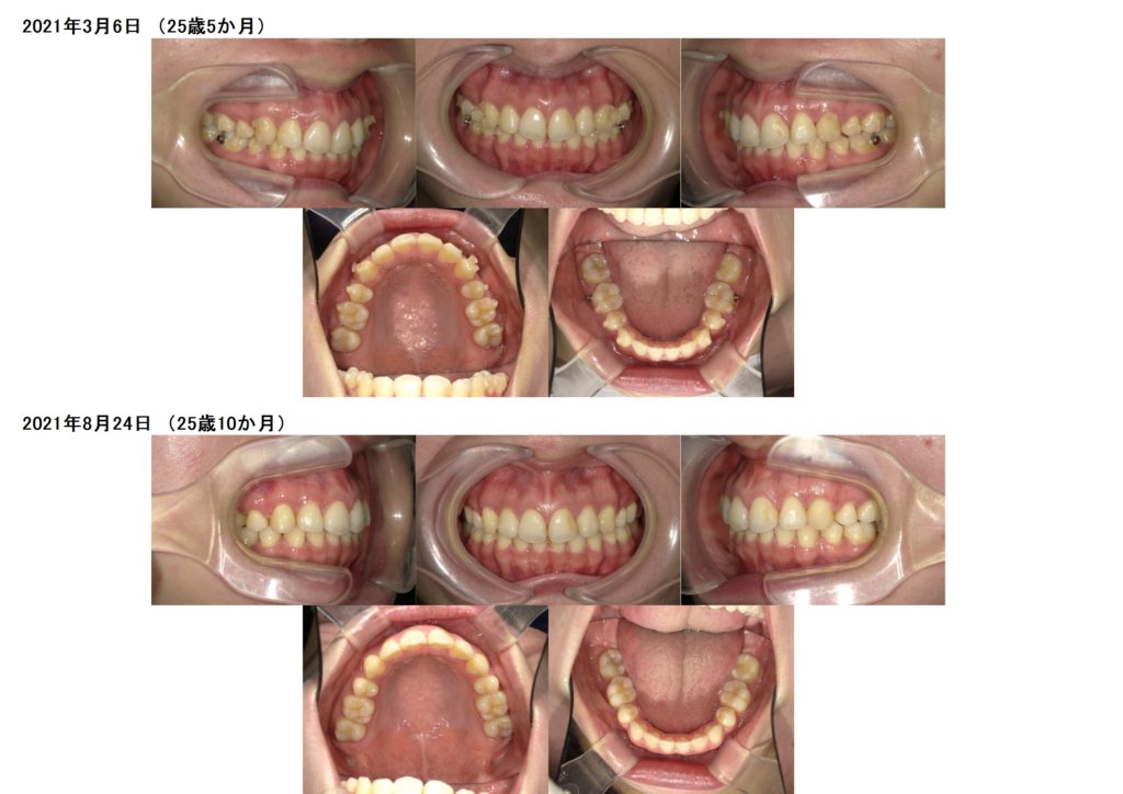
前歯の噛み合わせも変化しているのが写真を見比べてみると。。。。。

↑治療前、治療後の口腔内写真です。
お口元がとっても変化しているのが分かりますよね☆
上の口腔内写真が上あごのアーチの形が三角形の形をしていますよね。
これが、顎が狭く、お口元が突出している方の特徴です☆
このアーチを整えなければ、歯を抜いてスペースを確保してもとてもお口元が小さく、しぼんだ感じになってしまいます。
よく、矯正をすると貧相に見えるようになるの?
という質問はコレが原因です。
抜歯をしなくてもいい人を抜歯してしまったり、アーチをしっかりと整えずに抜歯してしまうとお口元がお顔に対してとても小さくなってしまいます。
今は韓国のアイドルや女優さんはそんな流行りはあるかもしれませんが、やはり、骨格に対しての基準値が一番美しい数値です☺
このアーチは精密検査をすれば、患者様の適切な数値が出ます。
初めからマウスピースやアライナーからスタートできる方もいますが、 狭い方はしっかりと広げる必要があるので始めに拡大装置をお口の中に入れる方もいるので、またお伝えしますね☆
患者様のよって装置が色々ですが、一番長く使用するのが、マウスピース、アライナーになります。
しっかりとルールを守り、使用時間を守り治療をすると、とっても早くキレイに治ります☆
アライナー、マウスピースで治療をしたい方、どんな歯並びの方でも治療は可能ですので、一度無料カウンセリングにお越しくださいね☆
詳しくご説明します!!