こんにちは、ひらざわ矯正歯科クリニックです☺
急に夏らしく気温の高い日が増えてきましたね🌞1日の気温変化で体調を崩しやすい時期ですが、元気に6月も過ごしたいですね🐸
今回はワイヤー矯正の部分矯正による症例のご紹介になります🦷✨
この歯並び、前歯だけ治すことできないかな~と思っている方はいませんか?そんな方には部分矯正をおすすめします。
部分矯正とは
部分矯正とは名前のとおり、一部分の歯列を治療する矯正治療方法になります。メリットとしては、全体を治療するより短期間で終えられること、価格が安価であることです。上記のメリットから人気がありますが、部分矯正は誰でもできる治療法ではありません。歯並びによっては適応されない場合がありますので、興味のある方は一度無料カウンセリングへお越し下さい😊
それでは症例のご紹介をしていきます!
症例紹介

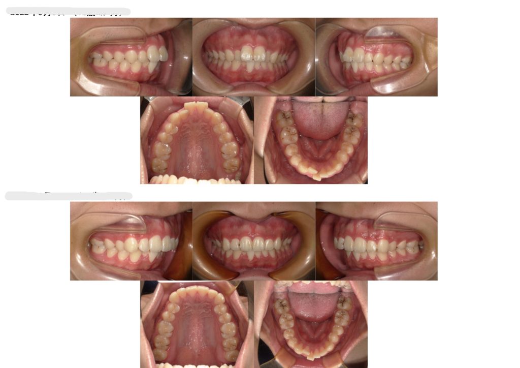
当院にて部分矯正にて治療された10代男性の症例になります。
上の前歯が出ているのが気になるとのことでご来院いただきました。治療期間は約6か月でした!
今回の症例は、ブラケット装置を上顎のみ付けて治療を行いました。
部分治療の動きでは移動量が足りずスペース確保が難しいので歯を引っ込めることは厳しいです。そのため全体を少し前に出して並べるようにします。前に出して並べるので前から見たときの歯の見える面積が少し増える感じですね🤔
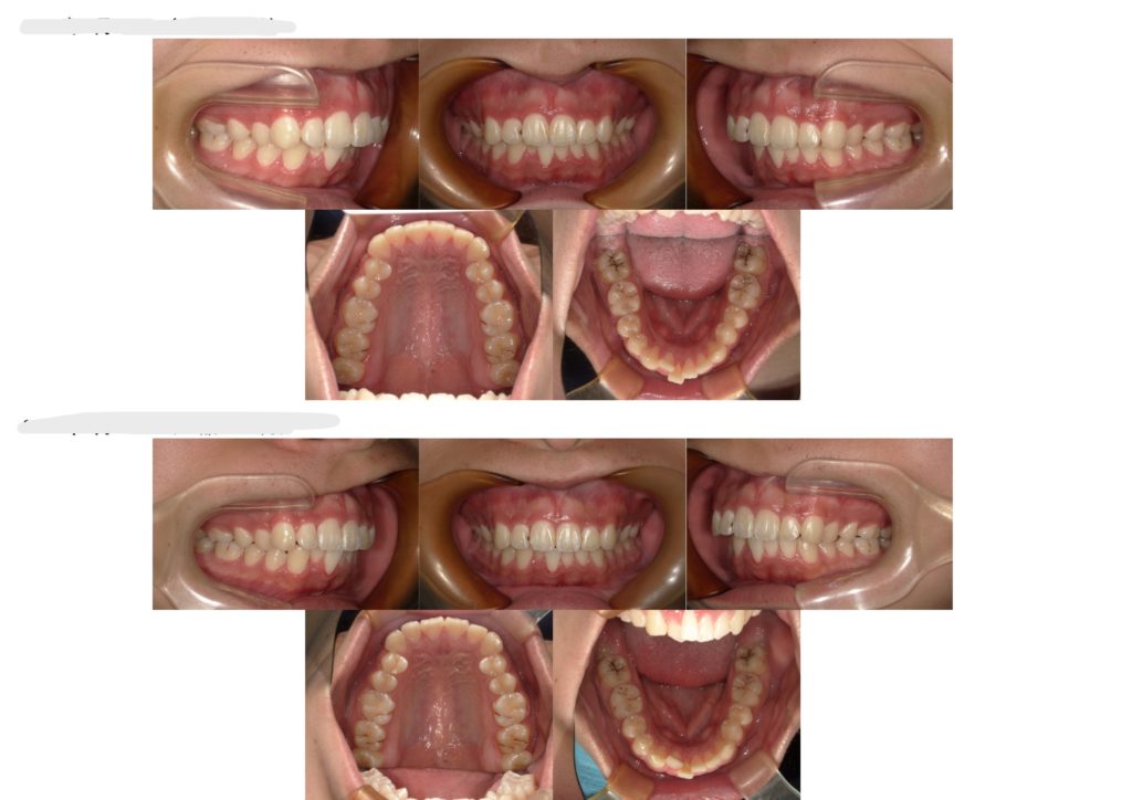
装置が外れたら保定期間に入ります。当院での部分矯正の患者様は、保定期間は1年です。
こちらが保定期間の比較写真になります。

リテーナーを毎日しっかり使用してくれていたので、綺麗な状態のまま!口腔習癖もなく、終了時とほぼ変わらずで保定期間を終えられました😊!ご協力いただきありがとうございました!
前歯は特に後戻りのしやすい箇所になりますので、保定期間終了後もなるべく使用することをおすすめしています🦷毎日ではなくても、夜寝るときのみ使用したり、一日おきに使用したりしていただいています!
リテーナーは作り直しも可能です。割れてしまったり無くしてしまったりした場合は、ご連絡ください😉
いかがでしたか?気になる部分が一部だけであり、部分矯正が適応される場合は期間も短く行えるのでオススメです。
患者様に合った治療方法をご提案させていただきます💡一度ご来院ください!