歯並びを整えるために矯正治療を受けた多くの人々が、その後悔しい思いをすることがあります。それは、矯正治療後に歯が元の位置に戻ってしまう「歯の後戻り」です。歯の後戻りは、矯正治療の成果を台無しにするだけでなく、治療を受けた人のモチベーションにも影響を与えます。
1. 歯の後戻りとは
歯の後戻りとは、矯正治療を終えた後に、歯が治療前の位置に戻ってしまう現象を指します。
矯正治療は、歯の位置を調整して整えるために行われますが、治療後に一定期間歯をその位置に保つことが必要です。この期間を過ぎると、歯が元の位置に戻ろうとする自然な力が働き、後戻りが起こることがあります。
歯の後戻りは、治療を受けた人にとっては非常に残念な出来事であり、時間と費用をかけて行った矯正治療の効果が無駄になったと感じますよね。
しかし、歯が後戻りする原因にはいくつかの要素が関わっており、その原因を理解することが重要です。
2. 歯が後戻りする原因
歯が後戻りする原因には、いくつかの要素が影響しています。これらは主に生理的な要因や生活習慣によるものです。以下で詳しく説明します。
(1) 生理的要因
歯の後戻りには、生理的な要因が関与しています。私たちの歯は、歯茎や骨と密接に関係しており、歯が移動する過程でも、歯周組織(歯茎や骨)が大きく関わります。矯正治療では、歯を移動させるために歯に力をかけますが、この力によって歯の周囲の骨や歯茎も変化します。
治療後、骨や歯茎が安定しきれずに、歯が戻ろうとすることがあります。特に、矯正治療後に骨の再生が不完全である場合、歯が元の位置に戻りやすくなります。このように、矯正治療による歯の移動が完全に安定するには時間がかかるため、リテーナーを使って歯の位置を維持することが重要です。
リテーナーはマウスピース型のものと、前歯裏にワイヤーで固定する固定式のものがあります。
(2) 矯正後の生活習慣
矯正治療後の生活習慣も、歯の後戻りに大きく関わっています。特に、以下の習慣が後戻りを引き起こす原因となることがあります。
- 口呼吸:口呼吸をしていると、歯や顎に余分な圧力がかかり、歯が後戻りする原因になることがあります。口呼吸は、舌の位置が正しくなくなることが多く、その結果、歯並びに影響を与えることがあります。
- 舌の癖:舌の位置が不自然な場所にあること(例えば、歯の裏に舌が当たる)や、舌を突き出す癖があると、歯並びが後戻りする原因になります。舌の癖を改善しないと、治療後に歯が元の位置に戻りやすくなります。
- 食事習慣:硬い食べ物をよく噛むことは、歯の健康を保つために重要ですが、矯正治療後に過度に硬い食べ物を食べ続けることは、歯に負担をかけて後戻りを引き起こす原因になることがあります。
(3) 不適切なリテーナーの使用
矯正治療後に歯が元の位置に戻らないようにするために、リテーナーという装置が必要です。リテーナーは、矯正治療後に歯が移動した位置を維持するために使われます。しかし、リテーナーの使用が不適切であったり、使用を怠ったりすることで、歯が後戻りすることがあります。
リテーナーの使用期間は、矯正治療の進行状況や歯の動き具合によって異なりますが、定期的な使用が求められます。リテーナーを使用せずに放置しておくと、歯が元の位置に戻りやすくなるため、矯正治療の成果が無駄になってしまう可能性があります。
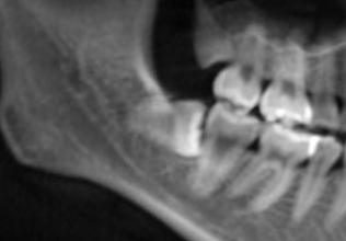
(4)親知らずの萌出

矯正治療後に親知らずが残ったままにしておくと、後戻りするリスクが高まります。
特に写真のように横に倒れている親知らずは、萌出時に隣の歯に力をかけて生えてくるので歯が乱れる恐れがあります。そのため、治療中や治療後に親知らずは抜歯しておくことをおすすめします。
3. 矯正治療後に後戻りを防ぐための対策
(1) リテーナーの重要性とその使用方法
リテーナーは、矯正治療後の歯の安定をサポートするために欠かせないアイテムです。リテーナーには、取り外し可能なものと固定式のものがあり、歯科医師と相談しながら適切なリテーナーを選ぶことが重要です。
リテーナーの使用は、治療終了後すぐに始め、歯が安定するまでしっかりと使い続けることが必要です。リテーナーの使用を怠ると、歯が戻ってしまうリスクが高まります。また、リテーナーの清掃を怠らないようにし、衛生状態を保つことも大切です。
(2) 生活習慣の改善
矯正治療後に歯が後戻りしないためには、生活習慣の改善が重要です。特に、口呼吸を避け、舌の位置を正しく保つことを意識することが大切です。また、硬い食べ物を避け、歯に過度な負担をかけないように心掛けましょう。
(3) 定期的な歯科検診
矯正治療後も、定期的に歯科医師による検診を受けることが重要です。歯科医師は、歯並びの変化やリテーナーの使い方についてアドバイスをくれるので、早期に問題を発見し、適切な対策を講じることができます。
4. 歯の後戻りを防ぐための具体的なケア方法
歯の後戻りを防ぐためには、リテーナーの使用だけではなく、日常的に気をつけることがたくさんあります。以下に、歯の後戻りを防ぐための具体的なケア方法をいくつか紹介します。
- リテーナーの適切な使用:矯正治療後は、指示通りにリテーナーを使いましょう。使わないと歯が後戻りします。
- 舌の癖を改善する:舌を歯に押し付ける癖や舌を突き出す癖がある場合、矯正治療後はそれを改善するためのトレーニングが必要です。
- 定期的な歯科受診:定期的に歯科医院を訪れ、歯の健康状態やリテーナーのチェックを受けましょう。
5. 歯科医師とのコミュニケーション
矯正治療後に後戻りを防ぐためには、歯科医師との良好なコミュニケーションが欠かせません。疑問点や不安な点は早めに相談し、適切なアドバイスをもらいましょう。
6. まとめ
歯が後戻りする原因はさまざまですが、リテーナーの使用や生活習慣の改善、定期的な歯科検診が重要な対策となります。矯正治療後は歯の安定が完全に整うまで、これらのケアを続けることが、長期的に良い結果を得るための鍵となります。歯の後戻りを防ぎ、健康で美しい歯並びを維持するためには、治療後の努力が不可欠です
- 日本矯正歯科学会 (2018). 『矯正歯科治療の基本と後戻りの予防』. 日本矯正歯科学会.
https://www.jos.gr.jp - 日本歯科医師会 (2019). 『矯正治療後の歯の後戻り』. 日本歯科医師会.
https://www.jda.or.jp - 矯正歯科専門医と歯科医師のためのガイドライン (2020). 『歯の後戻りを防ぐためのリテーナーの使い方』. 日本矯正歯科学会出版.
- Bishara, S. E., & Staley, R. N. (2000). “Impact of Orthodontic Treatment on the Dental and Facial Aesthetics: A Review.” American Journal of Orthodontics and Dentofacial Orthopedics, 118(6), 569-576.
https://doi.org/10.1067/mod.2000.110212 - Oesterle, L. J., & Buschang, P. H. (2008). “Post-Treatment Changes in Orthodontically Treated Patients: A Review.” Seminars in Orthodontics, 14(4), 259-267.
https://doi.org/10.1053/j.sodo.2008.07.005 - Ngan, P., & Kuelkamp, R. J. (2012). “Factors Contributing to Relapse after Orthodontic Treatment.” American Journal of Orthodontics and Dentofacial Orthopedics, 142(5), 601-610.
https://doi.org/10.1016/j.ajodo.2012.07.013 - Melsen, B. (1999). “The Effect of Retention on the Stability of Orthodontically Treated Teeth.” Seminars in Orthodontics, 5(3), 156-163.
https://doi.org/10.1016/S1073-8746(99)80001-3 - Zachrisson, B. U., & Næss, K. (2006). “The Role of Retainers in Preventing Orthodontic Relapse.” World Journal of Orthodontics, 7(4), 296-303.
https://doi.org/10.1053/j.wjo.2006.06.005