こんにちは、名古屋西矯正歯科クリニックです🦷
一生に一度の結婚式は綺麗な歯並びで迎えたいと思っている方も多いかと思います。結婚式に向けて準備を進めていく中で、矯正治療を考える方も多いのではないでしょうか。
今すぐに初めて結婚式までに治療は終わるのか?どのタイミングで治療を開始するべきか?と考えることは、とても大事な決断になります。今回は、矯正治療と結婚式についてどのように治療を進めるべきか、ご紹介します!
結婚式前に矯正治療を開始するべきか?
結婚式を迎えるにあたり、笑顔に自信が持てることはとても重要です。写真や動画に残るこの一大イベントに向けて、矯正治療を考える方も多いと思いますが、結婚式前に治療を始めるべきかどうか悩みますよね。
まずは、矯正治療にどのくらいの期間が必要かを考慮することが大切です。一般的に矯正治療は、数ヶ月から数年の時間がかかります⏰治療開始の時期によって、結婚式の日までに矯正治療を終えられるか逆算する必要があります。
1:結婚式までに時間がある場合
結婚式まで1年以上の期間がある場合は、矯正治療を始めても間に合う可能性が高いです。抜歯治療の場合は2年以上あると安心かもしれません。
2:結婚式まで時間がない場合
結婚式が1年以内に迫っている場合、間に合わない可能性が高く、治療を始めることに対して慎重になるべきです。大人の場合は急速に歯が動くわけではないので、矯正の効果が現れるまでに時間がかかります。
しかし、軽度な症例(前歯のみの矯正などの部分矯正)であれば間に合う可能性が高いです。
目立ちにくい装置を選ぶ
インビザラインなどのマウスピース矯正を選択することで、目立たずに矯正治療を進めることができます。また、治療を一時的に中断しても問題のない方法を選択することも可能です。インビザライン治療では歯の表面にアタッチメントがつきますが、歯と同じ色をしているため特に目立つことはありません。

矯正治療がもたらす影響
歯並びが整うことで、自然に笑顔を作りやすくなり笑顔に自信が持てます。
また、矯正治療は見た目を整えるだけでなく、口腔内の健康を守る上でも活躍してくれます!歯並びが悪いと歯みがきが難しくなり、むし歯ができやすく歯周病などにも罹患しやすくなります。矯正治療で歯並びを整えることで、歯みがきがしやすくなり、健康な口腔内環境を維持することができます。

歯並びだけでなく、口元のバランスも整えることができます。歯が正しい位置に揃うことで、鼻と顎を繋いだ通称Eラインと呼ばれる口元のラインが整い、横顔が綺麗になります。
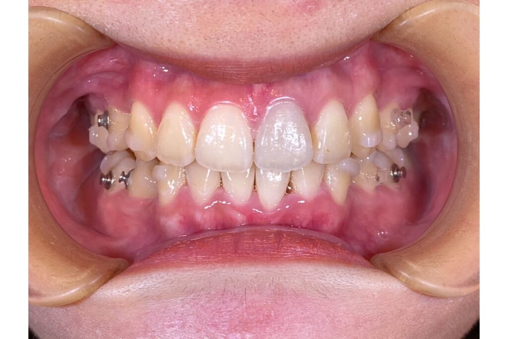
半年後に結婚式を控え、インビザラインで治療を開始された患者様の比較写真になります📸

治療開始時 
治療開始から6か月後
とにかく前歯の重なりを治したい!!とのことで治療を開始されました。加速装置を使用し約半年でここまで前歯の重なりを改善することができました。
式の前日にアタッチメントとリンガルボタンの除去にご来院いただき、後日また付け直しに来ていただきました。もちろん個人差はありますが、半年でもここまで変化があります!
結婚式を控え矯正治療を悩まれている方、治療のタイミングや自分に最適な方法は歯科医師とよく相談する必要があります。治療開始時期は早めであればあるほど、理想の歯並びにもっていくことができますので検討されている場合は早めのご相談をオススメします!
ぜひカウンセリング時にご相談ください😊
当日を素敵な歯並びで迎えられるよう、準備を進めていきましょう🕊