こんにちは!
今回は私たち「アジア人に多い歯並び」について、わかりやすくまとめてみました。
自分や家族の歯並びが気になっている方、矯正を考えている方の参考になれば嬉しいです。
歯並びは国や民族によって違う?
実は、歯並びや噛み合わせには『国ごとの傾向』があります。
これは、遺伝や顎の骨格の大きさ、生活習慣などが関係しているためです。
アジア人(特に日本・中国・韓国などの東アジア人)は、顎が小さめで歯が大きめという特徴を持っていることが多いため、特有の歯並びの傾向があります。
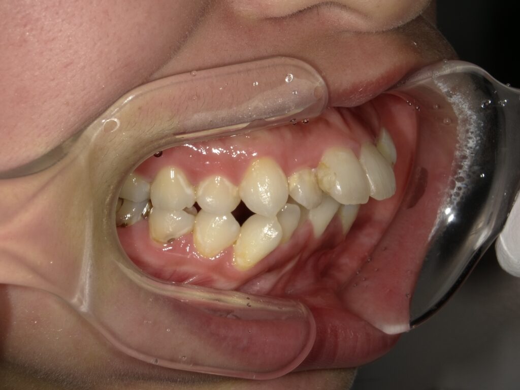
アジア人に多い!代表的な歯並び4選
① 叢生(そうせい)=ガタガタの歯並び

歯が重なっていたり、八重歯が飛び出していたりする状態です。
アジア人は顎が小さいため、歯がきれいに並びきらないことが多いんです。
日本では「八重歯=かわいい」なんて文化もありましたよね。
② 上顎前突(じょうがくぜんとつ)

上の前歯が前に出ている状態。いわゆる出っ歯のことをいいます。
軽度なら見た目はそこまで気になりませんが、笑ったときに前歯が目立つことがあります。
③ 下顎前突(かがくぜんとつ)

逆に、下の前歯が前に出ている状態です。一般的には受け口と呼ばれる歯並びの状態のことです。
これは遺伝的な要素が強く、東アジア人に比較的多い骨格です。
④ 開咬(かいこう)

奥歯では噛めているのに、前歯が上下で当たらず前歯の隙間が空いている状態です。
口呼吸や舌の癖、指しゃぶりなどが原因になっているケースもあります。
まとめ
歯並びの問題は見た目だけでなく、噛み合わせ・発音・呼吸・虫歯のリスクにも影響があります。
最近は、子どものうちに矯正を始める家庭も増えてきています。
矯正治療に関するお悩みはカウンセリングでご相談ください!
下記LINEよりお問い合わせいただけます^^
参考文献
- 日本矯正歯科学会(JOS)
「不正咬合とは」
https://www.jos.gr.jp
→ 日本人に多い不正咬合の種類と原因について解説。叢生・上顎前突・反対咬合などの統計も参照可能。 - 厚生労働省 歯科疾患実態調査(最新:2022年)
https://www.mhlw.go.jp/toukei/list/62-28.html
→ 日本人の歯列や咬合に関する国の調査データ。年代別の矯正ニーズや不正咬合の傾向がわかる。 - Proffit, W. R., Fields, H. W., & Sarver, D. M. (2018). “Contemporary Orthodontics” (6th ed.)
→ 世界的に定評のある矯正歯科学の教科書。人種による骨格差、叢生の成因、口呼吸や舌癖の影響について詳述。 - Kuroda, T., et al. (2012). “Incidence and severity of malocclusion in Japanese orthodontic patients.”
The Angle Orthodontist, 82(5), 809-814.
https://doi.org/10.2319/012312-66.1
→ 日本人に多い不正咬合の具体的データ(出っ歯・叢生など)を提供する臨床研究。 - 日本小児歯科学会:小児の口腔習癖に関するガイドライン
https://www.jspd.or.jp/
→ 指しゃぶり・口呼吸・舌癖などが歯並びに与える影響についての公式見解を掲載。 - 岩田健太郎(2020)『人類の進化と歯列の変化』
→ 日本における現代人の歯並びが悪化した背景に食の軟化や顎の未発達があることを、進化の観点から考察。 - Enlow, D. H., & Hans, M. G. (1996). “Essentials of Facial Growth.”
→ 顎の成長と咬合形成に関する基礎的研究。アジア人とコーカソイドの骨格の違いについても記述あり。