アタッチメントとは
インビザライン治療とは、アライナーと呼ばれるマウスピースを交換していくことで、歯が動き、治療が進みます。
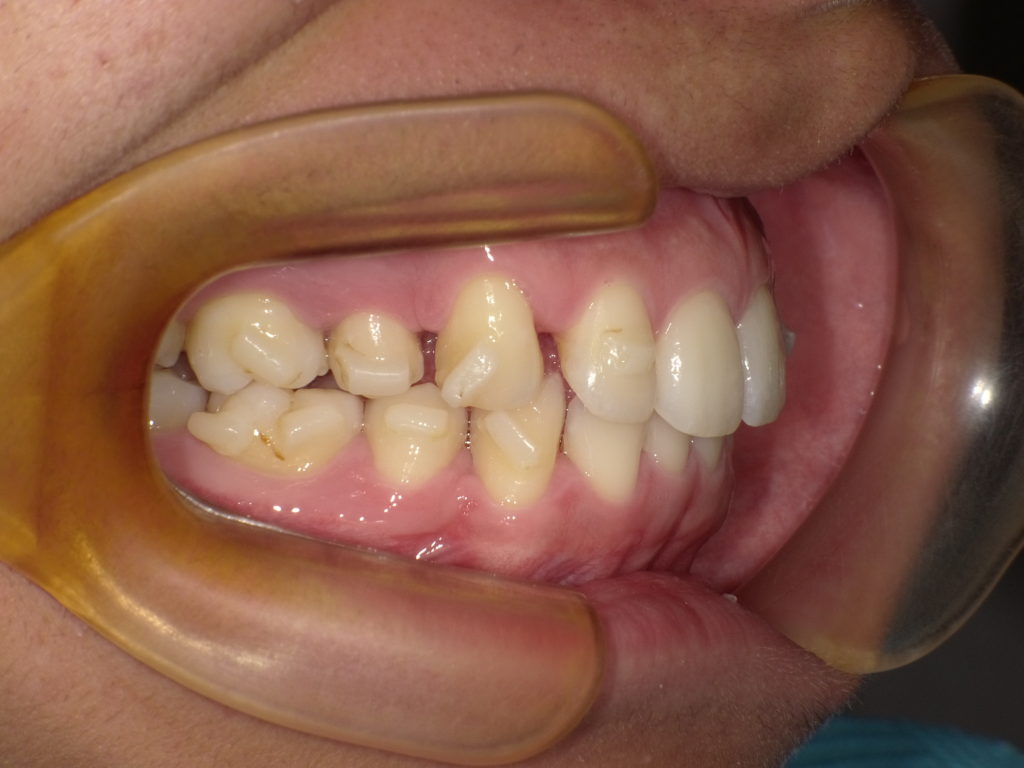
その際に、アライナーを使用し歯を動かしていくので、アタッチメントと呼ばれる歯を動かす際に圧力が加わるように直接歯に接着する突起物です。

アタッチメントには色々な形があり、歯の動かし方によって形や大きさが違います。
このアタッチメントによって力が歯に加わり、歯が動きます。
アタッチメントの重要性
患者様の治療のゴールを設定し、そこからどのように動かすか、順序、どこから力を加えるかを考えながら、設計図を考え、アタッチメントの位置、形、場所を決めていきます。
このアタッチメントを指定するのがとても重要な役割ですので、この設計をすることができなければ、インビザライン治療は成功しません。
患者様の口腔内の状態から、ゴール設定をする際に、どのように動かしたらいいかを考え、アタッチメントの場所等を決めます。
このアタッチメントの指示がしっかりとアライナー社に伝えることができなければ、治療の成功はないです。
スキャンをインビザラインのマウスピースを作成するアライナー社にデータを送信すれば、おおまかな患者様のシュミレーションを作成してくれます。
ただし、そのシュミレーションから患者様の噛み合わせ、歯並び、横顔のラインなど、見直し、アタッチメントの場所、大きさ、形などをこと細かく指示をし、やり取りを繰り返し、やっと一つの設計図が出来上がってくるのです。
この見極めをしないと、きちんとした治療はできません。
おおまかな治療計画ですと、とんでもない歯の動きをしてきます。
ブラケット治療よりも取り入れやすいと、どこの医院でもインビザライン治療を行っていますが、この設計ができないところがとても多くあるんです。
アライナー社が行った設計を見もしないでOKを出せば、マウスピースが出来上がってくるのもとても怖いです。
アライナー社の方が「治療計画が送られてきた際、この部分を見極めてください」とアドバイスを伝えてもできていないことがほとんどだそうです。
とても難しい治療設計なのです。
患者様には違いが分からないので、最終のゴールがどこなのか、自身がどこまで治療したいのか、主訴をしっかりと伝える必要があると思いますし、その医院のゴール、担当するドクターの技術など見極めポイントはいくつかあると思います。
とても低価格で提供しているところは部分的な治療を行うことがほとんどです。
噛み合わせ、歯並び、すべてきちんと治療をしようとすると、十数枚でアライナーが完結するのはありえないのです。
部分的に治療をしようとすると、「前に出す」か、「歯を削る」か方法はありません。
奥歯からしっかりと動かすマウスピースの作成はできない設定になっています。
矯正治療とは、患者様のゴール設定をし、そのうえで治療を行っていくので、初めから間違っていれば成功はありえません。
歯並び、噛み合わせによって一人一人の治療計画の設計をしていくので、動かし方によってアタッチメントの形状、位置、歯につける数も違ってきます。
途中で増えることもあります。

アタッチメントは歯とほぼ同じような色の樹脂でつけていくので、よく見ないと分からないぐらいですし、普段、マウスピースをするので全く気にならないと思います。
どのようにアタッチメントを付ける?
当院では4.5倍の拡大鏡をスタッフ一人一人使用しています。

拡大鏡を使用して、しっかりときっちりとしたアタッチメントを付けていかなければ、力の加わり方も違ってきますので、とても重要です。
いくら設計をしても、力の加わり方が甘いとその歯は動きませんので、すべてを完璧にしていかなければなりません。
患者様はお口の中がどのようになっているのか、とても不安にもなると思いますので、動画を作成しました。
↓インビザラインのアタッチメントsetのYoutubeです
↑インビザラインのアタッチメントをどのような順序でセットしていくかを動画にしました。
↑ほかにも装置の説明や、患者様からのご質問が多いことなど、動画を作っています。
また一つ一つ詳しく説明しますね☆
ぜひ、使っている装置があれば見てみてくださいね!!