こんにちは 名古屋西矯正歯科クリニックです🦷
子どもの矯正治療(1期治療)を開始し、1〜2年ほど経つと、よく保護者の方から『1期治療の終了時期はいつか?』とご質問をいただくことがあります。
2期治療のように綺麗に歯を並べる治療ではなく、スペース確保などの目的で行われる1期治療の終了時はわかりづらいですよね。
1期治療は治療期間が長いことが一番のデメリットです。その理由は成長期であることと歯の生え変わりがあることが関係しています。そのため1期治療の終了時期を測定することは難しく、個人差がとてもあります。
一般的には3つの終了ポイントがありますので、ひとつの目安にしていただければと思います!
1:永久歯に生え変わった
このタイミングが一番多いかと思います。1期治療開始のタイミングによってはもうすでに生え変わっていることもありますが、基本的には乳歯が全て永久歯に生え変わり、その永久歯がきちんと歯列に並べば、1期治療でできることはもうありませんので終了になることが多いです。
早いと11歳~12歳、ゆっくりだと15歳ほどで生え変わります🦷女子に比べ、男子のほうが生え変わりがゆっくりな傾向にあります。
2:症状の改善
軽度な前歯のみの治療や、気になる部分が一か所であった場合、骨格や歯の大きさなどに問題がないと判断されれば装置の使用をやめても歯の後戻りの可能性は低いので、症状が改善したら治療を終了することがあります。
3:成長期が終了した
受け口と呼ばれる下顎前突は、下顎の成長過程で発達することが多い症例です。そのため、1期治療では下顎の成長を抑えるような治療を行っていきます。成長期のピークは大体中学生ころのため、かなり長い治療期間になります。
女子のピークは13〜14歳、男子のピークは16〜17歳ころです。
装置の使用期間
大人の矯正治療とは違い、子どもの矯正治療は成長期があるので歯の後戻りがとてもしやすいです。取り外し式の床矯正装置を使用されている場合、歯の生え変わり時期には装置の不適合が続くので何度か作り直しが必要になります。
その期間に装置の使用不足が続いてしまうと、拡大していた歯のスペースは簡単に戻り、ガタつきなども元通りになります。

そのため、治療が終了するまではそのまま装置の使用を継続しなければなりません。
特に前歯などのがたつきを1期治療で直した場合は、早くて2〜3ヶ月で最初の状態近くまで戻ってしまうこともあります。ですので、小学生低学年ころから1期治療を開始された場合は、永久歯が生え変わるまで約5〜6年は何かしら矯正装置を使用し続ける必要があります。
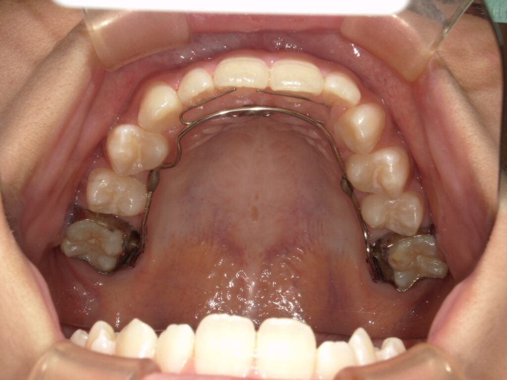
当院では、1期治療の患者様は大抵の方がスペース拡大のため床矯正装置(SPE)を使用しています。十分なスペースを確保できましたら次は固定式装置(LA)に移行し、永久歯に生え変わるまでの間は固定装置を使用していただく流れになっています。

LAでは、裏側のワイヤー部分に細い針金を足すことで、前に押したい歯に力を加えることもできます。

この細い針金を補助弾線といいます。ある程度、前歯や側方歯にがたつきがあったとしても、この補助弾線をつけることで少しはがたつきを改善することができます。
治療途中で終了することも
治療状況にかかわらず、小児矯正はお子様のモチベーションによって予定より早期に治療終了になることもあります。「装置が気になって勉強に集中ができない」「決められた使用時間使えない」などがあります。
そのような場合は治療効果も出ませんので、治療中断をオススメします。
ほとんどの場合、治療中断しても前より歯並びが悪くなるということはありません。少しずつ治療前の状態に戻っていくだけですので、大丈夫です!
治療が再開できる時期になったら再開しても良いですし、再開時の年齢や口腔内状況によっては2期治療に移行し治療を行うことも可能です。
まとめ
小児矯正 1期治療の終了時期には、永久歯への生え変わり完了時・症状改善・成長期後の3つのポイントが大きく関係してきます。
多くの場合は治療が終了するまでの間は、後戻りのリスクを考え継続的な装置の使用が必要です。あくまで目安にはなりますが、大体の方が中学生〜高校1年生ほどで終了します。
治療後は装置を必ず使用しないといけない というわけではなく、使用を続けた方が後戻りのリスクは減らせるよ というものになるので、患者様のモチベーションによっても変わってくるかと思います。結論、『小児矯正の終了時期は、患者様が決める!』ということです。
ただし、矯正装置がお子様にとって強いストレスになる場合は、早期の治療中断、終了も検討すべきかと思われます。