マウスピース矯正、アライナー矯正の治療をされている方は、一日に何度もマウスピースを着けたり、外したりしますよね☆
朝、昼、晩の食事、おやつや、歯磨きの際、だいたい5回ぐらいは外しますよね。。。。
当院では。1日に外すの「3回」のスタッフさんいます!!
着けたり、外したりするのが面倒だったりしますもんね。
着ける時間がとっても重要なので、外す回数を極力減らして頂きたいです☆

外した時は、必ずケースに入れること☆
忘れずにしてくださいね☺
マウスピースをどこかに置いて忘れてきてしまったり、間違えて捨ててしまったり、、、。
マウスピース矯正治療中あるあるです☺
ケースに必ず入れてバッグに入れたり、目に入る位置に置いたりと、食べたらすぐ着ける!!を心がけてしっかりとマウスピースを進めていきましょう。
マウスピースの着脱は、慣れてくると本当に素早くできるようになります。
コツがありますので、マウスピースの治療が始まった際にはお伝えしますが、勢いよく力任せで外してしまうと、アタッチメントが取れてしまったりするので、1歯ずつ、マウスピースを浮かしながら取るのがコツです。
アタッチメントがもし外れてしまったら、なるべく早くアタッチメントを着けに来ていただきたいです。

マウスピースを交換したばかりだと、外すのも痛いですよね、、、、。
2、3日すると、外すのも楽ちんになりますが、一日目はやっぱり「痛~い!!」「いたたた。。。。。」ってなるかもしれません。
歯をしっかり動かしていて、外す時に力が加わってしまうので、余計押されちゃいますよね。
↓ ↓ ↓
マウスピースの着け方、外し方のyoutubeを作成したので、見てください☆
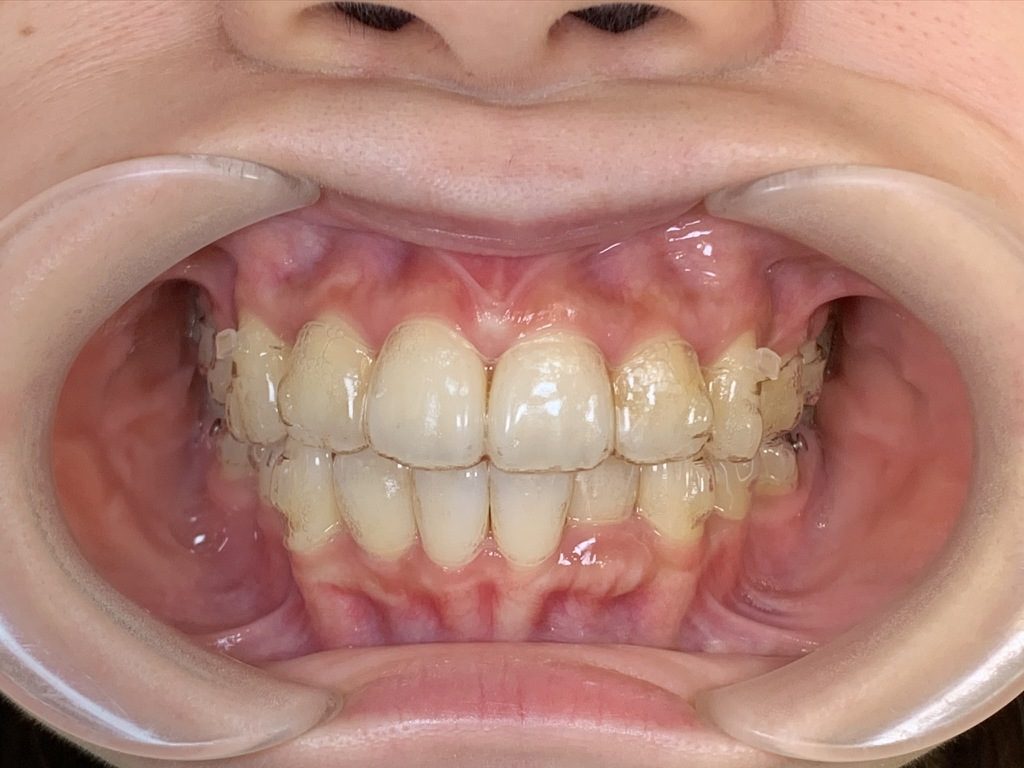
マウスピースを着ける時は必ず「チューイー」を使用するのがお約束です!!
ついつい面倒で、歯で噛みこんでマウスピースを付けてしまうと、マウスピースが変形してしまうので、歯がシュミレーション通りに動きません。
しっかりと時間通りマウスピースを使用し、治療を進めていきましょう☺