【歯肉退縮】矯正治療で歯茎が下がる原因とその対策|名古屋駅から10分の矯正歯科|名古屋西矯正歯科クリニック

〒497-0034 愛知県海部郡蟹江町本町9-45

ブログ BLOG

土日診療
キャッシュレス
対応
〒497-0034 愛知県海部郡蟹江町本町9-45
近鉄名古屋線「蟹江駅」
徒歩5
JR関西本線「蟹江駅」
徒歩15
駐車場を
ご用意しています

【歯肉退縮】矯正治療で歯茎が下がる原因とその対策

こんにちは、名古屋西矯正歯科クリニックです🦷

~きれいな歯並びと健康な歯茎を両立するために~

歯並びを整える「矯正治療」は、見た目だけでなく、噛み合わせや口腔の健康にも大きなメリットがあります。しかし、治療中や治療後に「歯茎が下がってきた」「歯が長く見えるようになった」といった悩みを抱える方も少なくありません。

本記事では、矯正治療によって歯茎が下がる原因と、その予防・対策法について、専門用語をできるだけ使わずに、わかりやすく解説します。


1. 歯茎が下がる(歯肉退縮)とは?

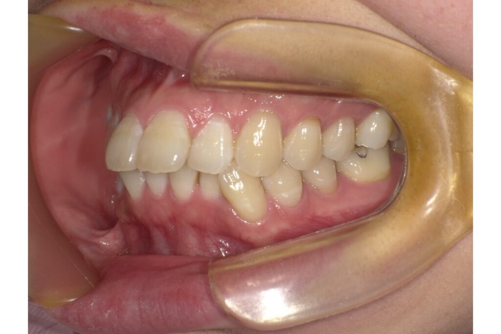
左下5番目の歯の治療前後の歯ぐきの位置を比較すると、歯茎が下がっているのがわかります。

「歯茎が下がる」とは、歯を支えている歯茎や骨が後退し、歯の根元が見えてしまう状態を指します。専門的には「歯肉退縮」と呼ばれ、以下のような見た目や症状が現れます。

  • 歯が長く見える
  • 歯と歯の間にすき間ができる
  • 冷たいものがしみる(知覚過敏)
  • 歯がぐらつく感覚がある

歯茎が下がってしまうと、見た目の問題だけでなく、虫歯や歯周病のリスクが高まるため、注意が必要です。

2. 矯正治療で歯茎が下がる原因

矯正治療そのものが悪いわけではありませんが、治療の方法や口内環境によっては、歯茎が下がる原因になることがあります。主な理由は以下の通りです。

❶ 歯を動かしすぎてしまう

矯正治療では、歯を骨の中で少しずつ移動させていきますが、限界を超えて外側(唇側)に動かしすぎると、歯を支える骨(歯槽骨)が薄くなり、結果として歯茎が退縮することがあります。

特に、もともと顎が小さいアジア人ではこのリスクが高くなります。

❷ 歯茎や骨が薄いタイプの人

人によっては、歯を支えている骨や歯茎が薄い「薄いバイオタイプ」の方がおり、そのような方は少しの刺激でも歯茎が下がりやすい傾向にあります。これは遺伝的な要素も関係しています。

❸ ブラッシング圧が強すぎる

矯正装置がついていると、どうしても磨きにくくなり、強くゴシゴシと磨いてしまう人が多いです。これにより、歯茎にダメージが蓄積されて下がってしまうことがあります。

❹ 歯周病の進行

矯正中に歯磨きが不十分だと、歯垢や歯石がたまり、歯周病が進行してしまうことがあります。歯周病は歯茎を破壊する病気のため、歯茎が下がる大きな原因になります。

矯正装置がついていると、どうしても磨きにくくなり、強くゴシゴシと磨いてしまう人が多いです。これにより、歯茎にダメージが蓄積されて下がってしまうことがあります。


3. 歯茎が下がるのを防ぐためにできる対策

✅ 対策①:精密な診断と慎重な治療計画

歯茎が下がるリスクを減らすには、治療を始める前の精密な診断がとても重要です。3Dレントゲンなどを使って、骨の厚みや歯の位置をしっかり確認し、無理に歯を動かさないように計画を立てることが大切です。

→ 信頼できる矯正専門医に相談するのがポイントです。

✅ 対策②:矯正中の丁寧な歯磨き

矯正中は装置に食べ物が挟まりやすく、虫歯や歯周病のリスクが高まります。そのため、いつも以上に丁寧な歯磨きが必要です。

  • やわらかめの歯ブラシを使う
  • ワンタフトブラシや歯間ブラシも活用する
  • 力を入れすぎず、やさしく磨くこと

歯科衛生士のブラッシング指導を受けるのも効果的です。

✅ 対策③:定期的なメンテナンス

矯正中・後には、歯周病のチェックやプロのクリーニングを受けることで、歯茎の健康を保つことができます。矯正専門の歯科医院と連携して、定期的に通うことをおすすめします。

✅ 対策④:歯茎が下がってきたら早めに相談

もし歯茎が下がってきたと感じたら、放置せず早めに歯科医院に相談しましょう。状態によっては、以下のような治療が検討されます。

  • 歯肉移植術:上あごなどから健康な歯肉を移植する手術
  • 矯正の再評価:歯の位置を再調整することで改善を図る
  • 知覚過敏処置:薬剤やコーティング材でしみるのを防ぐ

4. 矯正治療後の歯茎を守るために

治療が終わったあとも、歯茎が下がるリスクはゼロではありません。リテーナー(保定装置)を正しく使いながら、歯と歯茎の健康管理を続けることが大切です。

以下のような心がけが歯茎を守ります

  • 硬すぎる歯ブラシや強すぎる圧で磨かない
  • 睡眠不足やストレスを減らして免疫力を保つ
  • 定期的な歯科検診とクリーニングを続ける


まとめ

原因内容
歯の過度な移動外側に動かしすぎると骨が薄くなり歯茎が下がる
骨や歯茎が薄い体質遺伝的に歯茎がデリケートなタイプも存在
強すぎるブラッシング自分で歯茎をすり減らしてしまう
歯周病汚れの蓄積で歯茎や骨が破壊される

無料カウンセリングのお問い合わせはLINEからも可能です。

ぜひお気軽にご連絡ください

友だち追加

参考文献

  1. Proffit, W.R. et al. (2018). Contemporary Orthodontics (6th Edition). Mosby.
  2. American Association of Orthodontists (AAO). “Gum Recession & Orthodontic Treatment.”
    https://www.aaoinfo.org
  3. 日本臨床矯正歯科医会「矯正治療中の歯肉退縮に関する注意事項」
    https://www.jpao.jp
  4. 小林義典 編『歯周治療の臨床 基礎から応用まで』(クインテッセンス出版, 2020年)