こんにちは、名古屋西矯正歯科クリックです☀️
ブラケット装置で矯正治療をしたいけど、金属アレルギーだからできるかな…と考え中の方はいませんか?
実際、金属アレルギーでも矯正治療を受けることは可能です。しかし、金属アレルギーの種類やその人の症状によっては、治療方法や使用器具に工夫が必要となります。
今回は、金属アレルギーを持っている場合の矯正治療について注意点や対策のご紹介です💁♀️
金属アレルギーとは?
そもそも金属アレルギーとはどういったものでしょうか。
金属アレルギーは、汗や唾液などによって金属から金属イオンが溶け出し、それが皮膚のタンパク質と結合すると体が反応し、アレルギー反応を起こす状態のことをいいます。
皮膚の場合は、皮膚のかゆみや発疹、腫れなどの症状を引き起こすことが多く、お口の中であれば口内炎や舌の痛み、唇の腫れの症状が出ます。
金属アレルギーと矯正治療
矯正治療で使用されている金属は、主にブラケット治療で使用されるワイヤーやブラケット、バンドなどが挙げられます。以前までの矯正装置のほとんどは、ニッケルやコバルト、クロムなどアレルギーを起こしやすい金属を含むものが多く、アレルギー持ちの方には症状が出やすい傾向にありました。
アレルギー反応を避けるには
しかし最近の矯正治療では、アレルギー反応の出にくい金属であるチタン合金やニッケルフリーの矯正装置が増えてきています⭐️
そのため金属アレルギーのある方でも使用する材料に注意を払えば、アレルギー反応を最小限に抑えることができます。
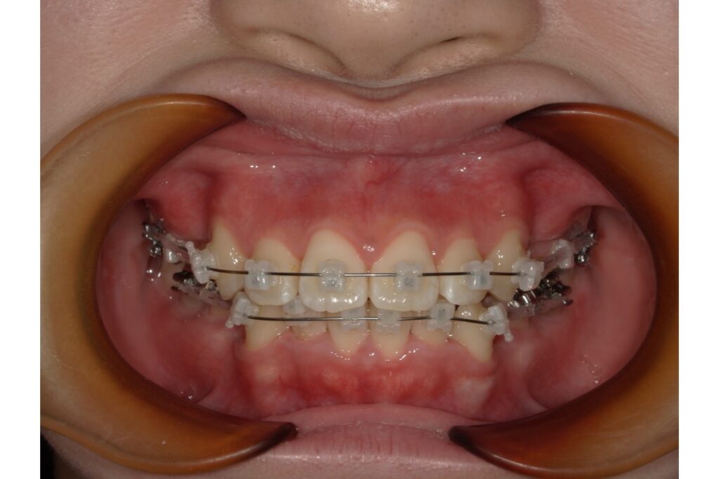
①:ノンメタル製

現在では金属を使わない矯正器具も増えてきています。例えば、セラミックのブラケットや透明のワイヤー。これらは金属を使用していないため、アレルギー反応もそうですが審美性にも配慮した治療が可能になります。
写真のブラケットが金属を使用していないブラケットです↑
②:医療用プラスチックやニッケルフリー
チタン合金や医療用プラスチックのものは、耐久性にも優れておりアレルギーのリスクも低いです。金属アレルギーの原因となりやすいニッケルも、現在はニッケルフリーの矯正装置があるので安心です。
事前にアレルギー検査を受ける
矯正治療を始めてからアレルギーを発症してしまうのではないか心配。という方は、事前に皮膚科でアレルギー検査を受けておくことをオススメします👩⚕️

事前に自分のアレルギーを知っておくことで、カウンセリング時などに歯科医師に相談することができます。アレルギー反応の出る金属がわかれば、適切な材料の選択や症状の早期発見にもつながります。
もしアレルギー反応が出たら?

アレルギー反応の症状が出にくいも。であるとはいえ、100%症状が出ないというものではありません。
万が一、治療中にアレルギー反応が出た場合はすぐに歯科医院に連絡し、原因の金属を外すようにしましょう。
金属アレルギーが心配な方は、インビザライン治療をオススメします!!インビザラインは金属を使用しないマウスピース型の治療方法なので、アレルギー反応を発症するリスクがとても低いです。

歯並びによってはインビザラインでの治療が難しい場合もありますので、カウンセリング時に相談してみてください♩
金属アレルギーがあるから、といって矯正治療を諦める必要はありません。近年では金属を使用しない矯正器具がたくさん登場しています。
アレルギーの症状の強さや反応るす金属の種類によっては治療も変わってきますので、必ず皮膚科、歯科医院での相談の上、治療を開始するようにしましょう🙂