インビザライン矯正が終盤に差し掛かると、気になるのが「アタッチメントの除去」と「仕上がりの見た目」
「歯に跡が残るの?」「削るって痛くない?」など、不安に思う方も多いのではないでしょうか?
今回は、治療後のアタッチメント除去と仕上がりについて、患者さん目線でわかりやすく解説します。
アタッチメント除去はどうやって行うの?
矯正終了後、歯の表面に付いていたアタッチメント(白い突起)はすべて除去されます。
この処置は専用器具を使って、物理的に削り取る方法が一般的です。
✔ 痛みはあるの?
むし歯治療時のような痛みはありません。
なぜなら、アタッチメントは歯の表面(エナメル質)にだけ接着されていて、そちらの外していくからです。
ただし、器具を使用し外す際はどうしても力を加え外していくため、強く歯に振動が伝わります。特に前歯などは奥歯に比べると衝撃が伝わりやすいため振動が苦手な方や知覚過敏がある場合は、事前に伝えておくと安心かもしれないです。
歯に跡が残ることはある?
多くの場合、専門的な研磨処理によって跡はほとんど残りません。
ただし、以下のようなケースでは注意が必要です。
● 接着剤の残りや微細な段差
アタッチメントの除去後にわずかにザラつきや段差が残ることがあります。これは歯の表面にレジンの微粒子が残っていることが原因。
➡ 通常は最終研磨(ポリッシング)できれいになります。
● ホワイトスポット(白濁)
まれに、接着時の脱灰や乾燥の影響で歯の表面が白っぽく見えることがあります。
➡ 気になる場合は、研磨やホワイトニングで改善できることもあります。
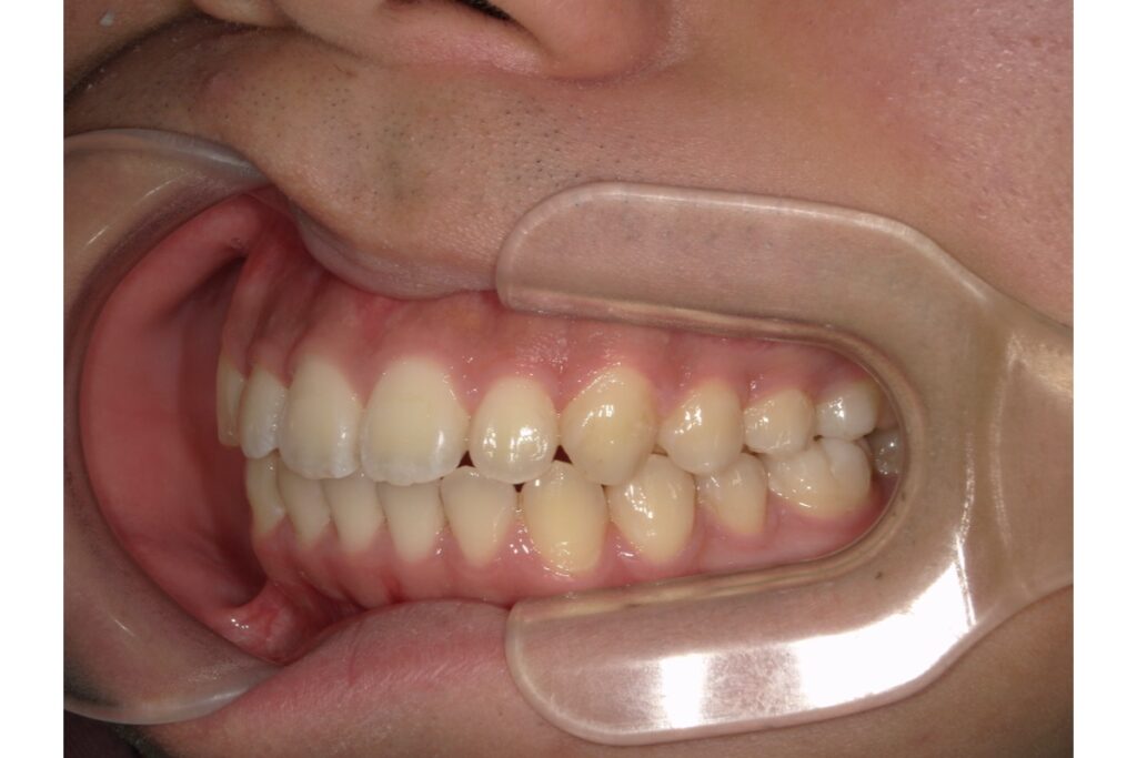
治療後の見た目はどうなる?
治療が終わり、アタッチメントを外した後の歯並びは、とても自然で美しい仕上がりになります。
インビザラインはワイヤー矯正と違い、治療中に装置をつけた「跡」が残りにくく、透明感のある歯の質感がそのまま残るのが大きなメリット。
✔ 仕上がりの特徴
- 歯並びが整い、笑顔が自然に見える
- 歯の表面に違和感がない
- 着色やざらつきもなく、ツルっとした手触り
さらに、治療後にはリテーナー(保定装置)を使用して歯並びをキープするため、後戻りのリスクも抑えられます。
アタッチメント除去後に気をつけること
アタッチメントを外した直後は、歯の表面がわずかに敏感になることがあります。
また、歯並びが整った分、歯の形や色が気になるようになる人もいます。
✔ おすすめのケア
- フッ素入りの歯磨き粉でやさしくケア
- 歯の着色が気になる場合はクリーニングやホワイトニングも検討
- 保定用リテーナーの装着を必ず守る(特に夜間)
まとめ:アタッチメント除去後は「理想の仕上がり」への最終ステップ
インビザライン矯正のゴールは、「ただ歯が並んだ」だけではなく、自然で健康的な笑顔を手に入れること。
アタッチメントの除去は、いわば仕上げの儀式です。
除去後は、歯科医院による研磨やクリーニングによって、まるで何もしていなかったような美しい見た目になります。
治療をがんばったご自身へのご褒美として、このタイミングでのホワイトニングやメンテナンスを取り入れるのもおすすめです。
矯正治療に関するご相談は無料カウンセリングにて受け付けております。
LINEからもご連絡可能です。ぜひご登録ください☺︎
参考文献
インビザライン公式サイト|治療の流れと終了後のケア
https://www.invisalign.co.jp/
日本矯正歯科学会「矯正装置の取り外し後の注意点」
https://www.jos.gr.jp/
歯科医師監修コラム(医療法人社団○○矯正歯科)
「アタッチメント除去後の処理と審美性について」

