― 見た目だけじゃない“本当のリスク”とは ―
鏡を見て「ちょっと歯並びが気になるな」と感じたことはありませんか?
多くの人が“見た目の問題”と思いがちですが、実は歯並びの乱れは体全体の健康にも影響しているんです。
「痛くないし、別に困ってないから…」と放っておくと、後から後悔することも。
この記事では、歯並びが悪いことで起こる“見た目以外のリスク”を、分かりやすくご紹介します。
1. 歯並びが悪いと、なぜいけないの?

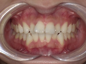
「歯並びが悪い」とは、歯が重なっていたり傾いていたりして、上下の歯がうまく噛み合っていない状態のこと。
このような状態を不正咬合といいます。
- 遺伝的な要素
- 乳歯の抜け方や永久歯の生え方
- 指しゃぶりや口呼吸などのクセ
- 姿勢の悪さや顎の発達の影響
など因は人によってさまざま🌀
つまり、歯並びの悪さは「生まれつき」だけでなく、「日々の習慣」からも作られていくのです。
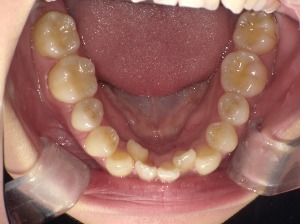
2. 「見えない場所で汚れが溜まる」虫歯・歯周病リスク

歯がデコボコしていると、歯ブラシやフロスが届かない場所が増えてしまいます。
そこに食べかすやプラークが溜まると、虫歯や歯周病の温床になります。
たとえば、歯が重なっている部分では…
- 磨き残しが増える
- 歯石がつきやすくなる
- 歯茎が腫れる・血が出る
これが慢性化すると、歯を支える骨が溶けてしまう「歯周病」に。
歯並びの悪さは、“見た目”よりも“歯の寿命”に関わる問題なのです。
3. 「ちゃんと噛めない」=胃腸に負担がかかる?

噛み合わせが悪いと、食べ物をしっかり噛み砕けません。
その結果、消化不良や胃もたれなど、思わぬ体の不調が起こることがあります。
また、片側だけで噛む癖がつくと、顔の筋肉や顎に偏った力がかかり、顔の歪みや顎関節症の原因にもなります。
「食べるたびに片方だけで噛んでいる」「口が開けづらい」などの症状がある人は、早めに歯科でチェックを受けましょう。
4. 顎・頭・肩まで痛くなる!?

― 噛み合わせと全身のつながり ―
歯並びが悪いと、噛むときの力が一部の歯や筋肉に集中します。
その負担が首や肩の筋肉まで広がり、頭痛・肩こり・姿勢の歪みを引き起こすことがあります。
特に、朝起きたときに「顎が重い」「こめかみが痛い」と感じる人は要注意。
睡眠中に歯ぎしりや食いしばりをしている場合もあり、歯並びが原因のケースが少なくありません。
5. 「発音」「呼吸」「睡眠」にも影響

歯の位置や噛み合わせは、発音にも関係しています。
特に「さ行」や「た行」がうまく発音できない、滑舌が悪いと感じる人は、歯並びが原因の可能性があります。
また、前歯の間にすき間があると、唇を閉じにくくなり口呼吸の癖がつきやすくなります。
口呼吸は口の乾燥を引き起こし
- 虫歯・口臭・歯周病の悪化
- 免疫力の低下
- 睡眠の質の低下
など、健康面でのデメリットが多数あります。
「寝ているとき口が開いている」「朝起きると喉が乾く」という方は、歯並びを見直すサインかもしれません。
6. 実は“全身の健康”にも影響する
最近の研究では、歯周病菌が血管に入り込み、心臓病・糖尿病・動脈硬化などの全身疾患に関与していることがわかっています。
歯並びが悪いと歯周病になりやすく、その分リスクが上がるのです。
また、噛み合わせの悪さはストレスや集中力の低下にも影響することがあります。
しっかり噛むことで脳が刺激され、記憶力や集中力が高まるといわれているため、噛みにくい状態が続くのはもったいないですね。
7. 放置せず「早めの相談」が安心

歯並びの問題は、時間が経つほど複雑化します。
- 歯がすり減る
- 顎が歪む
- 顎関節症が悪化する
- 治療に時間と費用がかかる
特に成長期の子どもは、顎の成長を利用した矯正で自然に整えることができます。
大人でも、目立たないマウスピース矯正や部分矯正など、負担の少ない方法が増えています。
「気になるけど今さら…」と思わず、一度専門の歯科医に相談してみましょう。
8. まとめ:歯並びを整えるのは「美」と「健康」への投資
歯並びが悪いことは、単なる見た目の問題ではありません。
虫歯や歯周病、消化不良、顎関節症、頭痛、姿勢の歪み、そして全身の健康にまで影響します。
歯を整えることは「美しさ」だけでなく、「これから先の健康を守る行動」です。
今ある不調が“歯並び”から来ているかもしれません。
小さな違和感を感じたら、まずは一度歯科医院で相談してみてください。
歯並びや矯正治療についてお悩みの方は、ぜひ一度ご相談ください🦷
参考文献
- WebMD「Malocclusion: What You Need to Know About the Dental Condition」
- NCBI「Orthodontics, Malocclusion – StatPearls」
- Cleveland Clinic「Malocclusion and Its Impact」
- Dental Corner「How Does Malocclusion Affect Long-Term Oral Health?」
- PubMed「Impact of Malocclusion and Oral Habits on Oral Health-Related Quality of Life」