こんにちは、名古屋西矯正歯科クリニックです🦷
矯正治療で使用される【ミニインプラント】をご存知でしょうか?インプラントと聞くとちょっと怖そうな名前ですが、実は矯正治療を進めていく上でとっても心強いパートナーなんですよ。
今回はそんな見にインプラントについてご紹介します。
アンカースクリューとは?

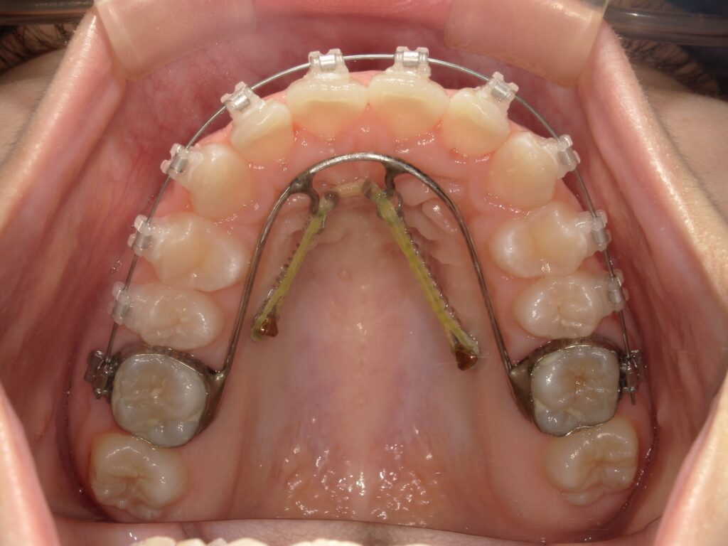
アンカースクリューとは、歯科矯正治療において使用される小型のチタン製のネジです。直径は約1〜2mm、長さは6〜10mm程度で、口腔内の骨に一時的に埋め込まれます。写真では、上顎の真ん中に打ちこまれています。
このスクリューは、矯正力を加えるための「固定源」として機能し、歯を効率的に動かすための支点となります。
なぜアンカースクリューが必要なのか?
従来の矯正治療では、歯を動かすために他の歯を固定源として利用していました。しかし、この方法では、動かしたくない歯まで動いてしまうリスクがありました。アンカースクリューの導入により、骨に直接固定することで、動かしたい歯だけを精密に動かすことが可能となり、治療の精度が飛躍的に向上しました。
アンカースクリューの主な役割
1. 精密な歯の移動を実現
アンカースクリューは、骨に直接固定されるため、動かしたい歯だけを正確に動かすことができます。これにより、従来の方法では難しかった歯の位置調整が可能となり、治療計画の幅が広がります。
2. 治療期間の短縮
精密な歯の移動が可能となることで、治療期間の短縮が期待できます。従来の方法では時間がかかっていた治療も、アンカースクリューを使用することで効率的に進めることができます。
3. 抜歯の回避
アンカースクリューを使用することで、歯を抜かずに治療を進めることが可能となる場合があります。これにより、患者さんの負担を軽減し、治療後の歯並びも自然な仕上がりになります。
アンカースクリューのメリット
精密な歯の移動:動かしたい歯だけを正確に動かすことができ、治療計画の精度が向上します。
治療期間の短縮:効率的な歯の移動が可能となり、治療期間の短縮が期待できます。
抜歯の回避:歯を抜かずに治療を進めることが可能となる場合があります。
審美性の向上:精密な歯の移動により、治療後の歯並びが自然で美しく仕上がります。
アンカースクリューのデメリット
1. 埋入時の痛みや腫れ
アンカースクリューを骨に埋め込む際、局所麻酔を行いますが、埋入後に痛みや腫れが生じることがあります。通常、数日で収まりますが、痛みが続く場合は担当医に相談してください。
2. スクリューの脱落リスク
骨の質や患者さんの生活習慣によっては、アンカースクリューが脱落することがあります。脱落した場合は、再度埋入する必要があります。しかし、骨の状態や口腔内状況によっては、再度埋入することが不可能な場合もあります。
3. 口腔内のケアが重要
アンカースクリュー周辺の清潔を保つことが重要です。不衛生な状態が続くと、感染のリスクが高まります。
アンカースクリューの使用例
- 出っ歯の改善:上顎の前歯を後方に移動させる際、アンカースクリューを使用することで、効率的に歯を動かすことができます。
- 奥歯の後退:奥歯を後方に移動させる際、アンカースクリューを固定源として利用することで、他の歯を動かすことなく目的の歯を動かすことができます。
- 歯の傾斜調整:歯の傾きを調整する際、アンカースクリューを使用することで、精密な歯の移動が可能となります。
当院では無料カウンセリングを随時受付中です。
LINEからもお問い合わせが可能ですので、お気軽にご連絡ください_
参考文献
- 日本矯正歯科学会(JOS)公式サイト
https://www.jos.gr.jp/
→ 矯正治療に関する一般情報や、最新の治療法(アンカースクリュー含む)についての説明があります。 - Proffit, W.R., Fields, H.W., Sarver, D.M. (2018). Contemporary Orthodontics (6th Edition).
→ 世界的に定評のある矯正歯科の教科書。アンカースクリュー(TAD: Temporary Anchorage Devices)について詳しく記述されています。 - 中村健太郎 監修(2012)『矯正用アンカースクリューのすべて』クインテッセンス出版
→ 日本国内で多くの専門医が参考にしている、実践的な臨床ガイド。 - Melsen, B. (2005). Mini-implants: Where are we? Journal of Clinical Orthodontics, 39(9), 539-547.
→ アンカースクリューの臨床応用について、早期から研究している著者による総説論文。 - 日本臨床矯正歯科医会「矯正治療Q&A」
https://www.jpao.jp/patient/qa.html
→ 患者さん向けのよくある質問にも、アンカースクリューの簡単な解説が掲載されています。

