【インビザライン矯正】すきっ歯の治療症例|名古屋駅から10分の矯正歯科|名古屋西矯正歯科クリニック

〒497-0034 愛知県海部郡蟹江町本町9-45

ブログ BLOG

土日診療
キャッシュレス
対応
〒497-0034 愛知県海部郡蟹江町本町9-45
近鉄名古屋線「蟹江駅」
徒歩5
JR関西本線「蟹江駅」
徒歩15
駐車場を
ご用意しています

【インビザライン矯正】すきっ歯の治療症例

こんにちは名古屋西矯正歯科クリニックです🦷

本日は、「すきっ歯(空隙歯列)」でお悩みだった患者様が、インビザラインによる矯正治療でどのように変化したのかをご紹介します。


■ 治療方法

  • 使用した矯正装置:インビザライン
  • 治療期間:1年
  • 通院頻度:2ヶ月に1回

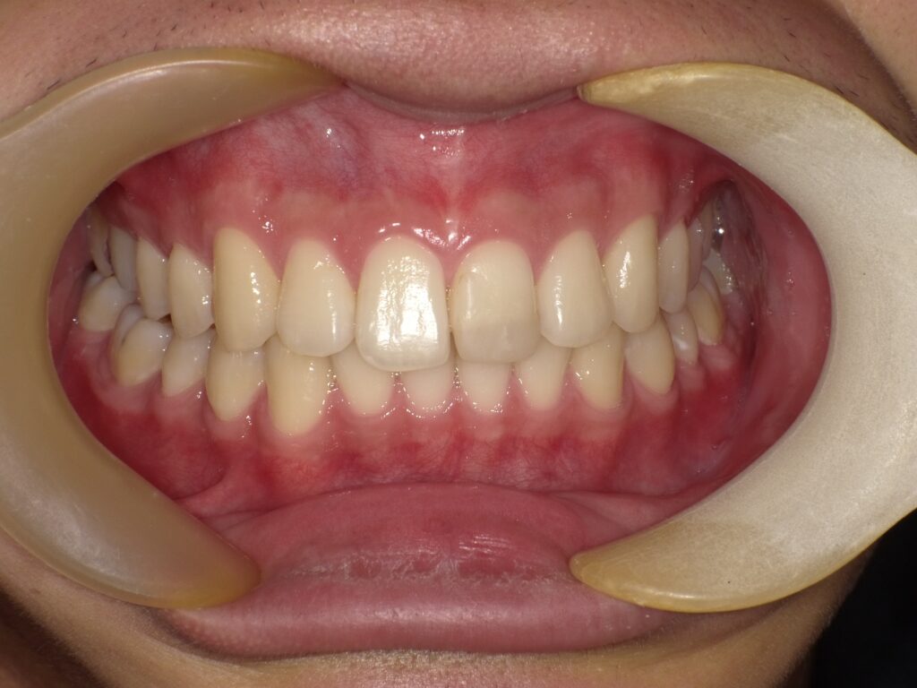
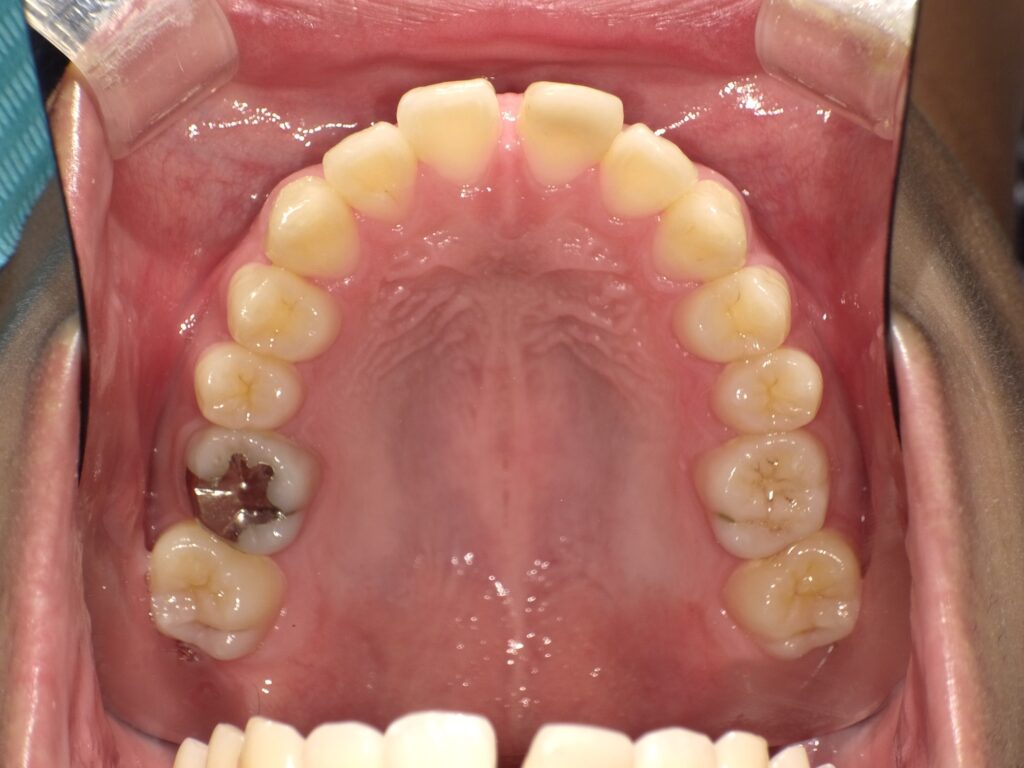
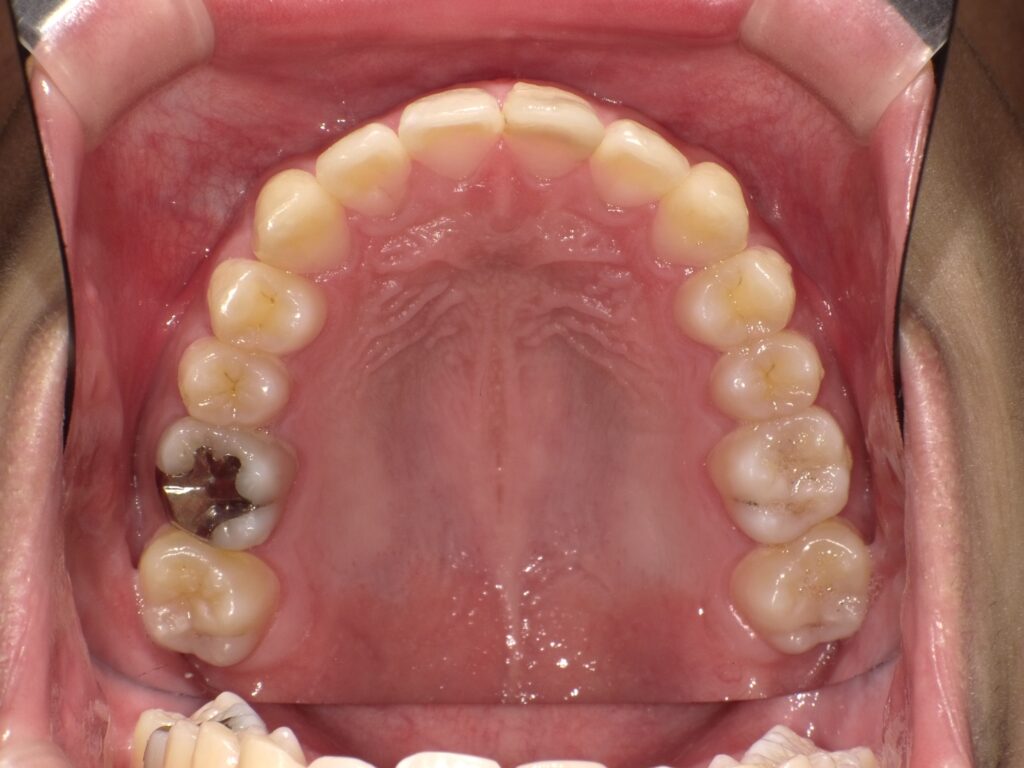
■ 治療前後の写真

  • 【治療前】

  • 【治療後】

隙間がきれいに閉じ、自然な歯並びになっているのが分かります。

マウスピースの交換日数を早める加速装置を使用すると、半年ほどで終了できる方もいらっしゃります。


■ 治療のポイント

  • 軽度〜中度のすきっ歯には、インビザラインが非常に効果的です。
  • ワイヤー矯正と異なり、目立たず・痛みも少なく、ライフスタイルに支障をきたしにくいのが特徴です。
  • 歯と歯の間にできた小さな隙間も精密にコントロールできるのがマウスピース矯正の利点です。

すきっ歯の状態は見た目だけでなく、食べ物が詰まりやすいなどの機能面でも問題となる場合があります。
早めに矯正治療を始めることで、見た目も機能も改善され、口腔内全体の健康維持にもつながります。

■ まとめ

すきっ歯でお悩みの方は、まずはご相談ください。
当院では無料カウンセリングを行っております。
インビザラインによる矯正治療で、自然で美しい笑顔を手に入れましょう!

カウンセリング予約はLINEからもお問い合わせいただけます!お気軽にご連絡ください:)

友だち追加