今回はインビザラインの抜歯(歯を抜く)の治療例の治療のご紹介です☆
「こんな歯並びでもインビザラインで治療は可能ですか?」
「他のカウンセリングを受けたらインビザラインは出来ないって言われました。」
「あなたの様な歯並びはブラケットもしくは裏側のブラケットが合ってる」
このような方が本当に多いです。
↑他院でカウンセリングを受けた際、インビザラインで治療をする場合、抜歯、ガタガタ歯並び、出っ歯の方はインビザラインは向かないので、ブラケット治療を進められることが多いそうです。
見えないマウスピース治療が希望なのに、なんでブラケットしか出来ないの??
ってあきらめてはいけません。インビザライン治療出来ます!!
当院ではどんな歯並びの方もインビザライン(マウスピース)での治療が可能なので、一度ご相談くださいね☆
どのように治療するか??
もちろん最初からマウスピースで治療できる方もいます。
でも、噛み合わせ、歯並び、横顔すべての治療をしようと思うと、全ての患者様が当てはまりません。
患者様によって、色々な装置(なるべく見えない装置)を使いながらインビザラインでの治療を行っています。←一番治療期間が長いのはインビザライン(マウスピース)です。
治療開始から約5~6か月ぐらいは土台を整える装置(固定もしくは取り外し式)を使用します。

↑まず、土台を整える装置を使用し、その方に適した土台を整えなおします。
精密検査を行い、骨格を分析します。この分析がしっかりできないと抜歯しなくてもいい方も抜歯してしまう治療計画になってしまいます。当院は全国平均よりも抜歯率は低いです。これはこの分析を細かく分類する結果です。
しかし、成人の矯正治療はどうしても出っ歯や、横顔のライン、突出を引っ込めたい、ガタガタ歯並び、八重歯など、スペースが必要になる方が多いので、抜歯をしなくてはいけない方はどうしてもいます。
抜歯治療がダメなわけでもなく、非抜歯がイイ治療でもありません。
しっかりと分析を行った結果なので、抜歯しなくてもいけない人を無理やり非抜歯治療を行っても治療として成り立ちません。
もちろん健康な歯を抜くので抵抗があると思いますが、抜歯をしなければいけない理由もありますので、診断時にまた説明しますね。
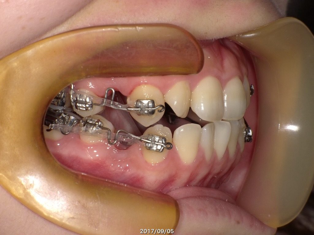
抜歯をする方は一時的に側面にブラケットを装着します。↓

↑なぜこのようにするかというと、、、、
とっても難しい話になってしまうので簡単に説明すると
・抜歯をしたスペースを早く埋めるため
抜歯したスペースを早く埋めないと骨の吸収が始まってしまうので、吸収を防ぐために行います。もちろんインビザラインでも抜歯した隙間を埋めることが出来ますが、マウスピースの使用時間が短かったりすると、思うように埋まらなく、歯の移動がしづらくなってしまいます。そのため、しっかりと力を加えて短期間で抜歯した間を埋めるためにこのような方法を当院では行っています☺
・フィットするマウスピースを作成するため
土台を整えるために固定式や取り外し式の装置をはじめに装着する方もいます。患者様によって診断結果や治療方針が異なるため、患者様皆様が同じ理由ではありませんが、歯と歯の間に隙間を開けるためや、噛み合わせを開放させる理由もあります。歯と歯が重なり合っていたりすると、完全にフィットするマウスピースの作成がとても難しく、「浮き」の原因になってしまいます。
患者様がスムーズにマウスピースを使用して頂くためにできる限りのことをして、マウスピースの治療に移行していただきます。もちろん、枚数を減らす目的もあります。
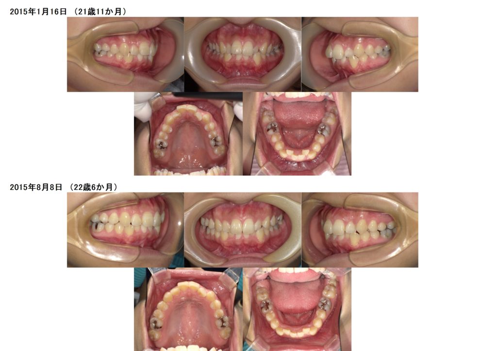
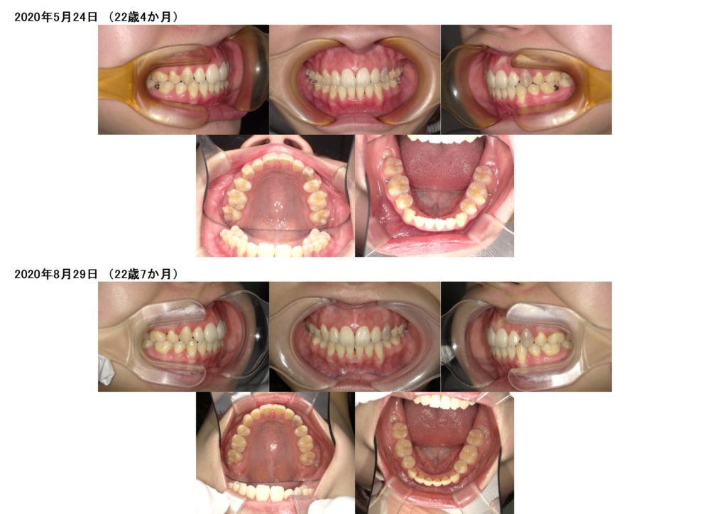
抜歯の治療例の写真

↑上下4番目の歯を左右抜歯し、約半年間側面にブラケットを装着しました。

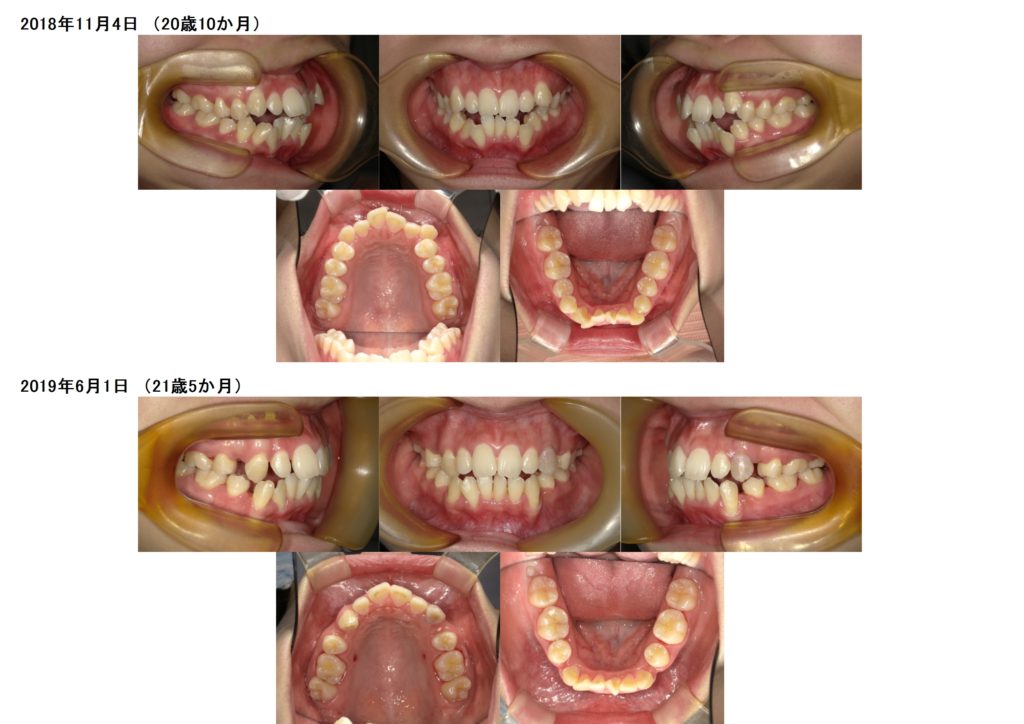
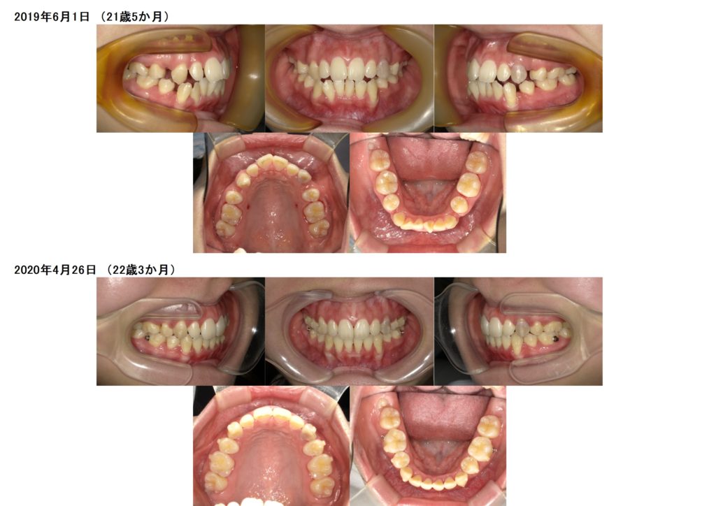
↑抜歯、突出ケースでもしっかりとマウスピースを使うとこんなに早く変化が分かります。ここから再度噛み合わせの微調整に入るためのマウスピースを作成します。

↑ほんの細かいことですが、しっかりとゴールを迎えるために何度もポイントポイントでマウスピースの発注を行い、ゴールへと向かいます。
とてもよくある相談ですが、他院でインビザラインの治療を行っていて、
「これで終わりといわれました、、、、。」
と来院される患者様が多くいます。
ゴール、という最終目的地は先生それぞれですし、患者様それぞれですが、当院ではしっかりと検査、診断を行ったうえで治療方針を立て、インビザラインの発注を行い、マウスピースの設計を立て、アタッチメントの形、大きさ、位置すべてをしっかりと行っています。
基本的な矯正治療の技術、ノウハウがしっかりと確立されている上での治療を行っています。
同じマウスピースを使用する治療で同じゴールを得れるとは限りません。
しっかりとした診断、技術、判断があってこその治療のゴールです。
すべてが適当だとゴールを迎えることが出来ません。
協力がとっても大切です
患者様の協力もとても必要です!!
☆使用時間を守る
☆マウスピースの使い方
☆加速装置
☆マウスピースの交換のタイミング
☆癖の改善、舌トレーニング
こちらを守っていただかないと、ゴールまでスムーズに進むことが出来ません。
舌の癖や、使う時間、加速装置の使用など、患者様には当院もお願いすることがいくつかあり、とても協力して頂いています。
何百人という患者様の治療を行っているので、使用時間が短かったり、癖のトレーニングを行ていなかったりと、口腔内を見ればすぐに分かります。
マウスピースというなんだか簡単に治療が出来そうですが、自己管理もしっかりと必要になるので、結構ハードです。
ただ、習慣化すればとてもスムーズに治療は進みますので、安心してくださいね☆
皆さん初めは不安の中治療が始まると思いますが、しっかりと使い方をマスターしますよ。
はじめ、説明する時は「?????」ばかりだと思いますが、徐々に感覚を掴んでいきます。
慣れてこれば本当に「楽かも!!」と思う装置かもしれません☆