矯正治療の装置がお口の中に当たって痛いとき、ありますよね?
我慢我慢、、、でも、無理です。
ご飯を食べるのも、お話しするのもつらい、、、なんて時、どうしたらいいか。。。
もし装置のワイヤーが変形してしてしまったり、装置が外れて痛かったりする場合は、来院して頂き、調整が必要になりますが、装置に慣れるまでの違和感はどうすればいいか。
ワックスを使用します
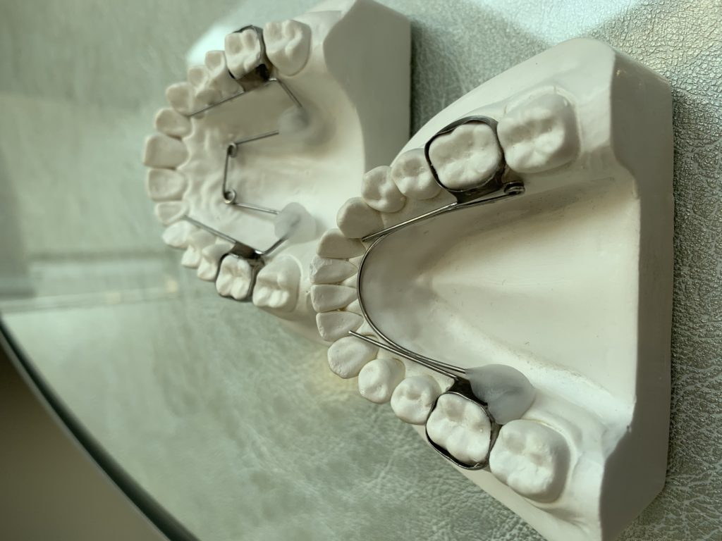
固定式の装置、一番奥の歯にチューブを呼ばれる金具がついたとき、ブラケットを付けている時、、、、。
お口の中に当たり、口内炎が出来たり、傷が出来てしまったり、、、
そういう時、ワックスをお渡しするので、ワックスでワイヤーや金具を保護していただきます。
ワックスを1~2センチぐらいちぎってもらい

ワックスを指で温めながらひらぺったく伸ばします。

ワイヤーや金具の当たる部分を、ワックスで包み込むようにします。

こうすることによって、舌が当たって擦れるのを防ぐことが出来たり、当たる部分が保護されることにより、お話ししやすくなると思います。
一時的なものなので、慣れてくるとワックスも必要なくなると思いますので、はじめ慣れるまでは使用して頂くといいと思います!

↑下の装置はこんな感じに包み込みます。
ワックスはすぐお渡ししますので、痛いときは我慢せずにスタッフに声をかけてくださいね!!