こんにちは。ひらざわ矯正歯科クリニックです。
今回は、フルブラケット治療のご紹介です。
当院は現在、エンパワー社のセルフライゲーションシステムのフルブラケットを使用しています。
開業当初から色々なブラケットを使用していますが、現在はフルブラケット治療をご希望の患者様にはこちらのブラケットを使用しています。
その特徴としては
・歯の動きがとてもいい
・痛みが少ない
・ワイヤーとブラケットを結紮線やモジュールで止める必要がない
が主な理由です。
やはり治療期間がとても短くて早く終わる!!
患者様にとっても負担が少ないのが特徴です☆

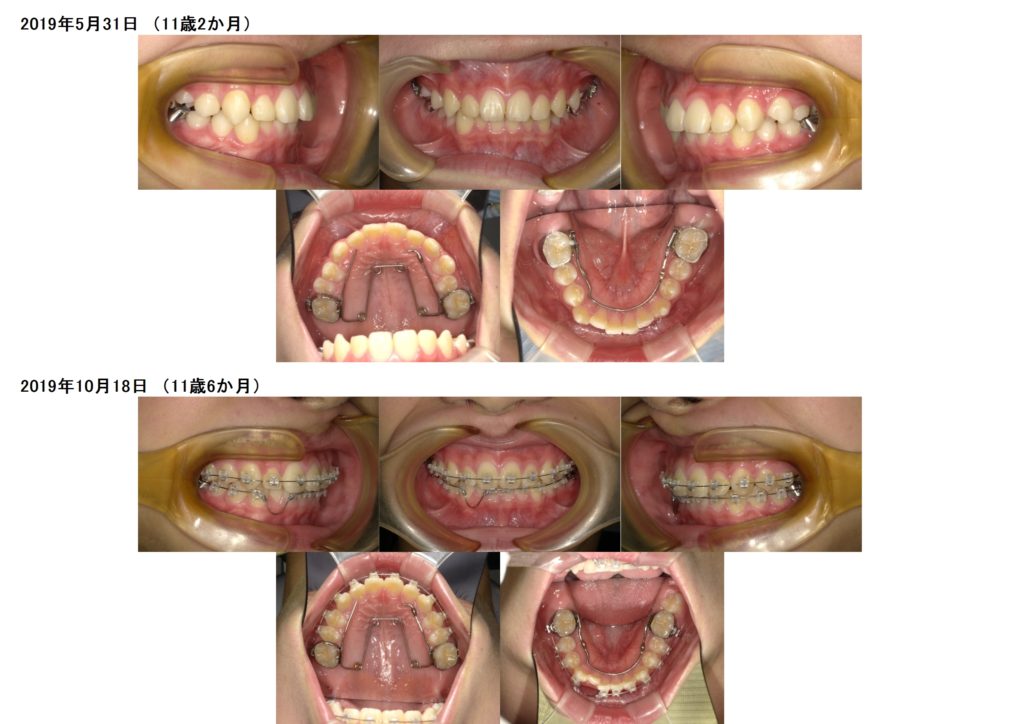
↑10歳8か月で来院された患者様ですが、ほぼ永久歯が生えそろっている状態です。
上下のスペースが不足しているので、残された成長を利用して上下の顎を広げる装置を入れ広げた状態です。

↑その後、スペースが確保でき上下フルブラケット装置を着けました。

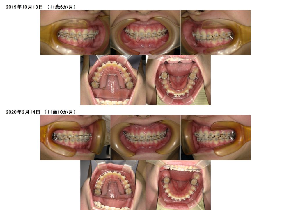
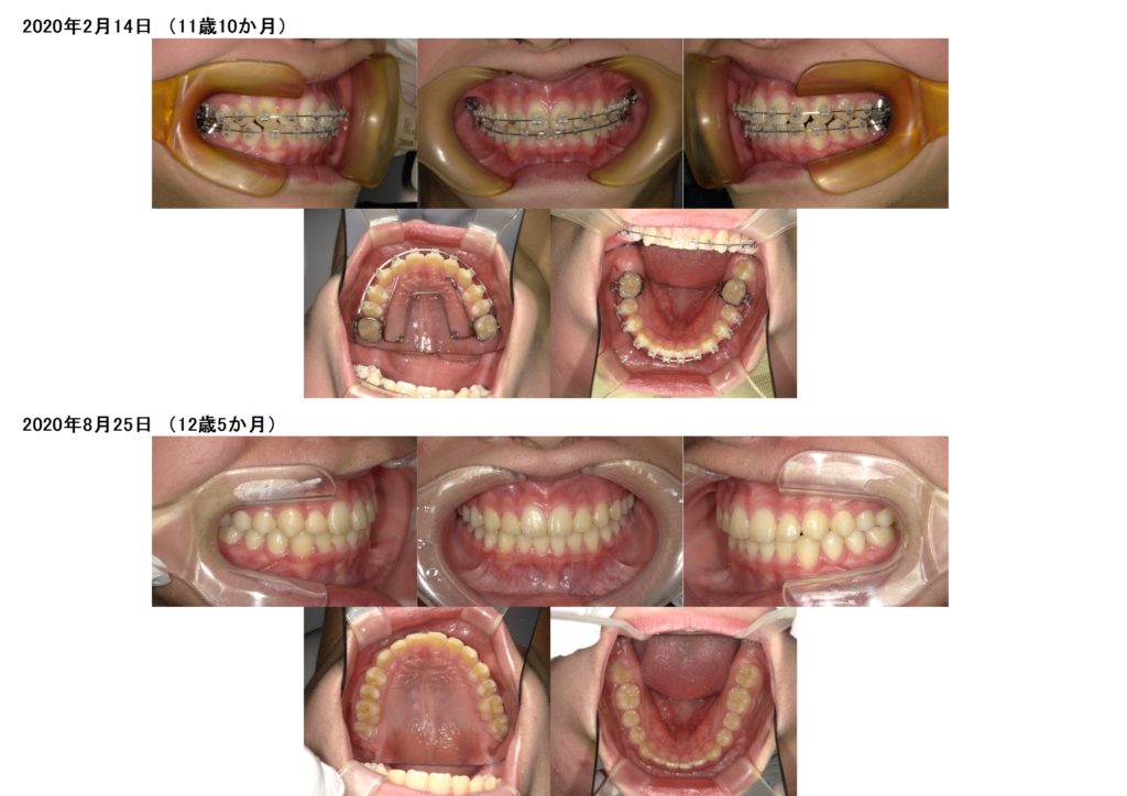
↑調整を繰り返し、、、、

↑ジャ~ン!!外れました!!

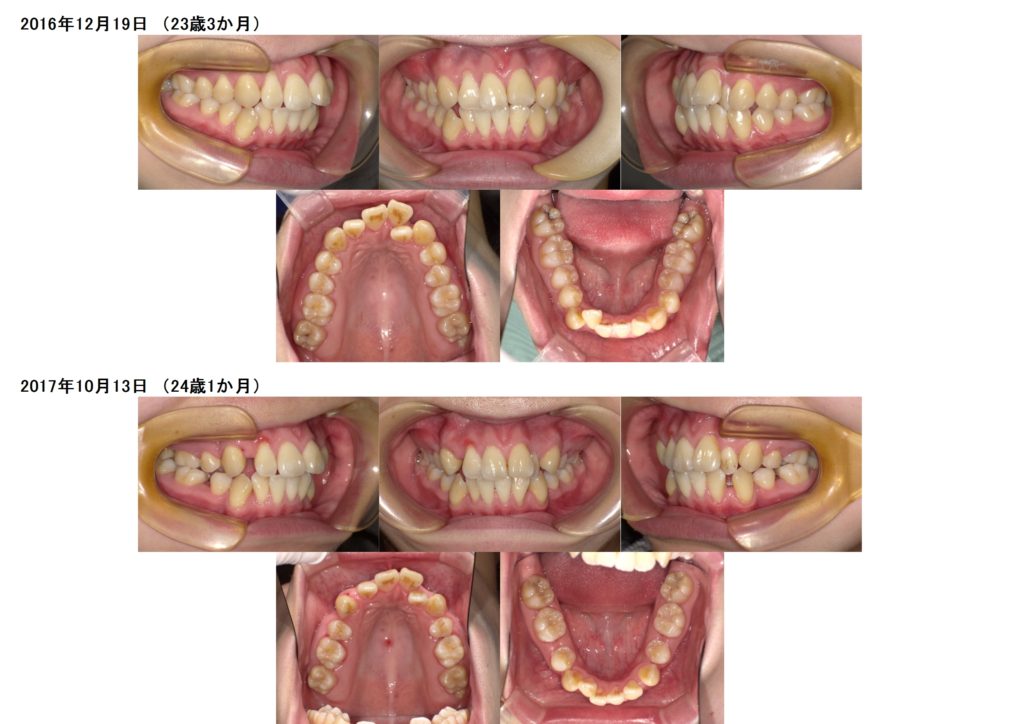
↑治療前、治療後の写真です。
2年かからず、上下の顎を広げ、フルブラケットで治療が終わりました☆
インビザラインの患者様はとても多いですが、小学生、中学生の患者さまには、当院はブラケットをおススメしています。
もちろん、「見えたくない!!」と言って、マウスピースを使用している患者様もいらっしゃいますが、
メリット、デメリットがそれぞれの装置にはあります☆
小さなお子様には、マウスピースを一日しっかりと22時間使用するのが難しいケースがあります。
食事をする時に外す必要があるので、どうしても食べる回数が大人の方に比べ多いので、しっかりと時間が守れるかどうかが治療の成功につながります。
ブラケット。。。。と思われるかもしれませんが、思ったよりも早く終わりますし、思っていたよりも目立たな~いっというお声もありますよ☆
患者様によって、ブラケット、マウスピースのアドバイスはさせていただきますので、カウンセリングの時に詳しく装置のご説明はさせていただきますね☆