こんにちは名古屋西矯正歯科クリニックです^^
『矯正治療をしたいけど、気になっているのは前歯だけ。部分的な治療でもマウスピースで治療できるのか?』と気になっている方もいますよね。実はインビザライン治療にもワイヤー矯正のようにいくつかのプランがあり、全体の歯を治療するプランから前歯のみの部分治療のプランなどがあります。
今回はインビザライン治療による部分矯正の症例のご紹介になります🦷
インビザライン治療には、その方の歯並びの状態で適応されるプランが変わってきます。使用するマウスピースの枚数や、移動させることのできる歯が違います。
今回は、軽度なMTM治療や後戻りの症例、審美的な改善に適応される【エクスプレスパッケージ】で治療された症例です。エクスプレスパッケージは、使用枚数が7枚以内で、インビザライン治療のプランの中でも一番使用枚数が少ないものになります。
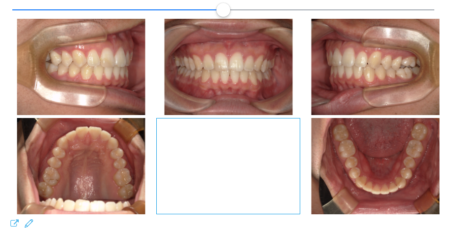
初診時の写真です。
前歯部の隙間が主訴で当院に来院されました。

1クール目の使用枚数はMAXの7枚。1週間に1枚の交換で使用していただきました。前歯の隙間は完全に閉じましたが、マウスピースを使用したことで舌癖が出てきてしまい、7枚使用後は若干左側の噛み合わせに隙間ができてしまいました。

そのため、もう一度型をとり、もう1クール治療を行いました、2クール目の使用枚数もMAXの7枚です。1クール目の時と同じように1週間に1枚の使用をお願いしました。

治療期間は約半年で、そこから保定期間として1年通院していただきました。保定期間中は、リテーナーを使用していただいています。
前歯のみなどの部分矯正は、全体の治療時よりも後戻りのリスクが高くリテーナーの使用をサボってしまうと1ヶ月ほどで後戻りしてしまうことが多いです。
部分矯正をご検討されている場合は、その他リスクなども踏まえた上で決めてくださいね。
当院では無料カウンセリングを随時受け付け中です!メール、電話、下記LINEよりカウンセリング予約がお取りできますので、お悩みの方はお気軽にご連絡ください。