近年、目立たずに歯並びを整えられる矯正治療として注目を集めている「インビザライン」透明なマウスピースを使用することで、見た目の違和感も少なく、取り外しも可能というメリットから、多くの人に選ばれています。
しかし、どんな治療にもトラブルやリスクはつきもの。実際にインビザライン治療中、あるいは治療後に「こんなはずじゃなかった」と後悔するケースも少なくありません。
この記事では、インビザライン治療で起こりうるトラブルや注意点を詳しく紹介します。これから治療を始めようとしている方、現在治療中の方にも役立つ情報をまとめてみました。
1. マウスピースが合わなくなる
よくある原因:
- 指定された時間きちんと装着していない
- 歯の動きに個人差がある
- アライナー(マウスピース)を途中で失くした or 破損した
マウスピースが予定通りにフィットしなくなると、治療が予定より延びたり、最悪の場合作り直しになることも。装着時間(1日20時間以上)を守るのがとても大事です。
2. 痛みや違和感がある
金属の矯正器具より痛みが少ないと言われていますが、まったく痛くないわけではありません。新しいアライナーに変えた直後などは、特に圧迫感や痛みを感じやすいです。
とはいえ、数日で落ち着くことがほとんど。痛みが強くて日常生活に支障がある場合は、歯科医に相談しましょう。
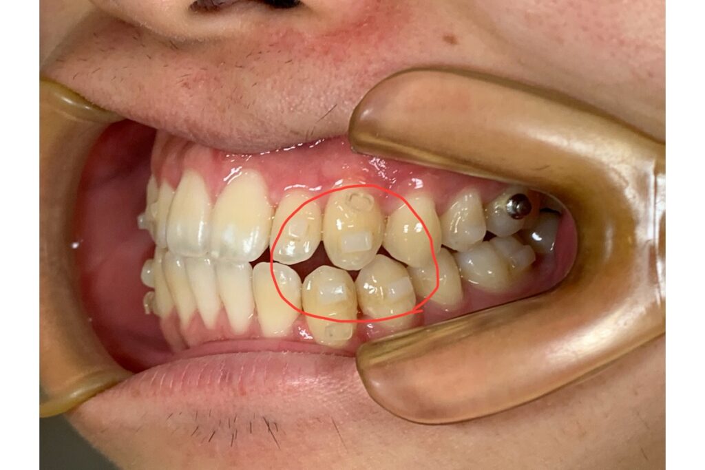
3. アタッチメントが外れる

アタッチメントとは、歯の表面に付ける小さなポッチのようなもの。これによってマウスピースの力がしっかり歯に伝わるのですが、固い食べ物を噛んだり、マウスピースの脱着時に力を入れすぎたりすると外れてしまうことがあります。
外れたまま放置すると、治療が計画通りに進みません。気づいたらすぐに歯科医院に連絡を!
4. マウスピースの紛失・破損
透明で目立たないインビザラインは、うっかり捨ててしまったり、落として割れることも。特に食事中にティッシュにくるんで置いておくと、ゴミと間違えて捨てがちです。
なくした場合はすぐに歯科医院に相談し、次のステップに進むか、再製作が必要か判断してもらいましょう。
5. 思ったより時間がかかることも…
「○ヶ月で終わると言われたのに、延びている…」という声も時々聞かれます。
原因としては、
- 装着時間を守れていない
- 歯の動きに個人差がある
- 追加のアライナー(リファインメント)が必要になった
などが挙げられます。
矯正はあくまで“計画”なので、少し予定がずれることも。焦らず、決められたことは守って進めていくことが大切です。
まとめ
インビザラインは快適で目立ちにくい反面、自己管理がとても重要な矯正方法です。
起こりうるトラブルを事前に知っておくことで、慌てず対応できます。
矯正中は、不安なことやトラブルがあれば、遠慮せず歯科医院に相談しましょうね!
参考文献
- 日本矯正歯科学会
https://www.jos.gr.jp/
└ 矯正治療の一般情報・Q&Aより「マウスピース型矯正装置に関する注意点」 - インビザライン公式サイト(Align Technology社)
https://www.invisalign.co.jp
└ よくある質問・治療の流れ・注意事項など - アライン・テクノロジー・ジャパン:患者向けパンフレット(クリニック配布資料)
└ マウスピース装着時の注意点・アタッチメントについての説明資料 - Dental Tribune Japan
https://www.dental-tribune.com/
└ マウスピース矯正に関する専門記事(日本語記事もあり) - 東京医科歯科大学 歯学部附属病院「矯正歯科」
https://www.tmd.ac.jp/medhospital/department/ortho/
└ 大学病院が伝える矯正治療の基礎知識と注意事項

